从ICU到高分考入德国名校,3年后她的命运被重新书写
发布时间:2026-03-24 19:27:32 | 阅读:次| 关键词:从ICU到高分考入德国名校,3年后她的命运被重新书写
- [案例]不到2%!这种脑动脉瘤还能治疗吗?血管搭桥术的展现治愈
- [案例]INC国际大咖施罗德教授:无脑积水的松果体囊肿应该手术
- [案例]小小垂体瘤或藏致命危机,具备这4个特点即为难治性垂体
- [案例]6岁脊髓-脑干胶质瘤女孩“劫后重生”:一家人的“开心果
- [案例]5岁视神经胶质瘤如何重获光明
- [案例]视物重影、肢体无力,学霸不幸患脑干肿瘤伴脑干出血,
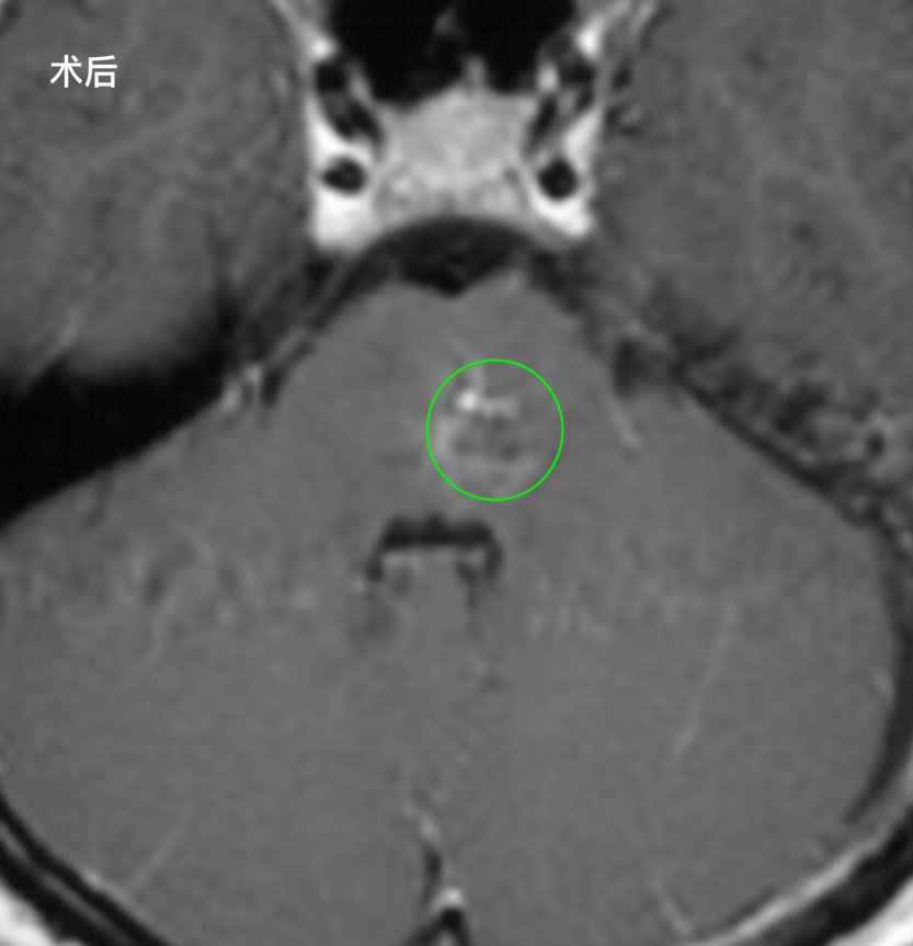
在神经外科的众多挑战中,脑干一直是公认的"生死禁区"。这片仅有成人拇指大小的区域,密集排布着主管心跳、呼吸和四肢运动的神经核团,任何细微的损伤都可能引发瘫痪、失明乃至呼吸衰竭。当"脑干海绵状血管瘤"的诊断结果摆在一个家庭面前,随之而来的,往往是难以言说的恐惧与茫然。然而,走出绝境并没有想象中那般遥不可及——从脑干出血被送进ICU,到三年后以优异成绩叩响德国名校的大门,跨越这道生死鸿沟,有时候需要的,不过是多一分直面未知的勇气。
从突如其来的噩耗说起
宋同学是一个让身边所有人都感到骄傲的女孩。她成绩出色、多才多艺,家里人对她寄予厚望,她自己也从未让人失望过。然而,命运的转折来得毫无预兆。最初只是偶尔出现的视物重影和写字时手感模糊,宋同学以为不过是学习疲劳所致,便没有放在心上。直到肢体无力和行走不稳的症状接连出现,家人才猛然意识到,事情没有那么简单。

