怀孕后确诊脑干出血,手术和生子,我应该先选哪个?
发布时间:2026-04-22 09:28:53 | 阅读:次| 关键词:怀孕后确诊脑干出血,手术和生子,我应该先选哪个?
- [案例]解析国际研究:脊索瘤治疗,手术与质子疗法,何为优选
- [案例]这个位置手术易瘫痪?18岁少年高位颈髓手术顺利完成
- [案例]36岁男性经历三次脑干出血:从无症状到生死边缘
- [案例]“感谢巴教授,真的救了我们,救了大家!”巴教授9月疑
- [案例]“颅内外疯狂生长”Meckel腔脑膜瘤复发,福教授如何“双
- [案例]脑干手术成功率多大?开颅手术后,她如愿生下两个健康
脑海绵状血管瘤长在脑干上,尤其对于正在备孕或已经怀孕的女性来说,是一个非常棘手的问题。脑干是大脑中最核心的区域,处理这件事对孕妇本人和医疗团队而言都绝非易事。一旦面临这种困境,医生和患者共同面对的一个核心难题是:优先处理血管瘤,还是先把孩子生下来?
相关研究提示,妊娠期间体内雌激素水平升高,可能增加急性海绵状血管畸形出血或新发血管畸形的风险。一旦发生出血,放疗对胎儿有潜在风险,不建议采用,具体选择手术还是保守治疗,需要根据病情来决定。以下三个真实案例或许能为类似处境的患者提供一些参考。
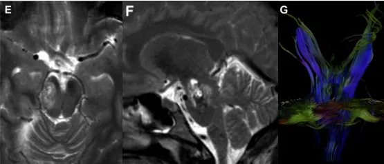
31岁孕妇,孕11周时因左侧偏瘫、吞咽困难、左侧面瘫、持续疲倦感和头痛到巴教授所在医院就诊。影像检查发现右侧脑桥中脑交界处存在病变,伴有急性出血,且周围皮质延髓束和皮质脊髓束纤维已发生移位。

起初这名孕妇选择保守观察,但仅仅过了7天,症状就明显加重。巴教授及团队经过审慎评估后,决定在孕期实施手术。为确保孕妇和胎儿的安全,术前对胎儿进行了超声检查,术中放置了腰椎引流管引流脑脊液,并在神经电生理监测和神经导航的全程护航下,实现了海绵状血管瘤的大体全切。术后复查胎儿超声,结果显示宝宝状况良好。
术后一周,孕妇恢复状态良好,术前神经功能症状逐步改善。怀孕至40周时,她顺利分娩,母子平安。产后两个月,她又接受了第二次手术,将之前为确保胎儿安全而有意残留的小病灶彻底切除,术后症状持续好转,一年后母子状况均良好。

与上述病情急重的案例不同,下面两名孕妇的症状要轻得多,这让她们有机会为自己和孩子争取更多时间,待生产后再处理病变。
其中一名34岁孕妇,左侧丘脑-中脑海绵状血管畸形已确诊将近十年,长期采取保守观察的方式,症状也一直很轻。但近一年内,她的头痛明显加剧,并出现了右手感觉异常和间歇性轻度右侧上肢无力。核磁共振检查显示海绵状血管瘤再次出血,而此时她已怀孕6周。
鉴于症状轻微且有所恢复,巴教授建议继续保守观察,并接受密切随访。幸运的是,整个妊娠期间她的症状都保持稳定。顺利分娩一周后,原先的肢体无力症状再次出现,随即接受了切除手术,病变被完全切除,术后数周她的状况明显改善。
另一名26岁的二胎孕妇,在妊娠晚期出现感觉异常和右臂灼痛感。核磁共振检查发现右侧脑桥存在病变。根据其临床表现,巴教授同样建议保守观察。顺利分娩三个月后,这名孕妇出现了复视,右侧上肢疼痛加重,核磁共振确认原先的脑干海绵状血管瘤内有新发出血。最终她接受了血管瘤切除手术,术前的所有症状完全消失。

回顾以往文献中记载的12例妊娠期脑干海绵状血管畸形病例,仅有2例选择在分娩前接受手术,其余均采取保守治疗至分娩后重新评估手术指征。巴教授指出,脑干海绵状血管畸形进行手术的核心指征在于病变出现有症状的再次出血。由于手术对孕妇和胎儿都存在风险,医疗团队必须尽一切可能避免造成伤害。

如果脑干海绵状血管瘤尚未引发明显症状,或孕妇的临床表现稳定、轻微、仅有缓慢进展的趋势,应优先选择保守观察加定期随访,待分娩后再进行手术评估。一旦出现任何可能危及生命的情况,或临床症状快速进展,则应立即进行手术。妊娠晚期出现显著症状的,手术可考虑延迟至分娩后进行,以保障母婴安全;但如果在孕早期就出现严重症状,则应尽快手术,因为距离预产期还很远,将手术推迟至产后风险过大。一旦在妊娠期确诊脑干海绵状血管瘤,强烈建议在具备专业经验的神经外科中心进行治疗。
- 所属栏目:颅内海绵状血管瘤
- 如想转载“怀孕后确诊脑干出血,手术和生子,我应该先选哪个?”请务必注明来源和链接。
- 网址:https://www.incsg.com/huanzhegushi/xueguanliu/8097.html
- 更新时间:2026-04-22 09:21:25


