2次经鼻内镜无法全切,开颅又伤重要血管,这个良性脑瘤为何让她屡陷险境?
发布时间:2026-01-07 11:46:34 | 阅读:次| 关键词:2次经鼻内镜无法全切,开颅又伤重要血管,这个良性脑瘤为何让她屡陷险境?
- [案例]「千里转运」脑干海绵状血管瘤女孩的生命奇迹列车已进
- [案例]18岁女孩多发海绵状血管瘤赴德寻求巴教授术后1年随访
- [案例]巨大丘脑肿瘤不能手术?女儿的治疗之路,我们只有向前
- [案例]脑干胶质瘤扩散丘脑,国际神外专家联合术中核磁破解手
- [案例]脑瘤治疗新突破:无需开颅,这些脑肿瘤可经眉弓切除!
- [案例]症状好转却等来脑干再出血恶化?在这场求生之战中,他
神经外科手术常被形容为"刀尖上的舞蹈",其高技术难度要求医生具备扎实的解剖学知识、精湛的操作技术和严谨的临床判断。面对颅底及鞍区复杂病变,术者的综合能力往往成为决定手术成败的关键因素。

虽然现代手术设备持续更新,例如术中超声吸引器(CUSA)能够实现肿瘤组织精细化切除、减少术中出血、缩短手术时间,甚至可安全切除既往认为不可触及的肿瘤,但设备终究是辅助工具。"无论小提琴品质多优异,关键仍取决于演奏者的技艺。"只有经验丰富、技术娴熟的医生,才能使先进设备真正成为救治生命的有效工具。
垂体瘤手术的复杂性分析
虽然大多数垂体瘤属于良性病变,通过手术切除通常可获得良好疗效,且随着内镜技术进步,经鼻微创手术因其无需开颅、创伤小、恢复快等优势,已成为主流治疗方式。然而,"微创"并不等同于"无风险",更不意味着手术操作简单。
例如看似便捷的经鼻内镜手术,可能因术中操作或解剖变异,导致脑脊液漏等并发症。此类问题并不罕见,除脑脊液漏外,经鼻内镜手术的局限性还包括:对正常脑组织切除范围增加;颈内动脉及脑神经损伤风险提高;术后脑脊液漏发生概率增加;手术入路相关并发症增多以及可能伴随切除率下降。

这些局限性使得内镜颅底手术并发症发生率逐渐上升,常见并发症包括鼻部分泌物过多、幻嗅或嗅觉减退、鼻窦感染、腭咽功能障碍以及鼻腔感染等,严重影响患者生活质量。因此,看似简单的手术要想获得良好预后,对术者技术要求极高。
临床案例分享
下文将分享一例发表于《Neurosurgical Focus》的警示性案例,作为"手术并发症警示录"系列内容,邀请9位神经外科医师分享各自遇到的复杂病例,以期提供临床借鉴。该案例来自其他医疗机构,涉及巨大垂体腺瘤患者首次经鼻内镜手术未全切,二次开颅手术中意外损伤颈内动脉,最终肿瘤仍未完全切除。为何连续出现这些情况?又该如何预防?

