“肿瘤切出来了,一整块!”我亲眼看着医生,从我儿子脑干里取出了肿瘤
发布时间:2025-10-13 14:09:34 | 阅读:次| 关键词:“肿瘤切出来了,一整块!”我亲眼看着医生,从我儿子脑干里取出了肿瘤
- [案例]60多岁王先生脑干海绵状血管瘤术后2年随访情况
- [案例]脑膜瘤如“章鱼”盘踞在脑中,视力模糊、嗅觉减退…不
- [案例]曾患脑干肿瘤,开颅手术后1个月回归校园,拿下“三好学
- [案例]30+创业精英突陷“耳鸣噩梦”,听神经瘤疑云背后竟是虚
- [案例]女儿用蓬勃的生命力打败了巨大胶质瘤,我们为她骄傲!
- [案例]当脑海绵状血管瘤引发严重癫痫,应该先解决哪个麻烦?
“肿瘤被完整取出,一整块!”我亲眼见证医生从我儿子的脑干中成功切除肿瘤。
当脑肿瘤生长于“手术禁区”脑干时,多方求医后获得的反馈均为手术可能引发呼吸困难、昏迷等高风险,甚至可能导致大脑功能永久丧失,这种无奈境地令人深感绝望。
“最终让我下定决心的关键因素是,如同专业驾驶员(比喻神经外科手术)专门应对特定路况,医生必须熟悉手术流程,保持冷静。大脑手术同样如此,医生在‘启动’后能够灵活应变,因其具备丰富的成功经验。我女儿全程观看手术直播,告知我肿瘤被完整切除,一整块,我们激动得欢呼雀跃。”
——脑干延髓海绵状血管瘤患者父亲的自述
当孩子身患疾病时,父母唯一的焦点在于治愈孩子。本文记录了一位脑干海绵状血管瘤患者父亲分享孩子治疗过程的经历,他希望借此帮助更多病友及家属。在整个采访中,父亲眼中洋溢着幸福与自豪,这个家庭通过共同奋斗走过了艰难的治疗历程,最终成功战胜了脑干海绵状血管瘤。这场全国直播的延髓手术,具体发生了什么?
点击阅读:“开颅手术”过程全面解析!国际专家完整切除脑干海绵状血管瘤的手术艺术。
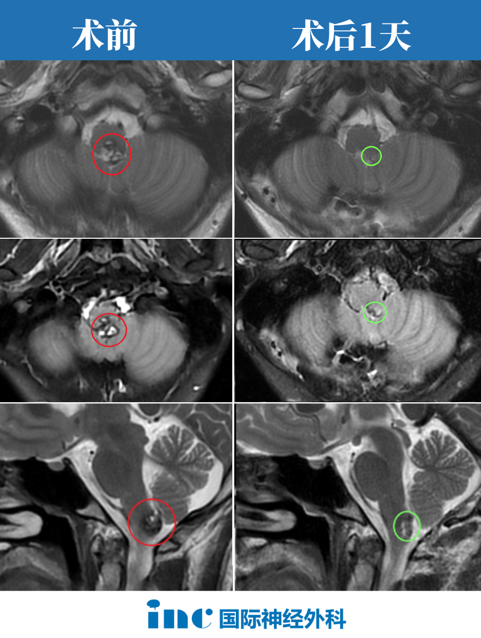
19岁脑干延髓海绵状血管瘤患者阿朔病史概要
脑干延髓作为调控心跳、呼吸等关键生命功能的中枢,神经核团分布高度密集。脑干海绵状血管瘤存在反复出血风险,可能导致肢体瘫痪、呼吸困难甚至昏迷,手术历来被视为难题。
19岁的阿朔(患者化名)是一名乐观、懂事的大学生,他对未来规划详尽,本应意气风发,却不幸确诊脑干延髓海绵状血管瘤……这一结果令全家陷入茫然。

自确诊之日起,阿朔父亲带着儿子四处求医,但正如他所言,脑干延髓位置肿瘤的手术难度与风险极高,求医过程充满挑战。“医生表示,进行此手术需承担生命危险,包括两大风险:第一,可能瘫痪;第二,可能颈部以下全身瘫痪。”

作为父母,无论如何都愿为孩子争取最佳治疗。孩子年仅19岁,性格好强,事事追求完美!但确诊后,儿子心态彻底崩溃。”若持续在煎熬与恐惧中生活,人生还有何意义?“医生曾提醒:‘若敢赌病灶终生不出血,或许可行……但无人能保证其不发作!’一旦大量出血,孩子可能瘫痪,甚至永远失去笑容。”

然而,从咨询巴教授到最终决定手术,过程并非一帆风顺。出于对阿朔的关爱,父亲周围充斥不同意见……他们担忧在短时间内做出决定是否会“害了孩子”。作为家庭支柱,阿朔父亲承受巨大压力,这份艰辛难以被外人理解。但作为父亲,他不仅需具备为孩子付出一切的勇气,还需面对选择后可能出现的任何后果。

