从ICU到游乐场,我们终于等回了自己的小太阳!
发布时间:2026-02-10 09:45:21 | 阅读:次| 关键词:从ICU到游乐场,我们终于等回了自己的小太阳!
- [案例]“我重新学会了走路”——19岁少年与死神抢回的人生,从
- [案例]复发后胶质瘤从二级恶化为三级,选择再次手术的他终于
- [案例]巨大脑瘤无法单次全切?眉弓切口联合鼻腔入路"双路夹
- [案例]福洛里希教授突破脑瘤手术瓶颈:双镜联合解决两大脊索
- [案例]“偶尔头痛” 竟查出脑瘤!无症状脑膜瘤会恶化吗?
- [案例]脑干血管瘤反复出血,导致的肥大性下橄榄核变性(HOD)究竟
"孩子确诊脑干海绵状血管瘤那天,我感觉天都塌下来了。"2020年初秋的下午,患儿阳阳的母亲回忆起诊断场景时描述,"医生将CT片递到我手中时,窗外阳光明媚,我却感到浑身发冷,手指控制不住地颤抖。那张影像片沉重如石,医生的话字字清晰:'这是脑干海绵状血管瘤,正处于活动性出血期'。"
确诊前,阳阳曾是小区里知名的"高活力男孩",能够连续奔跑半小时不知疲倦。病情变化初期表现为间歇性头痛和呕吐症状,家长误认为是普通感冒。随后的半个月内,患儿身体功能出现进行性恶化:行走需要扶墙支撑,言语逐渐含糊不清,右侧面部肌肉控制能力持续下降。
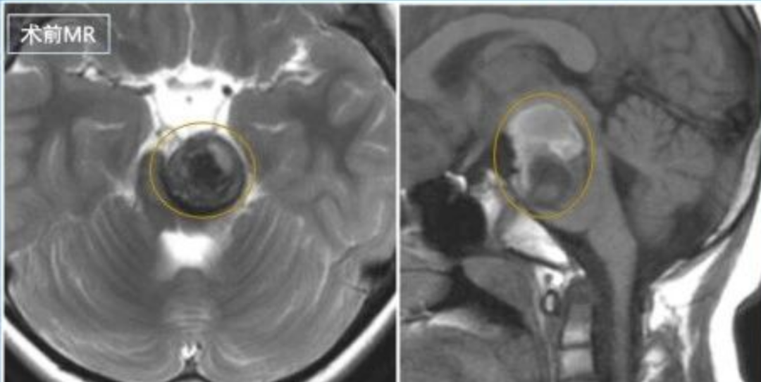
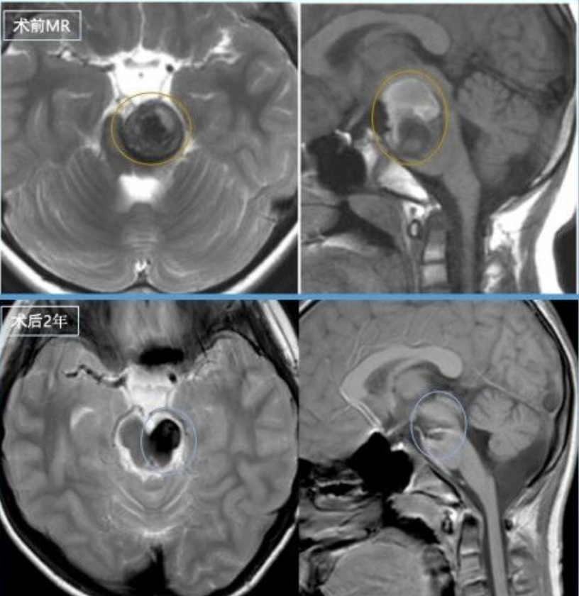
增强核磁共振检查最终确诊为脑干海绵状血管瘤伴出血,需立即转入ICU进行监护治疗。

术前影像显示脑干脑桥左侧占位病变,锥体束受压,可见含铁血黄素环形成。
治疗决策与手术风险评估
脑干海绵状血管瘤属于脑血管畸形病变,非传统意义上的肿瘤性疾病。该病变位于脑干这一关键神经中枢区域,平时可能无症状表现,一旦出血形成血肿,会压迫周围密集的神经核团和传导通路,导致运动、面部表情、吞咽和语言等基本功能受损。
多位医生评估手术风险时指出:"脑干手术难度极高,病变位置特殊,周围布满控制肢体活动、语言功能和呼吸系统的神经组织。手术操作稍有偏差可能导致患儿瘫痪或长期昏迷。"医学文献记载,脑干出血量达5-10毫升时死亡率超过75%,出血量超过10毫升时死亡率接近100%。
面对严峻预后,患儿父母在观看孩子以往生活视频后决定寻求更佳治疗方案,最终联系到专注脑干手术30余年的德国巴特朗菲教授。该教授累计完成800例脑干手术,其中脑干海绵状血管瘤手术超过300例。

手术过程与技术细节
巴特朗菲教授采用半坐位手术入路,利用重力作用降低脑干静脉压力,获得更清晰的手术视野。术中全程使用神经电生理监测技术,实时反馈神经功能状态。手术成功完整切除血管瘤,避免损伤周围关键神经结构。
脑干海绵状血管瘤的根本治疗方案为手术全切。部分切除病例再出血风险较高,可能导致严重神经功能缺损。安全全切手术是预防再出血和实现疾病根治的关键方法。

术后康复与长期随访
术后当晚,患儿在复苏室意识清醒,能准确称呼"妈妈"。术后48小时从ICU转出时,左手可完成捏扣子等精细动作。术后第三天实现自主用餐,第五天在辅助下恢复行走能力。三个月后面瘫症状基本缓解,可进行跑步等体育活动。
术后三年随访影像学检查显示无复发征象。额部手术疤痕成为患儿勇敢战胜疾病的象征,患儿恢复高活力状态,同时展现出超乎年龄的坚韧品质。

病例来源:INC国际巴特朗菲教授2022年10月手术案例
- 所属栏目:颅内海绵状血管瘤
- 如想转载“从ICU到游乐场,我们终于等回了自己的小太阳!”请务必注明来源和链接。
- 网址:https://www.incsg.com/huanzhegushi/xueguanliu/7607.html
- 更新时间:2026-02-10 09:42:15


