3岁女童脑干海绵状血管瘤术后,医生为什么坚持给她父母也做基因检测?
发布时间:2026-04-24 09:43:56 | 阅读:次| 关键词:3岁女童脑干海绵状血管瘤术后,医生为什么坚持给她父母也做基因检测?
- [案例]解析国际研究:脊索瘤治疗,手术与质子疗法,何为优选
- [案例]36岁男性经历三次脑干出血:从无症状到生死边缘
- [案例]这个位置手术易瘫痪?18岁少年高位颈髓手术顺利完成
- [案例]脑干手术成功率多大?开颅手术后,她如愿生下两个健康
- [案例]“颅内外疯狂生长”Meckel腔脑膜瘤复发,福教授如何“双
- [案例]“感谢巴教授,真的救了我们,救了大家!”巴教授9月疑
INC巴特朗菲教授所在研究团队曾报道过一个病例:一名3岁小女孩因突发头痛、嗜睡、偏瘫等症状紧急就医,检查发现孩子脑内不仅有一个巨大的海绵状血管瘤,还存在多处病灶。成功切除位于脑干的危险病灶后,医生开始思考:这么小的孩子,为什么会有多发病灶?

a–c:增强 T1 加权磁共振图像,显示患儿术前巨大的脑桥海绵状血管瘤。
d 术后轴位图像,显示海绵状血管畸形已完全切除,第四脑室大小恢复,脑干受压解除。
e 梯度回波磁共振成像显示患儿存在其他幕上海绵状血管瘤(左侧额叶及顶叶)。
根据多发性海绵状血管瘤更常见于家族遗传的临床经验,医生决定让孩子的父母去做基因检测。结果出乎意料:女孩和她母亲体内存在相同的、全新的CCM1基因突变,而父亲没有。这位27岁的年轻妈妈没有任何症状,但进一步MRI检查发现她脑内同样存在多处小病灶——孩子的病确实是妈妈遗传的,只是妈妈暂时还没发病。

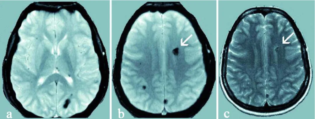
a、b :27 岁母亲的梯度回波磁共振扫描可见多发幕上海绵状血管瘤,呈典型低信号。
c 该无症状母亲的常规 T2 加权磁共振扫描可见左侧额叶最大的海绵状血管瘤(白色箭头所示)。
散发性 vs 遗传性
脑海绵状血管瘤分为两类:散发性和遗传性(家族性)。
散发性:通常表现为单个病灶,属于偶发,一般不会遗传给下一代。
遗传性(家族性):呈常染色体显性遗传,父母一方患病,子女有50%的概率遗传。家族性CCM往往表现为多个病灶,且病灶数量和大小会随年龄增长而增加。
研究指出:看似散发的多发性海绵状血管瘤,大概率是家族遗传性的。一旦发现患者脑内有多个海绵状血管瘤,就不能简单当作散发病例处理,必须考虑家族遗传的可能。
多发性脑海绵状血管瘤与基因检测
目前已知与脑海绵状血管瘤相关的三个致病基因分别是CCM1、CCM2和CCM3。通过抽取患者或亲属的血液,提取DNA,对这三个基因进行测序,就能判断是否存在致病突变。如果常规测序找不到,还可以用更精密的方法(MLPA)检测是否存在大片段缺失。
为什么要做基因检测?研究表明,多发性海绵状血管瘤患者及家属的基因检测可以明确遗传来源,帮助找出无症状的突变携带者。比如上文中3岁小朋友的妈妈,表面毫无症状,MRI却已发现病灶。如果这次没做基因检测,她就会在完全不知情的情况下暴露于出血风险中。
基因检测比单纯MRI更高效、更准确。一旦家族中的突变被确定,对其他亲属只需检测这个特定突变,比逐一做MRI更快、成本更低。更重要的是,基因检测能在MRI还无法显示病灶的阶段,就提前发现突变携带者。
检测结果如何解读?
阳性:检出致病性突变,说明确诊为遗传性CCM,需要进一步对亲属进行筛查。
阴性:未检出突变。约30%的多发性患者目前检测不出突变,可能原因复杂(如存在未知基因)。此时建议对直系亲属进行高精度的梯度回波MRI筛查作为补充。
特殊情况——新发突变:如果患者父母均未检出突变,说明患者为新生突变,其子女将有约50%的风险遗传这个突变。患者同父母的兄弟姐妹(即其他孩子)理论上风险极低,但需通过检测来确认排除。
如何判断脑海绵状血管瘤是散发还是遗传
对于所有多发性CCM患者,基因检测应成为首选和必查项目。巴特朗菲教授研究团队在论文中提出了标准化的临床路径:
第一步
对患者(先证者)进行CCM1、CCM2、CCM3基因检测(含MLPA大片段缺失检测)。
第二步
如果检出突变 → 进行遗传咨询 → 对父母及其他亲属进行相同位点的验证性检测。
第三步
对确认携带突变的亲属,进行梯度回波MRI筛查,评估脑内受累情况。
第四步
根据MRI结果和患者意愿,制定后续管理方案:定期随访(建议每年一次MRI);对有手术指征的病灶,即使无症状,也可择期手术切除,以预防未来出血和神经功能缺损。
如果先证者基因检测为阴性:则直接建议对其亲属进行梯度回波MRI筛查。
如果父母均无突变、确认为新生突变:则患者子女需要遗传咨询和检测,父母及非先证者兄弟姐妹风险极低(除罕见的种系嵌合体外)。
对多发性海绵状血管瘤患者进行基因检测和亲属筛查,是帮助早期识别高危家庭成员、及时干预、避免因突发出血导致严重神经损伤的重要手段。
参考文献
Helmut Bertalanffy, et al. Clinical impact of CCM mutation detection in familial cavernous angioma
INC国际神经外科专家
巴特朗菲教授(Prof. Helmut Bertalanffy)是INC国际神经外科医生集团旗下世界神经外科顾问团(WANG)成员、世界神经外科联合会(WFNS)教育与技术委员会前主席,同时也是德国汉诺威国际神经外科研究院血管神经外科主任。巴特朗菲教授擅长领域包括:大脑半球病变、脑干病变、脑血管疾病、脑内深层区胶质瘤、颅颈交界处病变等的肿瘤切除术、神经吻合术以及各种椎管内肿瘤手术。
巴特朗菲教授收到过来自欧洲、中东、北非以及日本、中国、韩国、新西兰、南非和智利等40个国家的学术邀请,应邀出席400多场世界各地的学术会议,并在神经外科大会上多次担任特邀发言人,对世界神经外科学科做出重大贡献,尤其在颅底外科和显微外科血管病变的脑脊髓治疗方面建树卓著。

- 所属栏目:颅内海绵状血管瘤
- 如想转载“3岁女童脑干海绵状血管瘤术后,医生为什么坚持给她父母也做基因检测?”请务必注明来源和链接。
- 网址:https://www.incsg.com/huanzhegushi/xueguanliu/8137.html
- 更新时间:2026-04-24 09:33:18
- 上一篇:怀孕后确诊脑干出血,手术和生子,我应该先选哪个?
- 下一篇:没有了


