平时无任何症状的20岁女孩,怎么就突发脑干出血,偏瘫昏迷?
发布时间:2026-04-09 09:42:56 | 阅读:次| 关键词:平时无任何症状的20岁女孩,怎么就突发脑干出血,偏瘫昏迷?
- [案例]得了这种胶质瘤,竟有望通过全切手术治愈!
- [案例]一位妈妈亲身经历:孩子总爱发呆,没想到是大脑在求救
- [案例]INC德国巴特朗菲教授揭秘:脑干海绵状血管瘤出血风险与
- [案例]无症状的脑瘤为何也会恶化?胶质瘤早期手术的重要性不
- [案例]儿子因脑干出血病危,两次120转运,为何医生说法截然不
- [案例]8岁男孩头痛就医,医生一听还有这种症状:“情况不妙!
提到脑瘤,大多数人脑海中浮现的画面通常是:恶心呕吐、剧烈头痛、视力下降、行走不稳,严重者甚至生活无法自理。但实际情况真的完全如此吗?显然不是。
这样的回答肯定会引发反对意见,而持反对态度的人主要有两类:一类是脑瘤患者本人、患者家属,或曾接触过脑瘤患者的人;另一类既非脑瘤患者或家属,也未真正了解过这类疾病,仅凭想象认为脑瘤一定非常严重、非常可怕。
前一种情况其实可以理解,因为不少脑瘤患者确实症状较为严重。
然而,临床上患者出现无症状的情况同样非常常见,例如体检中发现的脑膜瘤、低级别胶质瘤,又或者是尚未破裂出血的血管畸形。
肿瘤可能在相当长的时间里处于潜伏状态,然后在某个时刻给宿主"当头一棒"。
可能昨天还活蹦乱跳,转眼间健康状况就急剧恶化。
就以脑干海绵状血管瘤为例,不出血的时候一切如常,一旦发生出血,轻则出现视力下降、肢体麻木,重则昏迷、瘫痪……
年仅20岁的爱丽丝就遭遇了这样的情况——一个健康活泼的年轻女孩,没想到突发昏迷、左侧偏瘫,且症状还在持续加重。
爱丽丝究竟怎么了?
爱丽丝紧急就医后,检查发现其脑干中脑区域出现了新发的实质内出血,经诊断为脑海绵状血管瘤破裂出血,同时还引发了继发性的急性梗阻性脑积水,情况极为危急。
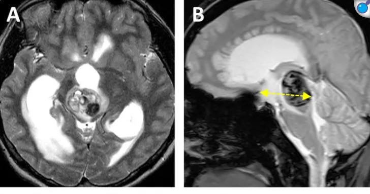
爱丽丝的病灶位于腹侧中脑中线区域,体积为10.7立方毫米,深度为42.5毫米,肿瘤偏侧角度为11.6度(图a, b)。
在放置右侧脑室外引流管3天后,采用经双额基底纵裂入路成功切除了出血性病变。

图a、b为术前MRI图像,显示被归类为"中央区病变"的中脑海绵状血管瘤出血。图中黄色虚线标示了肿瘤的深度(42.5毫米)。
手术具体操作
在切开皮肤并完成开颅后,术者分离前纵裂直至第三脑室前壁。
为了通过第三脑室充分暴露脑干前部,术中评估认为分离前交通动脉有益且必要。
于是使用微型动脉夹夹闭前交通动脉,在保留其一支穿支血管后,将其切断。
随后,术者打开第三脑室底,从而直接抵达海绵状血管瘤所在部位。
海绵状血管瘤被游离后,以分块方式完整移除。
术后,爱丽丝的意识状态及左侧偏瘫症状迅速改善。
脑积水消退,无需再行分流手术。
患者最终步行出院,术后3个月随访时无神经功能或认知功能缺损。

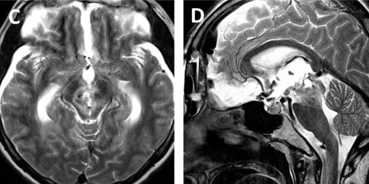
术后MRI显示轴内血肿及血管病变已完全切除(图c, d)。
手术讨论
该病例所采用的基底纵裂入路是处理位于鞍上区、第三脑室前部及基底池肿瘤的理想术式。
它提供了广阔的手术视野,且无需牺牲重要的桥静脉。
其主要缺点在于:前交通动脉常在前纵裂区域限制手术暴露。
尤其在视交叉后方生长的肿瘤中,前交通动脉通常位于肿瘤前方,不仅限制,甚至会完全阻塞基底纵裂入路中的手术通道。
前交通动脉到底能不能切断?
尽管有学者提出必要时可切断前交通动脉,但在实际手术过程中有意识地切断前交通动脉的情况似乎极为罕见。
众所周知,前交通动脉的解剖变异极为繁多。
在一些前交通动脉形态正常的病例中,可能因其迂曲形态或存在多支穿支血管而难以实施切断。
此外,必须考虑到,在狭窄的前纵裂区域内,手术操作不仅可能损伤额叶组织,尤其是在血管壁较脆弱的儿童患者中,还可能导致前交通动脉意外破裂(正如我们在两例病例中所经历的那样)。
此类动脉破裂可能给患者带来严重后果。
因此,在术前预测是否需要进行有控制性的前交通动脉切断显得至关重要,并有助于降低整体手术风险。
在此背景下,巴特朗菲教授等提出了三个肿瘤参数:肿瘤体积、肿瘤深度(定义为前交通动脉至肿瘤后缘的距离)以及肿瘤偏侧角(定义为肿瘤外侧缘与矢状中线之间的几何角度)。
巴特朗菲教授研究结果
巴特朗菲教授通过研究分析发现,肿瘤体积与中央区病变组(P=0.06)和外侧区病变组(P=0.13)的前交通动脉切断均未呈现出统计学显著性相关。
然而,在中央区病变组中,肿瘤深度与前交通动脉切断呈显著相关(P=0.01);而在外侧区病变组中,肿瘤偏侧角与前交通动脉切断呈显著相关(P=0.04)。
研究最终表明:对于深度达到或超过38毫米的中央区病变,以及偏侧角达到或超过23度的外侧区病变,可能需要进行有控制性的前交通动脉切断。
由此,我们识别出了两个有助于术前预测是否需要切断前交通动脉的关键因素。
术者有意且有控制性地切断前交通动脉,有助于实现安全、彻底的肿瘤切除。
当然,是否切断前交通动脉的最终决定,应在术中仔细探查后做出。

- 所属栏目:颅内海绵状血管瘤
- 如想转载“平时无任何症状的20岁女孩,怎么就突发脑干出血,偏瘫昏迷?”请务必注明来源和链接。
- 网址:https://www.incsg.com/huanzhegushi/xueguanliu/7986.html
- 更新时间:2026-04-09 09:35:42


