儿子脑干出血命悬一线,父亲两次辗转千里求医,终于等来一句“一切顺利!”
发布时间:2026-02-06 08:58:26 | 阅读:次| 关键词:儿子脑干出血命悬一线,父亲两次辗转千里求医,终于等来一句“一切顺利!”
- [案例]儿童脑动脉瘤术后复发案例解析:INC川岛教授手术治疗技
- [案例]INC德国巴特朗菲教授揭秘:脑干海绵状血管瘤出血风险与
- [案例]易复发的脑瘤是否意味着手术失去意义?”一位从癌症研
- [案例]【脑膜瘤患者治疗】德国较大枕骨大孔区脑膜瘤患者手术
- [案例]3岁男孩双侧视神经和下丘脑胶质瘤成功案例
- [案例]频繁头痛、视力下降,元凶竟是松果体区肿瘤
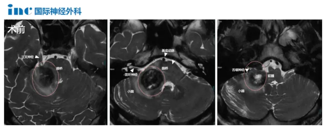
患者荣荣初期表现为间歇性头晕症状,随后出现右侧耳鸣、右侧面部麻木及舌部感觉异常等神经系统症状。当地医院影像学检查发现脑干及右侧桥臂区域存在异常信号,高度怀疑海绵状血管瘤可能。进一步检查发现小脑内复杂静脉畸形,伴较大引流静脉穿过脑桥中线区域。
海绵状血管瘤属于先天性血管畸形疾病,血管破裂出血可引发相应临床症状。脑干作为调节呼吸、心跳及意识的关键生命中枢,血肿压迫可能导致严重神经功能缺损。初步医疗建议采取观察随访方案。
病情进展与急诊处理
首次就诊10天后,患者病情急性加重,头晕症状加剧,出现行走不稳、视物重影等新发症状。患者意识状态下降至半昏迷程度,需紧急转诊至上级医疗中心。长达700公里的救护车转运过程中,患者生命体征维持稳定。

抵达北京后,患者经多家医院评估均认为手术风险过高。此时患者右耳听力几乎完全丧失,病情危重。医疗团队观察到术后并发症可能包括左侧平衡功能显著下降,对患者运动功能造成影响。
手术决策与治疗过程
最终患者转诊至INC教授团德国巴特朗菲教授团队接受治疗。巴特朗菲教授在脑干肿瘤手术领域具有丰富经验,其远程评估结果给予医疗团队充分信心。患者从北京转运至苏州完成第二次转院,准备接受手术治疗。
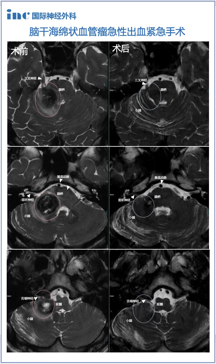
脑干手术风险极高,该区域解剖结构复杂,掌管重要生理功能。海绵状血管瘤切除手术需在保留神经传导束完整性的前提下完整切除病灶,防止再出血。患者血管瘤体积较大,合并复杂静脉畸形,引流静脉穿过脑桥中线更增加手术难度。

手术顺利完成,术后患者转入ICU监护,未出现新的神经功能损伤。术后第三天患者即可下床活动,头晕症状显著缓解。术前存在的严重眩晕在术后第二天基本消失,患者临床症状得到明显改善。

术后随访与康复效果
术后三个月影像学复查显示,右侧脑桥及小脑臂内海绵状血管瘤完全切除。患者神经功能恢复超出预期,生活质量显著提高。现代神经外科技术包括术中神经导航和神经电生理监测的应用,显著提升了脑干病变手术的安全性和精准度。

临床启示与治疗展望
脑干海绵状血管瘤虽病情凶险,但并非不可治疗。该病例证明,通过精准的手术治疗和规范的术后管理,患者可获得良好预后。医疗团队需要具备丰富的经验和精湛的技术,同时患者及家属的配合与信心也至关重要。

- 所属栏目:颅内海绵状血管瘤
- 如想转载“儿子脑干出血命悬一线,父亲两次辗转千里求医,终于等来一句“一切顺利!””请务必注明来源和链接。
- 网址:https://www.incsg.com/huanzhegushi/xueguanliu/7586.html
- 更新时间:2026-02-06 08:53:26


