伽马刀治疗脑干海绵状血管瘤无效,病灶还变大了!
发布时间:2025-10-12 14:04:00 | 阅读:次| 关键词:伽马刀治疗脑干海绵状血管瘤无效,病灶还变大了!
- [案例]当脑海绵状血管瘤引发严重癫痫,应该先解决哪个麻烦?
- [案例]脑膜瘤如“章鱼”盘踞在脑中,视力模糊、嗅觉减退…不
- [案例]女儿用蓬勃的生命力打败了巨大胶质瘤,我们为她骄傲!
- [案例]60多岁王先生脑干海绵状血管瘤术后2年随访情况
- [案例]30+创业精英突陷“耳鸣噩梦”,听神经瘤疑云背后竟是虚
- [案例]曾患脑干肿瘤,开颅手术后1个月回归校园,拿下“三好学
"伽马刀治疗后不仅未见好转,行走功能持续恶化,复查显示病灶反而增大"——2022年,林女士手持最新MRI报告,内心充满忧虑。
两年前,她因运动后突发头晕伴左腿疼痛,检查确诊脑干海绵状血管瘤。为"降低风险"选择伽马刀治疗,未料此选择却成为新困境的开始……
林女士脑干海绵状血管瘤诊疗历程
2020年,林女士运动时突发头晕合并左侧下肢疼痛,当地医院行MRI平扫加增强检查,提示脑干海绵状血管瘤伴卒中出血。
脑干作为人体"生命中枢",调控呼吸、心跳等核心功能,手术风险极高。基于"风险控制"考量,林女士选择伽马刀治疗,期望通过这种非开刀方式控制病灶。

但病情发展未达预期——伽马刀治疗无效。林女士出现行走困难,右侧下肢行走时形态异常、不自主抖动,无法独立行走等症状。当地医院复查CT及MRI显示脑干海绵状血管瘤较前增大。
"为何治疗后反而加重?"林女士手持报告,既感无助又充满困惑。她意识到需寻求更专业医生的帮助。
伽马刀治疗原理与适应症解析
多数患者听闻"伽马刀",易误解为"无创手术刀",实则其全称为"伽马射线立体定向放射治疗系统",本质属于放射治疗范畴。

其原理是通过计算机精确定位病灶,将钴-60释放的伽马射线聚焦于病灶区域,试图破坏病变组织。但该技术有严格适应症,并非适用于所有肿瘤:例如林女士的脑干海绵状血管瘤就不适宜伽马刀治疗。不当使用不仅无效,还可能损伤正常脑组织,增加后续治疗难度。
脑干病灶合并伽马刀后遗症的病例复杂性分析
经推荐,林女士找到擅长处理复杂位置病变的INC巴特朗菲教授。
详细查阅病史及检查资料后,巴教授明确表示:"这是复杂病例。若伽马刀治疗前咨询我,绝不推荐此方案。"

更令林女士担忧的是,前期伽马刀可能已对健康脑干实质造成损伤,这将影响后续功能完全恢复。即使手术成功,也难以实现功能完全康复的预期。
面对位于生命中枢的病灶及伽马刀潜在损伤,手术难度与风险显著。但巴教授同时给予希望:"目前为时未晚,患者存在明确手术指征,全切病灶仍是控制病情的关键。"

