患者主动要求“留个小病灶”?一例中脑海绵状血管瘤手术的非常规抉择与后续挑战
发布时间:2026-01-27 10:22:28 | 阅读:次| 关键词:患者主动要求“留个小病灶”?一例中脑海绵状血管瘤手术的非常规抉择与后续挑战
- [案例]当脑海绵状血管瘤引发严重癫痫,应该先解决哪个麻烦?
- [案例]女儿用蓬勃的生命力打败了巨大胶质瘤,我们为她骄傲!
- [案例]30+创业精英突陷“耳鸣噩梦”,听神经瘤疑云背后竟是虚
- [案例]曾患脑干肿瘤,开颅手术后1个月回归校园,拿下“三好学
- [案例]脑膜瘤如“章鱼”盘踞在脑中,视力模糊、嗅觉减退…不
- [案例]60多岁王先生脑干海绵状血管瘤术后2年随访情况
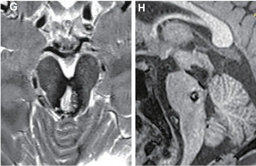
40岁男性患者艾瑞克因复视和行走不稳等临床症状就诊。影像学检查结果显示,患者患有中脑海绵状血管瘤。术前增强磁共振成像清晰显示血管畸形团块存在于轴位和矢状位,同时在脑桥区域检测到直径数毫米的微小卫星病灶。需要特别注意的是,中脑区域虽然仅占全脑体积的0.5%,但作为关键的生命中枢,承担着意识调节、眼球运动控制、视觉和听觉功能调节等重要生理功能,在该区域实施神经外科手术具有较高的风险性。
治疗决策过程与手术方案制定
术前评估显示,患者改良Rankin量表(mRS)评分为1.6分。主要病灶具有明确的出血病史,存在明确的手术指征。治疗团队面临的核心决策难点在于是否需要同期切除卫星病灶。通过综合考量病灶位置深在、神经纤维分布密集、术后出血风险等多重因素,最终决定尊重患者意愿,制定个体化治疗方案:优先切除主病灶,同时保留卫星病灶。手术采用枕下经幕入路,患者取半坐位配合头屈位体位,通过枕部/枕下中线切口,沿着小脑幕边缘进入中脑背侧目标区域。

手术实施过程与并发症处理
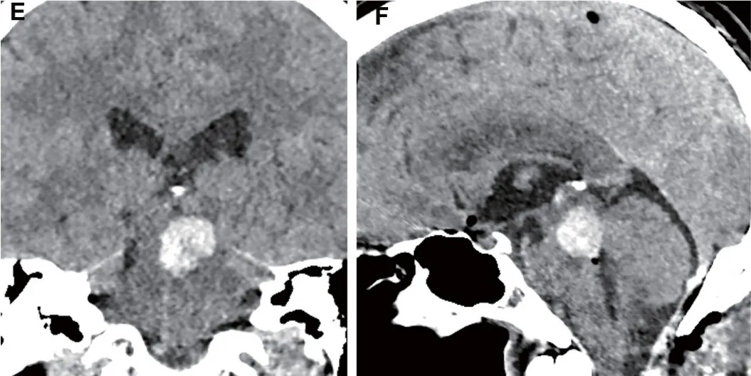
手术团队成功完成主病灶切除,卫星病灶按预定方案予以保留。术后第一天常规头部CT检查发现切除腔内有血肿形成,冠状位和矢状位重建图像清晰显示血肿产生占位效应,并对中脑结构形成压迫。医疗团队立即进行二次手术干预,通过原手术切口清除血肿并彻底止血。患者在神经外科重症监护室接受全面监护,使用多模态监测系统持续追踪生命体征和神经功能变化。


术后管理與长期随访结果
患者术后接受系统化、阶段性的康复治疗,从床旁被动活动开始,逐步过渡到坐起、站立训练。术后5个月进行磁共振成像复查,影像学证据证实中脑海绵状畸形(MCM)完全切除,卫星病灶大小保持稳定且无出血征象。神经功能恢复呈现缓慢但持续改善的良好趋势。


治疗决策的临床价值与思考
中脑海绵状畸形的外科治疗需要精准平衡治愈性与安全性两大核心目标。完全切除病灶可以彻底消除出血风险,但可能带来神经功能损伤的潜在风险;保守治疗方案虽然可以降低手术风险,但存在病灶进展的可能性。本案例的治疗过程证明,最佳手术方案应当是在安全范围内最大化解决主要问题,同时需要综合考虑患者的个体差异和治疗偏好,体现个体化医疗的重要价值。

案例来源:Helmut Bertalanffy et al. Microsurgical Management of Midbrain Cavernous Malformations: Predictors of Outcome and Lesion Classification in 72 Patients
- 所属栏目:颅内海绵状血管瘤
- 如想转载“患者主动要求“留个小病灶”?一例中脑海绵状血管瘤手术的非常规抉择与后续挑战”请务必注明来源和链接。
- 网址:https://www.incsg.com/huanzhegushi/xueguanliu/7529.html
- 更新时间:2026-01-27 10:15:29


