脑海绵状血管瘤出血2次都无症状,谁能想到我差点栽在第3次!
发布时间:2025-11-11 10:14:31 | 阅读:次| 关键词:脑海绵状血管瘤出血2次都无症状,谁能想到我差点栽在第3次!
- [案例]脑膜瘤如“章鱼”盘踞在脑中,视力模糊、嗅觉减退…不
- [案例]30+创业精英突陷“耳鸣噩梦”,听神经瘤疑云背后竟是虚
- [案例]女儿用蓬勃的生命力打败了巨大胶质瘤,我们为她骄傲!
- [案例]曾患脑干肿瘤,开颅手术后1个月回归校园,拿下“三好学
- [案例]当脑海绵状血管瘤引发严重癫痫,应该先解决哪个麻烦?
- [案例]60多岁王先生脑干海绵状血管瘤术后2年随访情况
在神经外科临床实践中,脑干海绵状血管瘤被视为"不定时炸弹"。36岁患者Jack的病例展示了他与这种疾病持续三年的治疗过程。该病例的特殊性在于病灶分布于基底节、小脑及中脑多个关键区域,医学诊断为"多发脑海绵状血管瘤"。该疾病最危险的特征在于其隐蔽性和突发性。
前两次出血未产生明显临床症状,导致患者几乎忽略疾病风险。然而,真正的医疗危机往往在不经意间突然发生。
病情发展:从隐匿到急性发作
第一次出血(术前3年):
Jack首次发生脑干出血,幸运的是此次出血未造成明显神经功能缺损。生活继续正常进行,但疾病隐患已悄然存在。
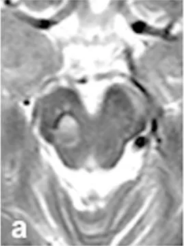
第二次出血(术前6个月):
MRI检查提示存在轻微再出血(图a),令人惊讶的是患者当时仍无任何明显症状。这种"无症状性出血"是脑干海绵状血管瘤的典型特征,也是其危险性的重要体现。

第三次出血(入院前3周):
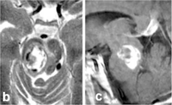
此次出血导致严重临床后果。新发出血引发左侧肢体轻偏瘫和感觉减退,右侧外展神经及面神经麻痹,伴随意识水平下降。术前MRI清晰显示22mm出血性病灶(图b-c)向尾侧延伸(图c),将患者置于生命危险境地。


手术治疗:精准入路与病灶全切
患者病灶位于脑干区域,且存在多发海绵状血管畸形,第三次出血后已出现明显神经功能缺损。因此本次手术需要同时实现三个目标:完全切除病灶、避免损伤正常神经组织、控制术中出血。每个操作步骤都需极其精确,对手术者的经验、技术精准度和决策能力提出极高要求。
面对危急病情,巴教授果断制定手术方案。凭借30余年脑干手术经验,巴教授在显微镜下实施精细操作,选择经右侧颞下入路进行手术。最终成功完整切除出血性病灶,术中全程未损伤关键神经和血管结构。

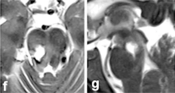
术后影像(图f-g)和术中记录共同证实,病灶已实现完全切除,出血得到彻底控制。令人振奋的是,患者术后恢复迅速,神经功能缺损逐渐改善。经过规范康复训练和随访,术后6个月时,患者已重新恢复正常生活和工作能力。
脑干海绵状血管瘤出血早期干预必要性分析
许多患者认为海绵状血管瘤属"良性病变",认为手术时机选择差异不大。这种认知存在严重误区。
关键点在于:神经损伤具有不可逆性。出血后残留的含铁血黄素类似"神经腐蚀剂",持续侵蚀周围组织,导致神经不可逆损伤。时间延误越久,神经损害越严重,手术修复可能性越低。
随着出血次数增加,神经功能恶化程度会持续加重:若出血影响面神经核团,会导致面瘫;若影响感觉和运动神经传导束,则引起肢体麻木乏力。

脑干海绵状血管瘤出血急性期手术优势
基于INC巴特朗菲教授30余年脑干手术经验,脑干海绵状血管瘤出血后急性期手术切除是一种及时有效的治疗手段,主要优势包括:
迅速控制出血,避免继发性脑损伤:急性期手术可及时清除血肿,减轻对周围脑组织的压迫
降低再出血风险:切除病灶从根本上消除再出血隐患
促进神经功能恢复:早期解除血肿压迫效应,为神经功能恢复创造最佳条件
改善预后,减少长期残疾:及时干预可最大程度保留神经功能,提高患者长期生活质量
明确病理诊断:手术获取的组织可进行病理学检查,明确病变性质
需要注意的是,脑干手术风险包括术中出血、感染、神经功能损伤及术后水肿等。因此这类手术必须由经验丰富的神经外科团队,在全面评估风险与获益后,为患者制定个体化手术方案。
INC国际脑血管专家巴特朗菲教授简介

作为INC国际神经外科医生集团旗下世界神经外科顾问团(WANG)成员、世界神经外科联合会(WFNS)教育与技术委员会前主席,现任德国汉诺威国际神经外科研究院血管神经外科主任,巴特朗菲教授擅长大脑半球病变、脑干病变、脑血管疾病、脑内深层区胶质瘤、颅颈交界区病变的肿瘤切除术、神经吻合术及各种椎管内肿瘤治疗。
巴特朗菲教授接受过来自欧洲、中东、北非及日本、中国、韩国、新西兰、南非和智利等40个国家学术邀请,出席400余场国际学术会议并担任特邀发言人,为世界神经外科发展做出重大贡献,特别是在颅底外科和脑脊髓血管病变显微外科治疗领域。
- 所属栏目:颅内海绵状血管瘤
- 如想转载“脑海绵状血管瘤出血2次都无症状,谁能想到我差点栽在第3次!”请务必注明来源和链接。
- 网址:https://www.incsg.com/huanzhegushi/xueguanliu/7016.html
- 更新时间:2025-11-11 10:05:30