病魔,父亲力排众议,为儿子争取了手术机会。成功手术后,阿朔也自豪地认为自己闯过了难关,成为英雄。他始终安慰父亲:“我一切正常,毫无问题。”此时,父亲倍感欣慰,感觉孩子真正长大了。”
感谢阿朔父亲为病友分享成功治疗经验
“效果非常神奇,手术如此彻底,如此成功”
INC提问:孩子发病是否偶然?
阿朔父亲:完全出乎意料,最初以为是感冒。第二次发作时头痛剧烈,他非常怕痛,立即进行CT检查,结果显示异常。次日加强MRI检查,发现病灶位于脑干。全家顿时茫然,该部位手术并非易事。我们在当地所有医院咨询,均建议保守治疗,要求避免出国、剧烈运动、熬夜及辛辣饮食……专家评估后指出,手术需承担生命危险,包括可能瘫痪或成为植物人。我认为这无法接受。
医学如此发达,为何出现这种情况?我们缺乏专业知识,前往大医院得到的答复相同:必须手术,但谁敢赌病灶终生不出血?无人能保证其不发作。
仅一个多月后,全家心态濒临崩溃。我担心即使不出血,患者也会抑郁。儿子事事争强好胜,作为父母必须为他争取最佳治疗。
我多方咨询,了解到巴教授。初步咨询后,巴教授的答复让我们安心。

远程咨询中,巴教授解答了关于手术难度的疑问
但家人仍持反对意见,担心外国医生术后不负责任。最终由我决策,我向他们解释:手术不会危及生命,除非患者有基础疾病。
让我下定决心的原因是,如同专业司机擅长特定车型,医生专精此类手术,必须熟悉流程,保持镇定。大脑手术同理,医生在“启动”后能灵活应对,因其经验丰富。
手术完成后,包括影像结果,我也请当地神经外科医生查看。他惊叹:“效果非常神奇,手术如此彻底,如此成功!关键恢复极快,一天即出ICU,且神志清晰。”儿子甚至主动打电话确认,认为难以置信。
我表示他在ICU期间就与我视频联系。第二天基本可下地活动,48小时后完成MRI检查,独立走入检查室。至今,患者的反应、神志、吞咽功能等基本状态良好,仅手部麻木,我认为后期定能恢复。一切顺利,毫无问题!目前我几乎无担忧。

“等待过程最煎熬,决定手术后他反而开心”
INC提问:作为大家族代表,您如何顶住压力下定决心?
阿朔父亲:我们兄弟姐妹较多,他们问我是否考虑清楚。我明确表示必须手术,恰逢良机。父母及好友最初不建议立即手术,认为应等出血后再处理。但等待出血风险未知,过程对孩子极为煎熬。即便不出血,我也怕孩子承受不住心理压力。
INC提问:孩子对手术有何看法?
阿朔父亲:他起初反对我找巴教授,因费用高。但对手术本身毫不担心,他说了解巴特朗菲教授的专业著作,深知其技术高超。
术前一晚他失眠焦虑,我安慰他无需害怕。他心态急切希望尽快结束治疗。若手术失败,我会崩溃,他多次表达渴望。等待最折磨人,决定手术后他反而开心。

手术有直播,我不敢观看画面。女儿全程观看,告诉我肿瘤被完整取出,一整块。切除后监测仪显示生命体征正常。我们略懂医学,观察监测仪上血压、心跳等指标均稳定。
过程极度煎熬,我和妻子同样担忧,但我不能表露。女儿说:“怕什么?我完全信任教授!结果肯定成功。”她可能因阅读较多,对教授了解深。我们则担心结果。
我心想孩子年幼受苦令人心痛,术后可能全身插管疼痛。但实际无此情况。
“老爸没事,我一切正常”
INC提问:ICU期间或出来后他第一句话是什么?
阿朔父亲:他未完全清醒时,我呼唤他,他能微睁眼但意识清醒。从ICU转至普通病房时,他神态如常,说:“老爸没事,我一切正常。”他详细告诉我ICU经历,如护士擦身、喂粥……巴教授查房时他用英语交流。

术后第5天,巴教授病房查房,阿朔积极互动。
他始终安慰我,表示一切正常。
INC提问:那时您是否感觉孩子长大了?
阿朔父亲:确实,他怕我们担心,不断发信息说:“老爸看我好了,没事!”ICU中他状态佳,频繁用手机联系亲友,告知手术成功。
INC提问:结果达到预期了吗?
阿朔父亲:完全达到!甚至超预期!目前手部麻木定可恢复。头晕我劝他耐心,术后不到一周需时间恢复,我认为必能康复。
“手术非同儿戏,细微损伤影响巨大”
INC提问:作为亲历者,您想对其他患者家长说什么?
阿朔父亲:孩子虽上大学,对我们仍是未成年人,缺乏社会经验,对手术风险认知有限。我不断鼓励他放心。进手术室前,我承诺在门口等待,给他安全感。我教育孩子独立,不过度呵护。
手术与购物或生意不同,任何细微神经损伤都可能导致恢复困难、痛苦甚至自理能力丧失……海绵状血管瘤实非恶性肿瘤,若妥善切除可多年不生长。它是良性的,无需过度恐惧。

后记
当看到阿朔父亲细致描述治疗全过程时,我不禁感叹父母之爱的伟大。阿朔现年19岁,从视频与交谈中难觅曾受脑瘤困扰的痕迹。他笑容灿烂,令人印象深刻——生命的顽强与伟大,正体现于绝境中抗争的自信与阳光。
采访阿朔父亲时,感受到他内敛而深沉的父爱。那些言语背后的压力、辛酸与痛楚,唯有亲历者能真正体会。正是这份家庭之爱,为孩子遮风挡雨,助其茁壮成长。
- 所属栏目:颅内海绵状血管瘤
- 如想转载““肿瘤切出来了,一整块!”我亲眼看着医生,从我儿子脑干里取出了肿瘤”请务必注明来源和链接。
- 网址:https://www.incsg.com/huanzhegushi/xueguanliu/6806.html
- 更新时间:2025-10-13 14:02:43


