



这台手术由巴特朗菲教授主刀。虽然病灶周围紧邻面听神经、三叉神经及岩静脉等关键神经血管结构,手术空间极为有限,但巴教授凭借丰富的经验和精湛的操作,成功拆除了这颗"不定时炸弹"。术...
更新时间:2026-05-06 11:31:17

INC国际神经外科专家巴特朗菲(Helmut Bertalanffy)教授团队在相关研究中就对高功能区脑干海绵状血管瘤孕妇的处理决策进行了评估。...
更新时间:2026-04-28 19:38:05

一名3岁小女孩因突发头痛、嗜睡、偏瘫等症状紧急就医,检查发现孩子脑内不仅有一个巨大的海绵状血管瘤,还存在多处病灶。成功切除位于脑干的危险病灶后,医生开始思考:这么小的孩子,为...
更新时间:2026-04-24 09:33:18

脑海绵状血管瘤长在脑干上,尤其对于正在备孕或已经怀孕的女性来说,是一个非常棘手的问题。脑干是大脑中最核心的区域,处理这件事对孕妇本人和医疗团队而言都绝非易事。...
更新时间:2026-04-22 09:21:25

提到脑瘤,大多数人脑海中浮现的画面通常是:恶心呕吐、剧烈头痛、视力下降、行走不稳,严重者甚至生活无法自理。但实际情况真的完全如此吗?显然不是。...
更新时间:2026-04-09 09:35:42

2020年,林女士像往常一样运动,突然一阵天旋地转,左腿像被电击般剧痛。急诊MRI提示:脑干海绵状血管瘤伴卒中出血。...
更新时间:2026-04-03 10:08:13

当获悉11岁女儿被诊断为脑干海绵状血管瘤时,湘湘内心充满坚定信念。无人能够预料,这颗深藏于脑干的海绵状血管瘤,竟会因出血压迫中脑导水管进而引发梗阻性脑积水。...
更新时间:2026-04-02 09:57:21

因为脑干虽然只有拇指大小,却承载着呼吸、心跳、意识与运动调控的全部核心功能,被称为人体的"生命中枢"。这里一旦发生血管破裂出血,每一次事件都像是在神经核团密布的区域引爆一颗炸弹...
更新时间:2026-03-31 18:40:39

途中,她突然出现头晕症状,右眼视物开始模糊,右侧口腔和舌头也相继出现麻木感。医院的检查结果让她愣在了原地——右侧丘脑部位,发现一枚直径约5至6毫米的海绵状血管瘤。...
更新时间:2026-03-31 09:40:35

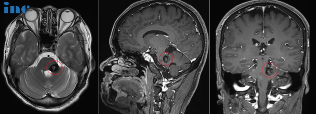
毫无任何预兆,她突然感觉左侧肢体出现无力,左脚发软、抬不起来,正常走路都变得举步维艰。家人立即将她紧急送医,颅脑核磁共振检查的结果让所有人的心瞬间沉了下去——脑干桥脑海绵状...
更新时间:2026-03-27 09:37:31

脑干,作为维系生命运转的核心中枢,这个区域一旦发生出血,其危险程度几乎无需赘言——它起病急骤、进展迅速,往往在数分钟到数小时内急剧恶化,每一分钟都是与死神的赛跑。...
更新时间:2026-03-25 08:52:07

脑干脑桥海绵状血管瘤是导致这类出血事件的常见病因之一。这类病变具有反复出血的特性,每一次发作都可能在脑干留下不可逆的损伤痕迹,多次出血累积后果极为严峻。...
更新时间:2026-03-24 19:49:51

从脑干出血被送进ICU,到三年后以优异成绩叩响德国名校的大门,跨越这道生死鸿沟,有时候需要的,不过是多一分直面未知的勇气。...
更新时间:2026-03-24 19:21:35

中脑脑干部位存在占位性病变,呈现混杂信号,考虑为海绵状血管瘤的可能性较大。影像学特征表明这符合反复少量出血后的改变,这意味着在此之前,晶晶可能已经发生过几次轻微的脑干出血,...
更新时间:2026-03-20 18:47:47

从2006年第一次突发症状,到2023年第三次出血,在长达18年的时间里,脑干延髓海绵状血管瘤就像一颗不定时炸弹,一次次将她推向生与死的边缘,而她始终在"保守观察"与"冒险手术"的两难选择中苦...
更新时间:2026-03-20 10:35:25
更新时间:2023-03-16 17:30:52
更新时间:2023-03-16 17:23:25
更新时间:2021-12-15 13:40:40
更新时间:2021-12-14 17:06:09
更新时间:2021-12-14 17:00:21
更新时间:2021-12-15 11:17:50
更新时间:2021-11-22 11:50:31
更新时间:2021-12-15 11:24:40
更新时间:2021-12-14 16:47:00
更新时间:2021-12-15 13:48:12
更新时间:2026-05-06 11:31:17
更新时间:2026-04-28 19:38:05
更新时间:2026-04-24 09:33:18
更新时间:2026-04-22 09:21:25
更新时间:2026-04-09 09:35:42