45岁,瘫痪昏迷;16岁,面临面瘫…他们如何在脑干“禁区”找回新生?
发布时间:2026-03-24 19:56:50 | 阅读:次| 关键词:45岁,瘫痪昏迷;16岁,面临面瘫…他们如何在脑干“禁区”找回新生?
- [案例]儿童反复头痛、还可能智力下降!脑血管病-烟雾病的“无
- [案例]9岁女孩身高突然停滞,补钙锻炼全无效,真凶竟藏在脑子
- [案例]开颅后切口竟长不出头发?INC福教授“无疤”全切巨大脑
- [案例]中外专家超强组合“拆弹”,脑干肿瘤“瑟瑟发抖”
- [案例]耳鸣严重听瘤还是胆脂瘤?要切断听神经?INC巴教授为何
- [案例]2次经鼻内镜无法全切,开颅又伤重要血管,这个良性脑瘤
脑干脑桥出血是神经外科最凶险的急重症之一。当血液涌入这个主管呼吸、心跳与意识的生命核心区域,患者在48小时内面临死亡威胁并非危言耸听。而在幸存者中,瘫痪、面瘫、吞咽障碍等严重后遗症往往如影随形,对患者的生存质量构成长期的毁灭性打击。
脑干脑桥海绵状血管瘤是导致这类出血事件的常见病因之一。这类病变具有反复出血的特性,每一次发作都可能在脑干留下不可逆的损伤痕迹,多次出血累积后果极为严峻。若能在病情允许时通过手术彻底切除病灶,患者往往能够获得真正意义上的治愈。然而,在如此高风险的区域实施手术,技术难度与操作风险同样不容小觑。
脑桥损伤究竟有多危险
脑桥位于脑干的中部,是连接大脑与脊髓之间的核心"中转枢纽"。无论是大脑发出的运动指令向下传导,还是全身感觉信号向上汇集,都必须经由这条通路完成信息传递。正因如此,脑桥的任何损伤都会对运动与感觉功能产生直接且深远的影响。
当脑桥内的海绵状血管瘤发生反复出血时,后果尤为严重。这类血管畸形虽非恶性肿瘤,却如同埋在生命核心的"定时炸弹",每一次出血事件都在悄无声息地侵蚀着正常的神经组织,造成累积性损伤。

对于这类病变,若放任不治,患者将持续暴露在反复出血与症状不断加重的风险之下;而手术本身的危险同样不可低估——在颅神经核团与传导束密集分布的脑桥区域进行外科操作,术者稍有偏差,就可能引发面瘫、斜视或肢体瘫痪,乃至更严重的神经损害。
从"不可触碰"到"精准切除":巴教授135例手术经验
国际知名神经外科学术期刊JNS刊载了巴特朗菲教授针对脑干脑桥海绵状血管瘤手术的135例系列研究成果。
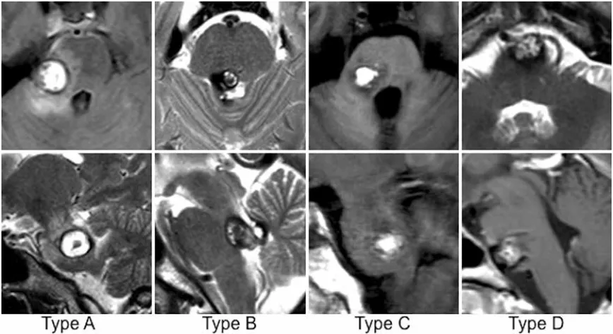
在这项研究中,巴教授团队将脑桥海绵状血管瘤系统划分为四个类型,并依据病变位置与解剖特征,为每种类型制定了针对性的手术入路选择策略。研究的重点比较集中在两种常用入路之间——脑桥后外侧入路与脑桥后内侧入路。