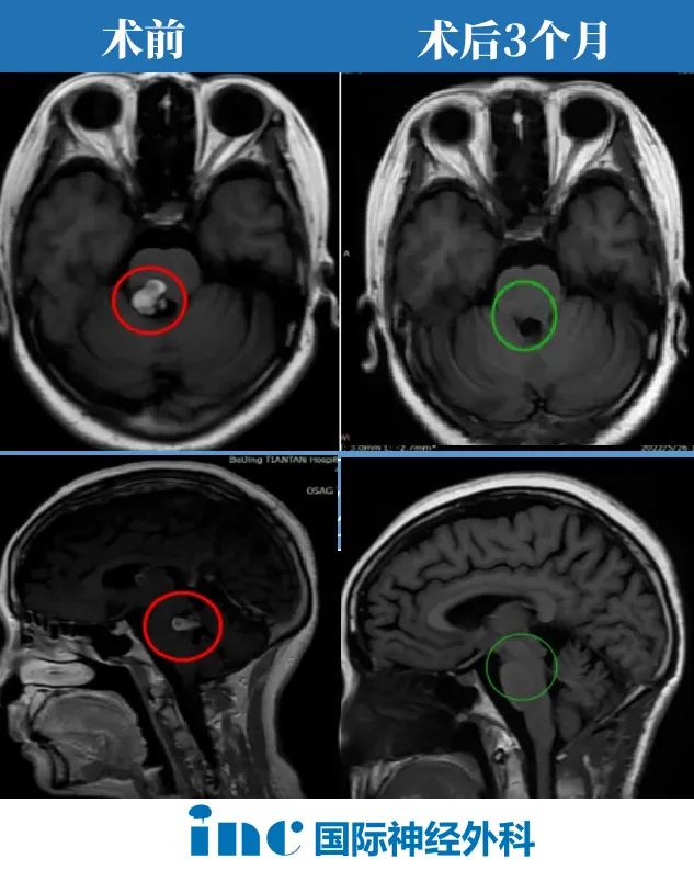
显微手术全切病灶及术后三月随访结果
经过充分沟通与手术方案详解,林女士及家人决定接受手术治疗。
术中,巴教授凭借对脑干解剖结构的精准掌握及娴熟显微外科技巧,谨慎避开正常神经组织,精确定位病灶——最终实现脑干海绵状血管瘤完全切除。
术后三月复查MRI,影像结果证实好消息:病灶全切,无残留。
虽然右侧下肢功能仍需康复训练,但"病灶再出血"风险已彻底消除,生活质量获得显著改善。
林女士案例揭示的海绵状血管瘤治疗认知误区
放射治疗能否根治海绵状血管瘤?疗效仍存争议!
部分观点认为立体定向放射外科(SRS,即伽马刀等技术)可替代手术,用于"无法手术"的海绵状血管瘤患者。但INC巴教授结合研究指出:目前缺乏明确证据支持此说法。
相反有研究显示放射治疗可能带来风险:包括病灶再出血、永久性神经功能缺损,甚至诱发新发病变。特别是家族性脑海绵状血管瘤或静脉畸形患者,选择放疗需格外谨慎。

显微外科切除术作为海绵状血管瘤关键治疗方式
目前公认脑海绵状血管瘤的有效治疗方式为显微外科切除术,核心目标是"完全切除病灶同时保护周围正常神经组织",既可预防再出血,又能最大限度保留功能。
巴教授在2020年出版的《松果体区病变-管理策略与争议问题》专著中,特别在"松果体区海绵状血管瘤"章节强调:全切病灶是控制病情的关键。
即使是脑干、丘脑、功能区等"手术禁区"的海绵状血管瘤,只要选择合适手术入路(如根据病灶位置选择经幕下、经岩骨等入路),结合医生娴熟的显微手术技巧,仍可实现全切并获得良好疗效。早期手术更能有效消除出血风险,临床效果更优。
手术切除程度与医生经验密切相关:灵活的手术策略、熟练的操作技巧、多种入路的掌握,都是实现"全切病灶、保护功能"的关键。

林女士的经历是众多复杂脑干病变患者的缩影:从突发症状到误选治疗方案,最终通过专业手术控制病情。
若您或身边人遇到类似神经外科问题,请勿盲目选择治疗方式,应及时寻求经验丰富的专科医生评估,明确病灶性质及适宜治疗方案,这才是对健康最负责的选择。
文中案例为巴特朗菲教授2022年在华示范手术病例
参考文献:
《Pineal Region Lesions-Management Strategies and Controversial Issues》
《A Huge Radiation-Induced Cavernous Hemangioma Following Stereotactic Radiosurgery for Meningioma: A Case Report》(doi:10.14791/btrt.2022.0020.)
INC国际脑血管专家巴特朗菲教授
INC国际神经外科医生集团旗下世界神经外科顾问团(WANG)成员、世界神经外科联合会(WFNS)教育与技术委员会前主席巴特朗菲教授,现任德国汉诺威国际神经外科研究院血管神经外科主任,擅长大脑半球病变、脑干病变、脑血管疾病、脑内深层区胶质瘤、颅颈交界处病变的肿瘤切除术、神经吻合术及各类椎管内肿瘤手术。
巴特朗菲教授曾接受来自欧洲、中东、北非及日本、中国、韩国、新西兰、南非、智利等40国学术邀请,出席400余场国际学术会议并担任特邀发言人,为世界神经外科学科发展作出重大贡献,特别是在颅底外科和脑脊髓显微外科血管病变治疗领域。
- 所属栏目:颅内海绵状血管瘤
- 如想转载“伽马刀治疗脑干海绵状血管瘤无效,病灶还变大了!”请务必注明来源和链接。
- 网址:https://www.incsg.com/huanzhegushi/xueguanliu/6804.html
- 更新时间:2025-10-12 13:56:41


