战胜脑干海绵状血管瘤,学霸少女交出了“满分”答卷,3年后考入名校!
发布时间:2025-11-09 08:36:17 | 阅读:次| 关键词:战胜脑干海绵状血管瘤,学霸少女交出了“满分”答卷,3年后考入名校!
- [案例](脑胶质瘤系列)INC德国巴教授与中国患者的故事
- [案例]当母亲看到开颅术后的儿子:切完脑瘤后居然跟没事儿人
- [案例]脑干胶质瘤|10年前,医生都说手术没有意义 VS 10年后,她
- [案例]手术全切、3年未复发,1岁幼儿如何斗过脑干胶质瘤“恶魔
- [案例]与颈静脉孔区脑膜瘤“共生”?不!我要肿瘤滚出我的生
- [案例]对抗婴儿痉挛引发的癫痫治疗案例
患者小枝长期保持优异学业表现,性格善良可爱,成绩突出,行事果敢,日常佩戴黑色眼镜,喜好庭院花草种植。然而突发疾病几乎中断其既定人生轨迹。父母目睹女儿陷入情绪低谷,但这位公认的学霸少女凭借内在坚韧与勇气,成功扭转困境,交出完美康复答卷。
脑干出血危急病情,学霸少女紧急救治过程
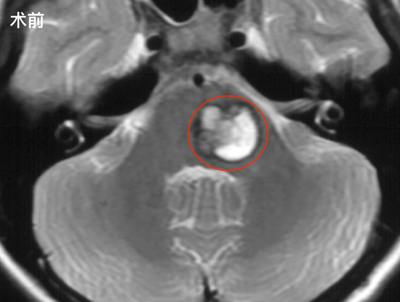
病情初期,小枝仅表现为视物重影,自认为学习压力所致,使用眼药水后未见改善。随后出现黑板字迹模糊、四肢无力、易跌倒等症状。意识到情况异常后,她立即告知父母,就医检查确诊脑干占位性病变,考虑脑干海绵状血管瘤。
尚未完全接受诊断结果时,小枝病情急剧恶化。症状加重后经救护车转送医院,此时因脑干大量出血已达病危状态,且随时可能再次恶化。当地医院医生均不敢承接手术,建议在ICU住院观察。

手术治疗转机
父母每日焦虑等待,女儿颅内占位如同"定时炸弹"般存在。然而病床上的小枝展现出惊人意志力,顽强与疾病抗争,为父母和自己争取到宝贵时间。
经多方恳求,医生推荐德国巴特朗菲教授。怀抱最后希望,小枝转诊至德国巴教授所在医院。经详细评估,巴教授确认可实施安全切除手术。
肿瘤全切与快速康复
手术由巴教授主刀,采取乙状窦后入路开颅方式,在显微镜下成功全切肿瘤,术中全程实施电生理监测。手术过程顺利,经直尺测量脑干病变切除切口仅3cm,脑干表面切口仅0.5cm,证明巴教授在极小操作空间内实现肿瘤全切的高超技术。

术后首日,小枝在ICU接受继续治疗观察,予以脱水、抗炎等处理。术后次日CT复查显示正常,未发现脑水肿及新发出血,患者可自主呼吸,无吞咽困难,成功转入普通病房。术前存在的视物重影、肢体无力、步态不稳等症状均获改善,可在康复师协助下床活动。清醒后的小枝积极配合康复训练。
术后第10天,小枝症状较术前明显好转,可完全自主站立行走,最终顺利出院。回顾整个治疗历程,这位学霸少女始终未被疾病击倒,交出了令人满意的康复答卷。

长期随访结果
更令人振奋的是,术后3年随访显示,小枝不仅完全恢复正常生活,更以优异成绩通过德国高考Abitur,成功获得优秀大学录取通知书。
案例来源:巴教授年会分享
- 所属栏目:颅内海绵状血管瘤
- 如想转载“战胜脑干海绵状血管瘤,学霸少女交出了“满分”答卷,3年后考入名校!”请务必注明来源和链接。
- 网址:https://www.incsg.com/huanzhegushi/xueguanliu/7003.html
- 更新时间:2025-11-09 08:29:01
- 上一篇:女性脑干海绵状血管瘤患者,怀孕前该先手术吗?
- 下一篇:没有了