当地医院的核磁共振检查结果犹如一道晴天霹雳:脑干海绵状血管瘤,伴急性出血,病变正位于控制生命体征的核心区域。更让家人揪心的是,由于手术风险极高,当地医院仅建议入住ICU进行保守观察,而没有给出进一步手术的方案。
就这样,宋同学一家被悬置在"等待"与"冒险"的两难困境之中,每一天都在煎熬里度过。转机出现在当地医生的一次推荐——他们得知了INC国际神经外科顾问集团旗下脑干手术领域的权威专家、德国汉诺威国际神经科学研究所的巴特朗菲教授。在联系并提交相关影像资料后,教授团队给出了令全家人振奋的评估意见:病变具备手术指征,目标是在神经电生理监测全程支持下完整切除肿瘤。
手术经过与术后恢复
手术按计划实施。巴特朗菲教授选择乙状窦后入路,在高倍手术显微镜的辅助下,借助全程电生理监测技术精准定位脑干内部的神经核团,在明确病变与颅神经及脑干核团的毗邻关系后,历时约两个半小时,将病变组织完整切除,实现了手术目标。

术后恢复进程顺利超出预期。手术当天宋同学在ICU平稳度过;次日复查CT未见新发出血,成功转入普通病房;第三天,困扰她已久的视物重影和肢体无力症状便已明显减轻;到第十天,她已经能够自主站立行走,并顺利办理出院手续。

而更令人感慨的奇迹,发生在此后的三年里。曾经在生死边缘徘徊的这位少女,神经系统功能完全恢复如初,并以优异的成绩通过了德国高考,收到了心仪大学的录取通知书。那段与死神擦肩而过的经历,最终化作她继续前行的力量,让她的人生在劫后的阳光里重新铺展开来。
为何脑干手术让大多数家庭望而却步
理解宋同学家人当初的恐惧,首先要了解脑干的特殊性。脑干虽然体积微小,却集中承担着维系生命体征的关键职能,心跳、呼吸、意识,乃至四肢的运动协调,都与这里密切相关。海绵状血管瘤并不是真正意义上的肿瘤,而是一种由异常扩张的血管团构成的血管畸形,其出血时间难以预测,且极易反复发作。每一次出血事件,都可能在脑干这片"寸土寸金"的区域留下新的破坏——复视、面瘫、偏瘫、吞咽障碍,乃至危及生命的呼吸衰竭,这些都是真实存在的风险。正因为如此,当病变位于脑干时,手术入路的选择和操作精度要求极为苛刻,医生稍有差池便可能造成不可挽回的神经损伤,很多医疗机构出于谨慎考量,会优先建议保守观察。
手术能否实现根治
相较于保守治疗只能维持现状、无法消除病灶的局限,以及放射治疗对血管畸形效果有限且存在辐射累积风险的不足,显微外科手术是目前可能实现脑干海绵状血管瘤根治的有效手段。对于能够全切病变的患者而言,手术意味着彻底摆脱日后反复出血的终身威胁,获得真正意义上的临床治愈。
但这一前提的成立,高度依赖主刀医生的经验积累与技术水平,同时离不开一整套先进辅助设备的配合支持:术中神经电生理监测、高精度术中导航系统、神经内镜以及高倍手术显微镜,这些构成了保障脑干手术安全的基本条件。
如何客观评估手术的风险与获益
对于患者家属来说,如何在手术风险与预期获益之间做出理性权衡,是最难的一关。大量循证医学研究数据表明,在具备丰富脑干手术经验的专家团队主导下,脑干海绵状血管瘤的全切率可超过90%,而手术相关的永久性致残风险,远低于病变反复出血所带来的自然累积风险。巴特朗菲教授团队多年来发表的临床数据同样印证了这一点:手术患者不仅实现了病变的根治性切除,术后的生活质量也得到了切实保障。宋同学的经历便是最有力的佐证——术后三年,她没有遗留任何神经功能缺损,反而以一个全新的面貌重新回归了充实的学习与生活。
- 所属栏目:颅内海绵状血管瘤
- 如想转载“从ICU到高分考入德国名校,3年后她的命运被重新书写”请务必注明来源和链接。
- 网址:https://www.incsg.com/huanzhegushi/xueguanliu/7862.html
- 更新时间:2026-03-24 19:21:35