数据结果揭示了两种入路之间显著的差异。在77名同时符合两种入路条件的患者中,选择后外侧入路的54例患者,术后永久性外展神经麻痹发生率仅3.7%,面神经麻痹发生率仅1.9%;而选择后内侧入路的23例患者,上述两项并发症的发生率均为21.7%。两组间的差距之大,充分说明了手术入路选择对神经功能保护的决定性影响。
纵观135名患者的整体结果,术后永久性外展神经和面神经功能缺损的发生率分别被控制在5.9%和5.2%的较低水平。患者改良Rankin量表评分从术前的1.6分改善至随访时的1.0分,表明绝大多数患者在病灶获得完整切除的同时,神经功能也得到了切实保护。
巴教授这一系列研究的价值不仅在于将手术致残率压缩至极低水平,更在于构建了一套系统的病变分型与个体化入路选择体系,让这项曾被视为"禁区手术"的操作,真正走向了精准可控。
病例一:45岁女性——从瘫痪昏迷到重返生活
45岁的女性患者因脑桥大量急性出血被紧急送入医院。到院时,她已出现意识障碍,四肢完全瘫痪,无法自主翻身。临床症状表现为左侧偏瘫与偏侧感觉减退,右侧面瘫、第六神经麻痹,同时伴有严重的吞咽困难——这些症状组合在一起,清晰地指向了极为危重的病情状态。
影像学检查所见印证了这一判断:患者脑桥中央区域存在一个巨大的海绵状血管瘤,病变已向下压迫至第四脑室底部,周围的神经结构受到极度推挤,变得菲薄。在这种情况下,保守治疗几乎等同于被动等待病情进一步恶化,手术是当时唯一能够逆转局势的选择。

手术在公园长椅位体位下实施,巴教授选择左侧远外侧经髁入路,精确绕开了关键神经核团,经由桥髓沟进入脑桥,将病变完整切除。术中观察到面神经在离开脑干水平处存在轻微出血点,在手术过程中被仔细识别并予以保护。
术后患者恢复过程平稳,无任何新发并发症出现。一年后的随访结果显示,这位曾一度命悬一线的患者已完全康复,日常生活自理,仅残留右侧面部轻微面瘫。从完全卧床到重新自立生活,这是精湛手术技术所创造的结果。
病例二:16岁男性——精准避开面神经,与面瘫擦肩而过
16岁的男性患者因左侧感觉运动综合征和核间性眼肌麻痹就诊。脑干内的海绵状血管瘤体积已相当可观,且病变位置与面神经紧密毗邻。所幸在就诊时,患者尚未发生面瘫,为手术保留了一个关键的功能保护窗口。

影像学评估显示,这是一例典型的B型脑桥海绵状血管瘤,病变向第四脑室底部突出生长。巴教授采用背中线入路,在半坐位下实施枕下开颅手术。整个术中过程中,神经电生理监测持续应用——外科医生借助刺激探针对双侧面神经的走行范围进行实时精准定位,确保手术操作路径自始至终与这些关键结构保持安全距离。
手术最终实现了病灶的完整切除,术后影像学检查可见毫米级的清晰残腔,面神经功能完整保留,未受任何损伤。这位年轻患者术后恢复迅速,顺利回归正常的学习和生活。
在生命禁区,精准是唯一的答案
脑干脑桥海绵状血管瘤的手术,是一场在生命核心区域进行的、任何环节都不允许失误的高精度操作。它对术者的要求不仅体现在技术层面,更在于对脑干三维解剖结构的深度理解、对多种手术入路的熟练掌控,以及对术中神经导航、电生理监测等辅助技术的综合运用能力。

巴特朗菲教授135例手术的经验表明,只要基于精确的术前病变分型,选择最有利于保护该患者神经功能的个体化入路方案,手术完全可以成为安全且有效的根治手段。后外侧入路在神经功能保护方面的优势,在这批数据中得到了有力印证。
对于患者和家属而言,面对这类病变,最关键的决策在于选择一个具备丰富脑干手术经验、配备先进术中监测设备、具有多学科协作能力的神经外科治疗中心。正是这样的综合实力,才能在这场与风险的较量中,为患者争取到最优的生存预后和最大程度的功能保留。
- 所属栏目:颅内海绵状血管瘤
- 如想转载“45岁,瘫痪昏迷;16岁,面临面瘫…他们如何在脑干“禁区”找回新生?”请务必注明来源和链接。
- 网址:https://www.incsg.com/huanzhegushi/xueguanliu/7865.html
- 更新时间:2026-03-24 19:49:51


