

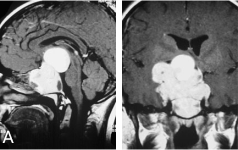
垂体瘤是一组从垂体前叶和后叶及颅咽管上皮残余细胞发生的肿瘤,约占颅内肿瘤的10%,以前叶的腺瘤占大多数,来自后叶者少见。垂体瘤大部分为良性腺瘤,极少数为癌,好发年龄为青壮年,发病率为1/10万。



垂体瘤属于良性肿瘤,理论上完整切除后没有复发的理由。但"完整切除"这个概念在外科手术中有它的局限性——手术工具能切除的是肉眼可见的组织,细胞层面是触及不到的。...
更新时间:2026-04-23 14:07:07

手术是大多数垂体瘤的首选,尤其是已经出现压迫症状或者激素分泌异常需要快速控制的患者,经鼻蝶入路微创手术在全切率和术后恢复方面都有明显优势。伽马刀在垂体瘤治疗中通常扮演补充角...
更新时间:2026-04-20 17:14:16

生长激素型垂体瘤属于功能性垂体瘤的一种,瘤子本身是良性的,不会像恶性肿瘤那样到处转移。但它分泌的生长激素(GH)和下游的胰岛素样生长因子(IGF-1)一旦持续超标,对全身的影响是系统...
更新时间:2026-04-20 17:03:26

很多患者拿到垂体瘤的报告后,最关心的问题之一是:能不能不做手术,吃药治疗?答案因瘤子类型而异,有些类型确实可以通过药物控制甚至治愈,有些则不行。...
更新时间:2026-04-20 15:39:05

拿到一张写着"垂体瘤"的报告,很多人第一反应是:为什么会是我?家里没人得过这个病,平时身体也挺好的。坦率地说,垂体瘤的成因确实比较复杂,不是某一个单一因素能解释的。...
更新时间:2026-04-20 15:16:26

患者吃了几年药,激素正常了、肿瘤小了甚至消失了,自己觉得"差不多了",一停药,没过多久指标又飙回来了,肿瘤也跟着卷土重来。这种剧情在泌乳素型垂体瘤的患者群体里发生频率相当高。...
更新时间:2026-04-20 13:44:13

同样是垂体瘤,为什么治疗方案差这么大?因为垂体瘤的手术入路选择,决定的远不止是"挨不挨刀口",而是后续能不能保全激素功能、术后生活质量能不能恢复。...
更新时间:2026-03-18 10:22:17

人体有一个不到豌豆大小的器官,却掌控着生长、代谢、生殖、压力反应等众多关键功能,它就是垂体。当这个"内分泌指挥中心"旁边长出了垂体腺瘤,一个核心问题就摆在面前:这个肿瘤到底有没...
更新时间:2026-03-13 14:51:12

45岁的王先生拿着垂体瘤的诊断报告,陷入了两难的选择。和许多垂体瘤患者一样,他站在了治疗的关键十字路口:是选择创伤较小的经鼻手术,还是更为彻底的开颅手术?...
更新时间:2026-03-12 17:35:55

药物治疗能够有效降低患者血清催乳素水平、缩小肿瘤体积并改善临床症状。约80%-90%的患者可通过药物实现病情的良好控制。然而,仍有一部分患者因药物不耐受、疗效欠佳或肿瘤压迫神经(如导...
更新时间:2026-03-01 09:55:06
更新时间:2021-11-24 17:10:09
更新时间:2024-12-13 16:21:12
更新时间:2024-12-13 16:24:40
更新时间:2020-07-16 14:26:31
更新时间:2021-11-24 16:59:13
更新时间:2021-11-24 17:01:48
更新时间:2024-12-13 16:20:34
更新时间:2020-05-26 16:26:56
更新时间:2021-11-24 16:56:43
更新时间:2021-11-24 16:55:57
更新时间:2026-04-23 14:07:07
更新时间:2026-04-20 17:14:16
更新时间:2026-04-20 17:03:26
更新时间:2026-04-20 15:39:05
更新时间:2026-04-20 15:16:26