病例详情
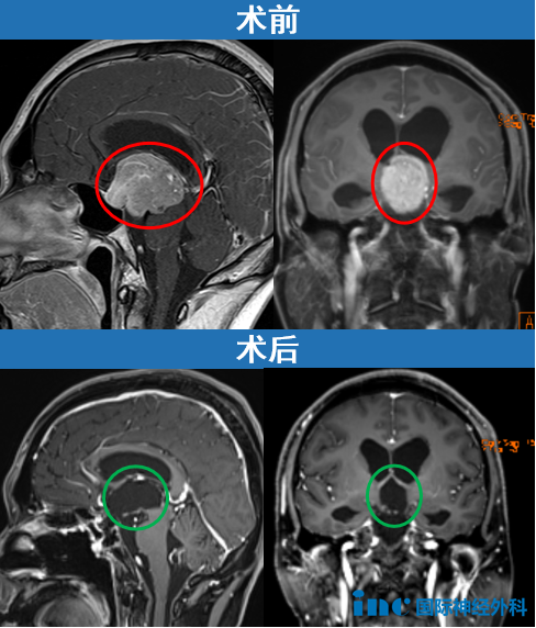
患者为55岁女性,因视力障碍(双颞侧偏盲)就诊,MRI检查提示无功能型垂体大腺瘤。初次MRI显示鞍区2.3×2.5×3.4厘米明显强化占位,向鞍上延伸并推移视交叉。患者接受经蝶窦入路垂体腺瘤次全切除,首次术后残留显著肿瘤。随访影像显示垂体大腺瘤体积无明显变化且仍压迫视路结构,在耳鼻喉科协助下尝试再次行内镜下经鼻蝶窦入路肿瘤切除,但因瘢痕组织及肿瘤质地坚韧,仍有病变残留。鉴于视交叉持续受压、视觉症状持续存在且无进一步干预难以缓解,考虑再次手术切除。
鉴于既往经鼻入路切除困难,选择开颅手术以更充分暴露并切除肿瘤。术中在使用CUSA进行肿瘤内部减容时,突然出现活动性动脉出血。因肿瘤质地高度纤维化,需要将超声吸引器能量参数调高,这进一步加重了并发症发生。术者迅速判断出血来源为对侧颈内动脉内侧壁在操作中意外损伤。
面对危急情况,手术团队立即用吸引器轻柔压迫出血点控制出血、改善视野,并进一步分离暴露损伤段颈内动脉。在临时阻断血流后,术者尝试血管修复。由于操作空间极度狭窄,无法直接缝合或使用常规血管夹,最终采用补救措施:将超薄专用血管补片修剪成条,环绕损伤动脉段作为"悬吊带",用特制动脉瘤夹固定,成功止血。
术后血管造影显示损伤动脉段轻度狭窄,但血流通畅,未发生脑缺血。术后MRI显示鞍上肿瘤完全切除,鞍内少量残留。最终病理证实为无功能型垂体腺瘤。患者术后初期视力下降,出院时略有改善,无其他局灶性神经功能缺损。
并发症原因分析
直接原因
该病例显示,使用超声吸引器时操作超出肿瘤包膜,导致对侧颈内动脉(ICA)损伤。因肿瘤质地高度纤维化,需要调高超声吸引器能量参数,这进一步加重了并发症发生。虽然肿瘤未包裹颈内动脉,但在肿瘤包裹血管的情况下也可能发生类似并发症。
必须考虑预防此类损伤的可能性。神经导航常能在处理关键结构时为神经外科医师提供引导,尽管该案例已使用神经导航,但硬脑膜开放前存在已知测量误差,脑脊液流出后误差可能更大。案例中对侧床突上段颈内动脉紧贴腺瘤鞍上部分,肿瘤位于其上下方。向对侧颈内动脉方向行瘤内减容时视野相对受限,因此即使神经导航有助于了解其邻近关系,在该方向切除肿瘤时仍需高度谨慎。其他技术改进包括早期清除同侧或近场肿瘤后再行中央区减容,此举可能提供更佳术野从而避免损伤,并在损伤后为修复提供更大操作空间。
肿瘤切除过程中血管损伤在各种手术入路中均有报道,是已知风险,尤其对邻近海绵段颈内动脉走行的鞍区病变。
关键要点
该案例突出两个关键点:
出血控制及出血源确定方法;
损伤修复技术及可用修复方案。
清晰显露出血源是处理肿瘤切除中血管损伤的首要步骤。术者先采用吸引器杆侧向压迫对动脉进行轻柔压迫,而非直接吸引动脉。此操作使神经外科医师能够控制出血。辅助措施包括静脉注射腺苷以改善术野显示,便于在需要时放置近远端临时阻断夹。为修复血管,需进一步分离颈内动脉并切除肿瘤,直至实现颈动脉360度显露,为放置临时阻断夹及后续修复提供操作空间。
肿瘤切除中发生血管损伤时,存在多种修复方案。首先,神经外科医师可采用显微缝合进行直接手术修复,但损伤特征、位置及可用操作空间可能限制此方案实施。该案例因操作空间及颈内动脉显露范围过窄,无法置入必要器械进行显微缝合,故无法实施直接手术修复。其次,可考虑使用动脉瘤环绕夹,但该夹体积相对较大,在狭窄手术通道或血管周向显露不足时使用受限。因此该案例亦无法实施此方案。
本病例采用第三种方案:使用超薄颈动脉补片制作悬吊带,以90度永久动脉瘤夹固定。此技术要求悬吊材料具备薄而柔韧、坚固且不可渗透的特性。需准确评估并修剪悬吊带尺寸与长度,使其完全覆盖动脉切口,并提供足够长度以牢固固定并稳妥放置动脉瘤夹。需注意将悬吊带绕过颈内动脉另一侧并包裹血管时,应避免过度缩窄颈内动脉导致显著狭窄。
需特别指出,若血管损伤范围更大导致出血无法控制且难以修复,术者需做好最坏情况准备,包括可能的手术或血管内牺牲血管方案。预防此类损伤始终是首要目标,但若发生血管损伤,神经外科医师必须迅速识别,并储备完备的血管修复技术以实施及时有效的修复。
复发与治疗目标
除上述问题外,垂体腺瘤复发也是临床难题,因此垂体瘤手术目标应追求肿瘤最大程度切除,同时最大程度保留功能。
鼻内镜手术对神经外科医生要求极高,在保留内镜微创优势下全切病变,且不造成额外损伤,才能称为真正微创手术。
专家技术分享
INC福洛里希教授认为经鼻内镜手术应充分利用鼻腔天然优势,在鼻腔内创造开放空间。最终目标是回归内镜真正意义,即通过导航进入正常腔体而不干扰它,将外科医生视野直接引导至病变部位。

他将"为患者而战"理念贯穿每个治疗细节,为不同患者制定个体化方案,特别擅长通过神经内镜和显微镜"双镜联合"手术治疗颅底疑难肿瘤。
凭借创造力和多年实践经验,福洛里希教授独创神经内镜"筷子手法",选择不同角度手术器械,充分利用自然空腔并保留解剖结构——降低手术并发症和后遗症、提高切除率的同时降低复发风险。
成功案例分享
2025年6月,35岁江先生发现鞍区及鞍上巨大垂体瘤引发阻塞性脑积水。巨大肿瘤压迫脑干、第三脑室及导水管。"手术风险极大,难度过高,建议前往其他医院就诊……"
不放弃之下迎来转机。无需开颅,INC福教授在北京天坛医院通过经鼻内镜手术成功切除巨大垂体瘤。
2个月后,患者逐渐恢复正常生活。"目前状况良好,一切正常,非常感谢福教授!"随访视频显示,江先生一家生活幸福,面容洋溢幸福笑容。
点击阅读:当“良性”的脑膜瘤遇上“恶性”的结果,一台高难度开颅手术如何全身而退?
- 所属栏目:垂体瘤
- 如想转载“2次经鼻内镜无法全切,开颅又伤重要血管,这个良性脑瘤为何让她屡陷险境?”请务必注明来源和链接。
- 网址:https://www.incsg.com/huanzhegushi/chuitiliu/7411.html
- 更新时间:2026-01-07 11:40:30
- 上一篇:“你的垂体瘤又复发了。” 医生顿了顿,“这一次情况更棘手,需要开颅。”
- 下一篇:没有了


