“我重新学会了走路”——19岁少年与死神抢回的人生,从脑干手术到重回校园
发布时间:2026-01-11 09:51:13 | 阅读:次| 关键词:“我重新学会了走路”——19岁少年与死神抢回的人生,从脑干手术到重回校园
- [案例]脑膜瘤如“章鱼”盘踞在脑中,视力模糊、嗅觉减退…不
- [案例]30+创业精英突陷“耳鸣噩梦”,听神经瘤疑云背后竟是虚
- [案例]曾患脑干肿瘤,开颅手术后1个月回归校园,拿下“三好学
- [案例]女儿用蓬勃的生命力打败了巨大胶质瘤,我们为她骄傲!
- [案例]当脑海绵状血管瘤引发严重癫痫,应该先解决哪个麻烦?
- [案例]60多岁王先生脑干海绵状血管瘤术后2年随访情况
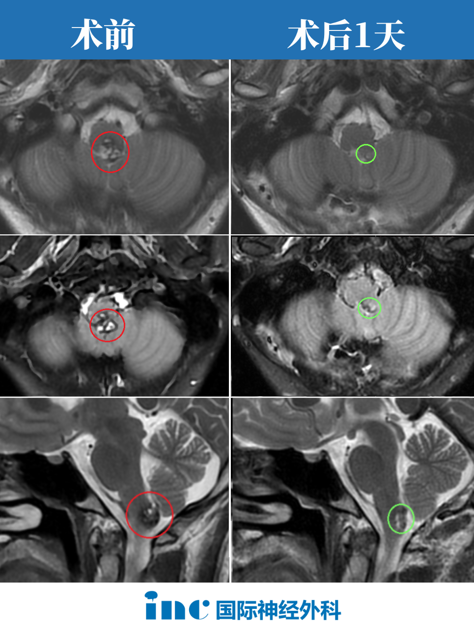
患者阿朔,19岁男性,大学生,确诊为脑干延髓海绵状血管瘤。发病前身体状况良好,热爱生活,具有积极向上的精神状态。疾病确诊时,医疗团队告知手术存在术后瘫痪和生活不能自理的风险,患者及家属陷入深度焦虑。
疾病最严重阶段,患者出现明显呼吸障碍症状,因氧气供应不足导致站立不稳。初期症状被家属误判为感冒或普通身体不适,建议通过服药休息缓解。随着症状加剧,患者主动要求就医检查,影像学检查显示脑内存在异常病灶,最终确诊为脑干海绵状血管瘤。

确诊初期患者出现严重心理应激反应,表现为阅读困难、进食障碍,通过独处阅读和游戏转移注意力。患者父母承受更大心理压力,多方咨询得到的手术预后评估均不理想,包括植物人状态和瘫痪风险警告。
治疗转机:专业医疗团队的介入
通过苏州当地神经外科主任推荐,患者家属了解到INC巴特朗菲教授在脑干病变手术领域的专业优势。巴特朗菲教授团队对病情评估后认为手术难度可控,术后并发症预计在1-2个月内可恢复,这种专业自信给患者全家带来希望。
远程会诊过程中,巴特朗菲教授详细分析了病例特点,明确手术可行性,对可能出现的术后影响给出明确时间预期。这种专业的评估显著缓解了患者及家属的焦虑情绪,最终决定接受手术治疗。
手术治疗与术后恢复
手术于2022年11月27日实施,全程进行手术直播。术中在神经电生理监测下,巴特朗菲教授成功完成肿瘤全切手术,操作精准有序。患者术后苏醒迅速,在ICU期间即恢复基本沟通能力,能够使用手机与家人联系。

术后第三天患者开始尝试下床行走,首次站立时感受到明显的功能恢复迹象。术后一个半月内,患者每日都能感知到身体功能的渐进性改善,这种积极的恢复趋势为患者提供了持续的心理支持。

康复效果与生活回归
术后患者顺利回归校园生活,学业表现稳定,能正常完成课业任务和计算机学习。日常生活方面,饮食、睡眠质量良好,与室友关系融洽,整体生活状态恢复理想。

患者建议与经验分享
基于亲身治疗经历,患者提出三点重要建议:
避免独自承担疾病压力,需要建立家庭和社会支持系统
重视专业医疗意见,积极寻找最佳治疗方案和医疗团队
认识到自身应对疾病的潜在能力,保持积极治疗态度

该病例展示了即使在脑干延髓海绵状血管瘤这样的复杂病例中,通过专业手术治疗和系统康复,患者仍能获得良好的功能恢复和生活质量回归。
- 所属栏目:颅内海绵状血管瘤
- 如想转载““我重新学会了走路”——19岁少年与死神抢回的人生,从脑干手术到重回校园”请务必注明来源和链接。
- 网址:https://www.incsg.com/huanzhegushi/xueguanliu/7434.html
- 更新时间:2026-01-11 09:45:47


