加班后身体一侧突然发麻,当查出可怕的脑干“肿瘤”,我花了4年才走上手术台
发布时间:2026-02-06 09:14:02 | 阅读:次| 关键词:加班后身体一侧突然发麻,当查出可怕的脑干“肿瘤”,我花了4年才走上手术台
- [案例]刚入院就晕倒!医生紧急在他头上开了2cm小孔,完整取出
- [案例]脑垂体瘤会导致老年人精神萎靡吗?
- [案例]4岁幼童摔倒牵出脑瘤危机!14kg低体重挑战丘脑肿瘤开颅手
- [案例]【脑瘤出国看病】脊索瘤女孩出国治疗全程记录
- [案例]头痛似乎没必要去医院,可是我还出现了其他症状
- [案例]“深水炸弹”——海绵窦区脑膜瘤,福教授前颞窝入路如
“人生的道路虽然漫长,但紧要处常常只有几步。没有一个人的生活道路是笔直的,没有岔道的。走错一步,就可以影响人生的一个时期,也可以影响一生。”——作家柳青
2021年,在经过四年的保守治疗与症状反复后,患者最终接受开颅手术治疗脑干-延髓海绵状血管瘤。这一关键治疗决策耗时四年才得以实施。在此期间,医生的保守建议与持续进展的病情形成拉锯,反复出血导致症状加剧。“当手术真正来临时,我突然意识到这个决定做得有些晚了,如果手术后状态差一些我也能接受。”患者坦言。
目前,患者早已恢复正常工作与生活,回顾这段经历时感慨良多。曾经视为巨大困难的挑战,事后看来成为人生道路上必须跨越的山丘——翻越之后便是更开阔的风景。
身体突发麻木症状的发现与诊断
患者现年30余岁,从事时尚买手职业,工作强度较大。四年来的手术效果确实显著,但仍需避免过度疲劳。
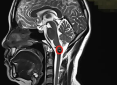
疾病最初在2017年首次出血时发现。当时患者加班较多,某个下午突然出现身体一侧麻木症状。这种麻木感不同于姿势压迫所致,涉及头部、面部、手臂及手指,伴随无力、进食困难及耳闷感。次日进行脑部MRI检查,发现脑干存在畸形血管团,确诊为延髓海绵状血管瘤。

四年保守观察期间病情的隐匿性进展
初期多数医生建议保守治疗,主要原因是手术风险较高,可能危及生命,包括术中呼吸心跳停止、偏瘫或面瘫等严重并发症。鉴于患者当时状况尚可,未立即手术。
随后四年间,患者多次就诊复查。尽管维持正常工作,但避免加班。首次出血后身体部分恢复,但症状间歇性加重,需反复就医。一次复查显示病灶增大0.5厘米,提示再次出血,心理负担加重。多数医生仍不建议手术,仅一位医生建议手术但强调高风险。
病友交流成为手术治疗的关键转折点
焦虑之下患者开始与病友交流。在脑干手术交流群中结识一位50余岁女性病友,同样患有延髓血管瘤,且位置风险更高。该病友经INC巴特朗菲教授手术后恢复良好,正常工作生活。这一成功案例促使患者考虑手术治疗。
再出血不可避免性的认知转变历经四年
患者症状再次加重,医生判断可能出现新的出血。首次出血时心理负担较轻,因对疾病认知不足,存在侥幸心理,认为通过注意可避免再出血。但第二次出血症状明显,表现为突发嗜睡和状态急剧下滑。患者最终认识到再出血不可避免,需手术治疗,但这一认知转变过程长达四年。
从病友案例看到希望,到自身病情需要手术,时机恰到好处。
面诊巴教授后手术决策的最终确定
尽管已决定手术,患者仍需了解巴教授的具体评估。令人意外的是,巴教授的评估非常精确,使用具体数字说明切除率和风险。面诊后患者更加安心,教授专业和蔼的形象增强信任感。术前主要情绪为紧张而非恐惧,因见成功病例且信任教授判断。患者认为手术时机仍显延迟,因术前无症状者通常恢复更快。

开颅手术实际体验优于预期
公司领导批准病假支持治疗,母亲陪同至手术医院提供术后照顾。ICU期间巴教授探视鼓励,术后第二天转出ICU与母亲团聚。术后五天可下床活动,与教授合影留念。术后十二天出院,MRI显示病变完全切除,多年脑血管疾病终获解决。

术后四年恢复良好,生活正常。每周打羽毛球,参加公司瑜伽课,但避免倒立等高风险动作。核心建议为尽早手术,一旦出血不应拖延。恢复程度取决于术前状态,患者自认手术时机稍晚。

疾病存在四年且反复出血,可能对神经造成损伤,颈部持续牵拉感,但通过康复训练未严重影响工作生活。经历此事后更珍惜当下,注意休息与工作生活平衡。
术后生活质量的提升与当下享受
多数人不知患者曾接受开颅手术,仅亲近者了解。目前生活无显著限制,主要需注意休息与压力平衡。回顾经历,发现术前预设的困难并未出现,术后无疼痛,康复顺利。这段经历增强了患者对生活的珍惜与享受。
- 所属栏目:颅内海绵状血管瘤
- 如想转载“加班后身体一侧突然发麻,当查出可怕的脑干“肿瘤”,我花了4年才走上手术台”请务必注明来源和链接。
- 网址:https://www.incsg.com/huanzhegushi/xueguanliu/7588.html
- 更新时间:2026-02-06 09:07:19


