3岁娃突发偏瘫嗜睡,小小头颅内竟暗藏巨大桥脑海绵状血管瘤危机!
发布时间:2026-01-06 10:04:54 | 阅读:次| 关键词:3岁娃突发偏瘫嗜睡,小小头颅内竟暗藏巨大桥脑海绵状血管瘤危机!
- [案例]松果体区肿瘤有哪些症状?当10岁孩子急诊送医,10年后她
- [案例]头晕、平衡变差别硬抗!可能是脑瘤生长的信号!
- [案例]复发难治性脊索瘤5年4次手术,国际教授经鼻内镜+开颅手
- [案例]颅底手术视野盲区优化:显微镜与神经内镜的协同应用
- [案例]6岁男童头部外伤后CT检查意外发现松果体区肿瘤
- [案例]9岁女儿扛过5cm脑海绵状血管瘤:从癫痫频发到重返校园,
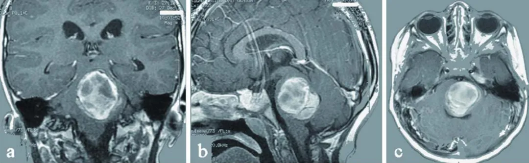
3岁女童阿莉莎突发剧烈头痛伴呕吐症状,起病无明显前兆。病情呈进行性加重,右侧肢体活动功能逐渐丧失,伴随面部不对称表现。经影像学检查,MRI结果显示脑桥区存在4×3×5厘米巨大海绵状血管瘤伴出血征象,颅内可见多发病灶。
患儿病情进展迅速。从初期嗜睡、头痛症状,发展为右侧偏瘫伴面部瘫痪、言语功能障碍,最终出现严重躯干性共济失调——患儿基本丧失坐立平衡能力,无法独立站立行走。
磁共振成像(MRI)检查明确显示:脑桥区域存在4×3×5厘米巨大海绵状血管瘤,同时颅内发现多个附加病灶。其中左侧额叶病灶已引发癫痫发作,需药物控制。病因明确为脑桥病灶增大合并出血,持续压迫关键神经中枢结构。

图a-c为术前影像学资料
治疗难度与手术决策
该病例治疗难度属于极高风险级别。病灶位于脑桥区域,该部位包含呼吸、心跳、运动控制等关键神经传导通路,是维持生命功能的核心中枢。手术操作精度要求极高,0.1厘米的偏差即可能导致永久性神经功能损伤或生命危险。
患儿年龄仅3岁,脑组织处于发育阶段,对手术创伤耐受性显著低于成人。病灶体积巨大,已造成脑干明显受压,合并出血及脑积水症状,需及时手术解除压迫,避免不可逆神经功能损伤。
在控制脑水肿、稳定生命体征后,医疗团队面临关键决策:是否对低龄患儿实施高风险的脑干病变手术。
手术方案与实施过程
为争取最佳治疗效果,INC国际巴特朗菲教授领衔的神经外科团队制定了周密的手术方案。选择左侧颞下经天幕入路,该手术路径可精准抵达脑桥前外侧病灶区域,同时最大限度保护正常脑组织。
手术在显微镜辅助下精细进行,术中对病灶与周围神经组织进行谨慎分离,最终实现脑桥区巨大海绵状血管瘤的完整切除。手术过程顺利,未发生相关并发症。

图d为术后轴位影像,显示海绵状血管畸形完全切除,第四脑室形态恢复正常,脑干压迫得到有效解除。
术后恢复与疗效评估
术后患儿神经功能恢复情况良好。术后10天复查MRI显示:病灶完全切除,受压脑干成功减压,第四脑室大小恢复正常范围。
住院治疗2周期间,患儿残余斜视症状及轻度面瘫表现持续改善,已能初步配合康复训练。最终顺利出院,接受系统神经康复治疗。
专家团队介绍
INC国际神经外科医生集团旗下世界神经外科顾问团(WANG)成员、世界神经外科联合会(WFNS)教育与技术委员会前主席巴特朗菲教授,现任德国汉诺威国际神经外科研究院血管神经外科主任。专业领域涵盖大脑半球病变、脑干病变、脑血管疾病、脑深部胶质瘤、颅颈交界区病变的肿瘤切除手术,以及神经吻合术和各种椎管内肿瘤治疗。

巴特朗菲教授曾接受来自欧洲、中东、北非、日本、中国、韩国、新西兰、南非和智利等40个国家的学术邀请,参与400余场国际学术会议并担任神经外科学术会议特邀发言人,为世界神经外科学发展作出重要贡献,特别是在颅底外科和显微外科治疗脑脊髓血管病变领域。
该案例展示了低龄儿童脑干复杂病变的诊疗全流程,为类似病例的治疗决策提供重要参考。通过精细的手术规划和娴熟的操作技术,即使高风险脑干病变也能获得良好治疗效果。
文献来源:
Helmut Bertalanffy, et al. Clinical impact of CCM mutation detection in familial cavernous angioma. Childs Nerv Syst. 2006 Nov;22(11):1461-4. DOI: 10.1007/s00381-006-0202-8
- 所属栏目:颅内海绵状血管瘤
- 如想转载“3岁娃突发偏瘫嗜睡,小小头颅内竟暗藏巨大桥脑海绵状血管瘤危机!”请务必注明来源和链接。
- 网址:https://www.incsg.com/huanzhegushi/xueguanliu/7393.html
- 更新时间:2026-01-06 09:59:57


