“手术风险大,放疗和药物可以救我吗?”脑干海绵状血管瘤出血怎么办?
发布时间:2025-11-10 13:50:59 | 阅读:次| 关键词:“手术风险大,放疗和药物可以救我吗?”脑干海绵状血管瘤出血怎么办?
- [案例]颅咽管瘤手术未全切会如何?反复手术及放疗的尽头在哪
- [案例]中脑顶盖脑瘤、累及四脑室,全切后11年没有复发
- [案例]暴胖40斤、日尿5升!病理报告两度反转——35岁壮年遭遇颅
- [案例]INC巴教授“禁区”手术图解案例六 | 全切巨大桥脑海绵状
- [案例]脑干血管畸形案例:“脑干出血没有希望,动不了手术”
- [案例]复杂脑血管病变治疗案例:颈动脉狭窄合并PCA动脉瘤的分
"手术风险较高,放疗或药物能否作为替代治疗方案?"脑干海绵状血管瘤出血应采取何种处理策略?"是否存在药物可先行控制病情?""无法实施手术,能否采用放疗方案?"脑干海绵状血管瘤手术风险较高,是否可选择放疗或药物治疗方案?
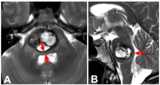
46岁女性患者突发左侧面部麻木症状。影像学检查显示大型出血性轴内桥脑海绵状血管瘤(图A和B)。脑桥背侧结构受压明显(红色箭头指示),提示病变与菱形窝表面间仅存薄层脑实质。

虽仅有麻木症状,但脑干手术风险较高,是否存在药物或放疗解决方案?对此巴教授持否定态度,这与脑干海绵状血管瘤特性相关,手术切除是唯一根治方案。医生手术技术无疑是手术成功关键因素,在脑干区域实施手术,不仅要求医生具备深入解剖知识、精准手术入路设计和理念、精细娴熟的手术操作技巧,还需具备顽强意志力和耐心,轻微失误可能导致严重后果。
脑干海绵状血管瘤类似颅内"不定时炸弹",患者无法预知出血时间,可能发生于运动过程中、夜间熬夜时段,患者长期处于焦虑状态,时刻担忧每次头痛乏力发作是否为脑出血征兆,担忧出血是否导致瘫痪需轮椅生活。脑干海绵状血管瘤确诊后,阴影长期笼罩整个家庭。
保守观察并非最佳选择,仅为等待过程,等待能够安全全切病灶的主刀医生出现。幸运的是患者最终找到合适医生,获得良好预后。希望更多患者能将未知转化为已知,掌握命运主动权。
该患者选择手术治疗,巴教授采用乙状窦后经小脑幕入路实施开颅手术。术中完整保留三叉神经(CN V)和耳蜗神经(CN VIII);该区域被选为脑桥入口点,两条神经均获完整保留。患者术后恢复平稳,未出现其他神经系统并发症。
脑桥中部横断面图像标示下方脑桥海绵状血管畸形(PCM)。该血管性病变未紧贴脑桥表面,但单侧推移周围内在结构,包括外展神经与面神经的神经核团及纤维束。解剖学研究显示,面神经核距第四脑室底平均约5.1毫米,外展神经核距菱形窝表面平均仅0.2毫米。绿色箭头指示抵达左侧病变的两种可能手术入路:后内侧入路或后外侧入路。p-laterally=后外侧;后内侧。

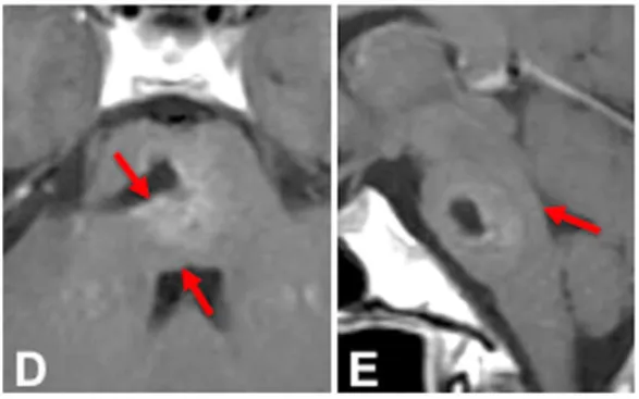
术后影像记录切除情况,病灶实现全切(图D和E)。减压后,切除腔背侧脑桥实质明显展开并恢复原有宽度(红色箭头)。

脑干海绵状血管瘤再出血预防策略
反复出血是导致脑干海绵状血管瘤患者伤残和死亡的重要原因。出血可能性较大,可引发灾难性神经功能缺损,因此完整切除病灶的全切手术(BSCM)是预防再出血的根本方法,也是患者获得治愈的根本途径。近年来,随着神经影像学技术进步,神经导航、神经电生理监测应用以及显微神经外科技术发展,全切手术效果显著提高。
经历长达7年疾病折磨,三次脑干出血,甚至送入ICU抢救,但"就诊多家医院,各大医院教授均表示手术风险过高,建议保守治疗,不知如何抉择"。多次被建议保守观察,病情持续延误。巴教授明确回复,对于海绵状血管瘤不存在任何药物或放疗可有效治疗。手术切除是唯一治疗海绵状血管瘤的方法。影像学显示出血风险持续存在,应尽早手术消除再出血风险。

最终患者及时选择手术并获得成功。类似案例中,50多岁黄女士10年间经历6次出血,3次生命垂危,曾在ICU治疗60余天。黄女士出现肢体麻木、头晕、耳鸣、视力下降、吞咽困难等症状。虽最终经巴教授成功手术,但多次出血导致的神经损伤已无法完全恢复,仅能缓解症状;此次手术及时挽救了患者生命。

黄女士通过亲身经历告知患者:若海绵状血管瘤患者在保守治疗过程中病情加重或病灶增大。若手术指征明确,不应拖延时间,尽早手术切除可获得更好预后。切勿延误治疗时机。黄女士强调,经过多年坎坷经历,更加理解生命重要性。"疾病无人喜欢,但患病后只能积极面对争取治疗。作为家属,更应支持关爱患者,创造一切条件,确保患者获得及时有效治疗。"
黄女士通过亲身经历告知患者:若海绵状血管瘤患者在保守治疗过程中病情加重或病灶增大。若手术指征明确,不应拖延时间,尽早手术切除可获得更好预后。切勿延误治疗时机。黄女士强调,经过多年坎坷经历,更加理解生命重要性。"疾病无人喜欢,但患病后只能积极面对争取治疗。作为家属,更应支持关爱患者,创造一切条件,确保患者获得及时有效治疗。"
- 所属栏目:颅内海绵状血管瘤
- 如想转载““手术风险大,放疗和药物可以救我吗?”脑干海绵状血管瘤出血怎么办?”请务必注明来源和链接。
- 网址:https://www.incsg.com/huanzhegushi/xueguanliu/7008.html
- 更新时间:2025-11-10 13:45:03


