当医生自己查出脑干肿瘤,他脑子里第一句话是:“做完手术要是不能动了,怎么办?”
发布时间:2026-01-31 10:39:41 | 阅读:次| 关键词:当医生自己查出脑干肿瘤,他脑子里第一句话是:“做完手术要是不能动了,怎么办?”
- [案例]伽马刀消灭不了的垂体瘤,我选择了另一条路并赢了
- [案例]脑干胶质瘤,她术后11年无复发,如何做到?
- [案例]全切、不见疤痕、无并发症,一举三得的脑膜瘤手术是如
- [案例]25岁瘫痪女孩手术全切脑干海绵状血管瘤案例
- [案例]女儿用蓬勃的生命力打败了巨大胶质瘤,我们为她骄傲!
- [案例]“生死排雷”国际神外教授成功接连完成2台脑干手术!
52岁麻醉科医生刘先生在学术会议期间发现手指持续性麻木症状。作为拥有30年麻醉经验的医疗专业人士,他最初将症状归因于职业性颈椎劳损,未予特殊重视。症状持续进展后,患者接受颈椎磁共振检查,影像学结果显示脑干区域存在异常信号灶。
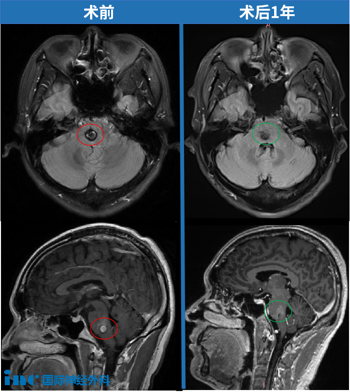
影像学检查显示:桥脑、延髓右侧部及右侧桥臂可见团片状T1WI低信号、T2WI高信号病灶,信号均匀,FLAIR序列呈高信号,边界清晰,尺寸约27 * 23 * 21mm,增强扫描未见明显强化,局部脑组织肿胀表现。

确诊为脑干桥脑海绵状血管瘤后,患者深刻认识到该区域手术的高风险性。基于专业背景,他明确手术干预是解决根本问题的唯一有效途径。
病情进展与治疗决策
2023年12月,患者因轻微手指麻木就诊,初步检查发现脑干桥海区域存在0.8cm血管瘤伴出血征象。随诊一个月内,症状进行性加重,麻木范围扩展至手掌、手臂及下肢,复查显示病灶增大至1.5x1.2cm。
DTI检查证实丘脑皮质束局部受压变形,该神经传导通路负责整合全身温度觉、痛觉、触觉、压觉、听觉及视觉信息并向大脑皮层传递。鉴于症状性出血可能造成严重神经功能损伤,手术干预的主要目标包括消除出血风险,同时保护展神经和面神经功能。

脑桥解剖位置特殊,位于延髓与中脑之间,连接脊髓和延髓结构,内部包含展神经核、束旁核、蓝斑核等重要神经核团,参与面部肌肉运动、呼吸调节及心血管反射等多种生理功能。脑桥损伤可能导致眩晕、耳鸣、平衡失调及肢体瘫痪等严重并发症。
手术方案与专家选择
患者咨询多位神经介入科及神经外科专家,获得保守观察与手术切除等不同治疗建议。期间尝试中医治疗但症状仍持续进展。通过对巴特朗菲教授在《Journal of Neurosurgery》发表的135例脑干脑桥海绵状血管瘤手术研究的深入研读,患者最终决定接受手术治疗。

巴特朗菲教授在研究中比较了后外侧与后内侧手术入路的效果,结果显示后外侧入路在保护展神经和面神经功能方面具有显著优势。该回顾性研究包含135例手术病例,后外侧入路组永久性展神经麻痹发生率为3.7%,显著低于后内侧入路组的21.7%。


手术实施与术后管理
手术采用巴特朗菲教授创新的脑桥延髓沟入路技术,该技术历经20余年临床验证。术前评估显示肿瘤形态规整,完全切除概率达99%,手术风险控制在5-6%范围内,主要风险为暂时性面瘫和展神经麻痹导致的复视。
术后患者恢复进程良好:
手术室苏醒后即刻:意识清醒,可完成简单交流,四肢活动正常
ICU监护期间:吞咽功能、舌体活动及语言功能保持正常
术后第一天:肌力明显改善,可完成有力握手动作
术后第二天:转至普通病房,残留轻度肢体及面部麻木症状
术后两周:顺利出院,两个月后重返工作岗位
术后一年随访显示,患者运动功能完全恢复,行走、骑行等日常活动与常人无异。


手术时机与治疗策略
脑干海绵状血管瘤的手术时机选择尤为关键。巴特朗菲教授指出,最佳手术窗口期为出血后早期,避免局部疤痕形成增加手术难度。研究表明,出血后4-6周实施手术较为适宜,此时血肿已液化,周围水肿消退,为手术提供理想条件。

尽管有文献建议出血后等待4-6周手术,但早期干预可有效避免多次出血导致的神经功能损伤加重。手术目标应实现病变完全切除,部分切除可能增加再出血风险。术中神经导航和神经生理监测等辅助技术可显著降低手术并发症发生率。

文献来源:Timing of Surgery and Surgical Strategies in Symptomatic Brainstem Cavernomas: Review of the Literature. Asian J Neurosurgery. 2019

- 所属栏目:颅内海绵状血管瘤
- 如想转载“当医生自己查出脑干肿瘤,他脑子里第一句话是:“做完手术要是不能动了,怎么办?””请务必注明来源和链接。
- 网址:https://www.incsg.com/huanzhegushi/xueguanliu/7558.html
- 更新时间:2026-01-31 10:30:58
- 上一篇:“妈妈别哭,我很勇敢!”2次脑干出血,1次开颅,懂事的他从不喊疼
- 下一篇:没有了


