“我再也不用担心出血了!”脑桥海绵状血管瘤患者术后2年最新随访:病灶全切,不必再担忧!
发布时间:2025-12-20 10:20:38 | 阅读:次| 关键词:“我再也不用担心出血了!”脑桥海绵状血管瘤患者术后2年最新随访:病灶全切,不必再担忧!
- [案例]30+创业精英突陷“耳鸣噩梦”,听神经瘤疑云背后竟是虚
- [案例]脑膜瘤如“章鱼”盘踞在脑中,视力模糊、嗅觉减退…不
- [案例]60多岁王先生脑干海绵状血管瘤术后2年随访情况
- [案例]当脑海绵状血管瘤引发严重癫痫,应该先解决哪个麻烦?
- [案例]女儿用蓬勃的生命力打败了巨大胶质瘤,我们为她骄傲!
- [案例]曾患脑干肿瘤,开颅手术后1个月回归校园,拿下“三好学
当看到巴教授回复邮件中"病灶全切"的明确结论时,佩珊终于为那些提心吊胆的日子画上了句号。
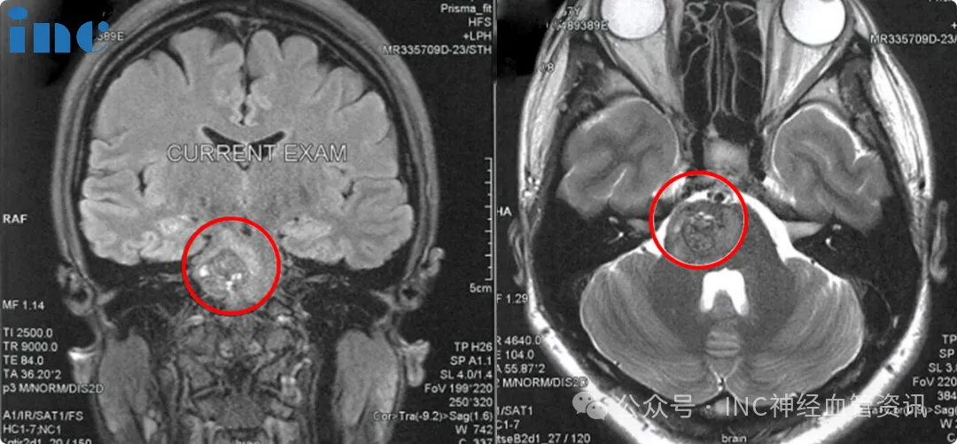
2023年7月,佩珊因左侧肢体无力就诊,确诊为脑干桥脑海绵状血管瘤出血。尽管症状在半个月后逐渐缓解,但"再出血"的阴影始终笼罩着她的生活,她变得小心翼翼,不敢大声说话、情绪激动,甚至不敢自己推门。

不愿终生生活在恐惧中的佩珊决定手术切除病灶,却被告知手术可能导致永久性面瘫和偏瘫。
突发症状与治疗决策
一切始于一个平常的夏日,佩珊突然出现左侧肢体无力,左脚症状尤为明显。香港当地医院的颅脑MRI检查明确诊断为脑干桥脑海绵状血管瘤出血。

经过约半个月的保守治疗,肢体无力症状基本缓解。虽然身体恢复,但心理压力持续存在。医生告知海绵状血管瘤如同脑干内的"不定时炸弹",再出血风险持续存在,且每次出血都可能造成更严重的神经功能损伤。
当佩珊寻求根治性手术时,多位医生评估后均因手术风险过高建议保守观察。"医生表示术后可能出现偏瘫和面瘫,作为37岁的患者,我难以接受这样的风险。"

脑出血的预警信号
佩珊初发的肢体无力症状是脑出血的典型表现之一。这种症状并非肌肉问题,而是出血灶压迫或破坏了大脑中控制运动的神经传导通路。
当脑干内的运动神经纤维受损,大脑发出的运动指令就无法顺利传导至对侧肢体,表现为无力或瘫痪。

除肢体无力外,脑出血还可能表现为:
言语不清或理解困难(语言中枢受累)
面部歪斜或麻木(特别是单侧口角下垂、流涎)
视物模糊、重影或视野缺损(视神经通路受影响)
剧烈头痛(常描述为"一生中最剧烈的头痛",可能伴喷射性呕吐)
眩晕、平衡障碍或行走不稳(小脑或脑干前庭系统受影响)
意识水平下降、嗜睡或昏迷(提示出血量大或影响网状激活系统)
出现任何上述突发症状都需立即就医。
寻求专业治疗
面对手术致残与不手术再出血的双重风险,佩珊和家人开始寻找脑干手术领域的专家。最终他们联系到INC巴特朗菲教授,这位在脑干手术领域拥有上千例成功经验的专家。
远程咨询中,巴教授明确表示:"可安全全切病灶,风险仅为5-6%的暂时性感觉运动缺陷,且术后1-3个月内可恢复。"这一评估给了佩珊信心。2023年9月,她在苏州接受了巴教授的手术。
手术顺利完成,病灶全切且未出现面瘫、偏瘫等并发症,无需放疗辅助。术后第三天佩珊即可自如行走,最新MRI复查证实病灶已完全切除。

手术风险与规避策略
桥脑作为脑干的重要组成部分,其精细结构导致手术易引发面瘫和偏瘫,主要风险源于两个关键结构:
面神经核及纤维:控制面部肌肉运动,损伤可致同侧面瘫
皮质脊髓束:控制对侧肢体运动,损伤可致偏瘫

巴教授的研究表明,与传统内侧入路相比,经脑桥后外侧入路可显著降低永久性神经损伤发生率(从21.7%降至1.9%-3.7%)。通过精准的术前规划、个体化手术方案和术中神经监测,可实现病灶全切与功能保护的双重目标。
佩珊的康复案例表明,对于脑干等复杂区域的病变,积极获取专业的诊疗意见可能带来更好的治疗效果。

专家简介

INC国际神经外科医生集团旗下世界神经外科顾问团(WANG)成员、世界神经外科联合会(WFNS)教育与技术委员会前主席巴特朗菲教授,现任德国汉诺威国际神经外科研究院血管神经外科主任,擅长脑干病变、脑血管疾病、颅底肿瘤等复杂手术。教授曾受邀至40个国家进行学术交流,为世界神经外科发展作出重要贡献。
- 所属栏目:颅内海绵状血管瘤
- 如想转载““我再也不用担心出血了!”脑桥海绵状血管瘤患者术后2年最新随访:病灶全切,不必再担忧!”请务必注明来源和链接。
- 网址:https://www.incsg.com/huanzhegushi/xueguanliu/7291.html
- 更新时间:2025-12-20 10:13:14


