只是有点眩晕,没想到竟要开颅手术……
发布时间:2026-03-06 10:10:30 | 阅读:次| 关键词:只是有点眩晕,没想到竟要开颅手术……
- [案例]脑干胶质瘤一路长至胸髓,术前无法走路的他,最终摆脱
- [案例]8岁男孩头痛就医,医生一听还有这种症状:“情况不妙!
- [案例]动脉瘤破裂出血危及生命?解析INC脑血管专家的血管重建
- [案例]患者自述 |“手术风险巨大、也不能再放疗!”脑膜瘤复发
- [案例]揭秘大脑的“不速之客”:垂体瘤的那些事儿,你了解多
- [案例]68岁患者由脑海绵状血管瘤引发全身麻木、咳嗽恐惧及出血
一切始于一次常见的眩晕发作。最初她仅认为是疲劳引起,并未予以重视,然而眩晕症状持续存在且逐渐加重。直至接受医疗检查后才发现,这种看似轻微的不适背后,竟隐藏着位于丘脑深部的海绵状血管瘤,并且已经发生出血。从出现眩晕到接受开颅手术,这一过程完全超出了她的人生预期。

眩晕不止,检查发现脑内肿瘤
初始症状仅为视物眩晕,类似佩戴了度数不准确的眼镜。三十余岁的文文并未特别在意,认为休息数日即可缓解。但一周时间过去后,“眩晕”感并未消失。一种莫名的不安情绪逐渐取代了最初的疑惑。她决定前往医院进行检查,以求安心。
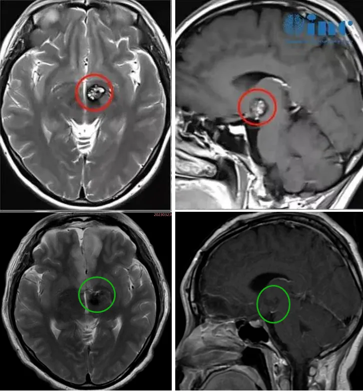
然而,头颅MRI影像并未带来安心,反而给予了沉重一击。报告单上呈现的冰冷文字与胶片上清晰的阴影共同显示:
左侧基底节-丘脑区域存在占位性病变,考虑为海绵状血管瘤,并伴有瘤内出血。
【图片】
【该图片的描述】
【/该图片的描述】
“丘脑具体位于何处?海绵状血管瘤属于何种疾病?发生出血是否危险?”文文与家人在诊室内接连提出疑问。医生的回答让她彻底明白了自身所面临的处境:
“丘脑区域手术风险极高,一旦进行手术操作可能导致严重后果,瘫痪的可能性非常大。”
丘脑体积虽小如橄榄,却是大脑信息交互的核心枢纽。全身的痛觉、温觉、触觉等所有感觉信号均在此进行中继与上传;大脑发出的每一项运动指令也在此进行整合与下达。其周围紧密环绕着控制肢体运动的神经纤维束、视觉传导通路以及负责记忆、情感的高级认知功能区。更深层区域则是维持心跳与呼吸的脑干生命中枢。
在该区域实施手术,无异于在最精密的“芯片”中央使用手术刀进行拆除作业。任何细微的偏差均可能引发偏瘫、失明、失语,甚至导致植物状态。
多位专家的意见高度一致:手术风险过高,建议采取保守观察策略,定期进行复查。
等待成为最煎熬的“治疗”方式
“保守观察”意味着随时面临风险。文文尝试说服自己接受该方案。然而,身体出现的持续变化不断冲击着她脆弱的心理防线。
不久后,更剧烈的眩晕发作袭来,她突然出现站立不稳,需要扶墙才能行走。紧接着,视力开始出现明显下降,视物变得模糊。复查的MRI影像如同一份无情的判决书:病灶体积增大了。
“我不想继续等待了。”文文与家人达成共识:与其被动等待下一次出血,不如主动采取措施,彻底清除该病灶。但问题再次回到原点:
多位专家均表示手术风险过高,谁能为她主刀实施手术?
在“手术禁区”中探寻生机
“不,我必须找到解决办法。”在绝望的谷底,求生的本能迸发出最强烈的力量。文文与家人广泛搜寻国内外能够处理丘脑区域病变的神经外科专家。
在大量的信息中,INC巴特朗菲教授的名字进入了他们的视野。这位专注于颅内深部肿瘤手术的专家,在脑干、丘脑等“手术禁区”的治疗领域拥有众多成功案例,这为文文和家人重新带来了希望。
怀着最后的期待,文文联系上了巴特朗菲教授的团队。
详细的病情沟通、专业的影像评估、耐心的答疑解惑,巴特朗菲教授的专业与从容让文文悬着的心逐渐安定下来。巴特朗菲教授告知她,丘脑海绵状血管瘤虽然凶险,但并非无法治愈,只要选择正确的手术入路并实施足够精细的操作,便能在完全切除病灶的同时,最大程度地保护神经功能。这使文文彻底坚定了接受手术的决心。
2023年3月23日,这场手术在国内神经外科医生的辅助配合下如期进行。
为确保手术的精准与安全,巴特朗菲教授制定了周密的手术方案:采用额底纵裂经终板入路实施丘脑占位切除术,全程配合MEP+SEP神经电生理监测,实时监测神经功能状态。由于肿瘤位置深在,术中导航易因脑脊液释放引发漂移,巴特朗菲教授还将前联合作为关键解剖标记,精准定位肿瘤位置——它正位于前联合后方。

这场手术对医生的技术与耐心均是极致的考验。
所采用的经纵裂入路,是利用大脑纵裂的自然间隙进入深部病灶,能最大限度降低对脑组织的牵拉和侵犯,但该操作通道深且狭窄,每一步操作均需极致的精细。
巴特朗菲教授凭借数十年的临床经验,在显微镜下谨慎操作,避开密集的神经与血管,逐步剥离病灶。神经电生理监测仪上的各项数据始终保持稳定,为手术过程提供保障。数小时后,手术顺利完成:病灶被完全切除,患者的神经功能也得到了完整保护。

术前术后影像对比
“我恢复情况相当良好”
术后的恢复过程远比文文预想的更为顺利。
术后两周多,她的身体便逐步恢复,顺利出院。出院时,其右侧肢体活动与感觉一切正常,仅出现一过性的记忆力减退与反应迟钝,这些均属于术后正常现象。在家人的悉心照料与遵医嘱的康复调理下,出院后不久,这些轻微的不适便彻底消失。
术后三个月的随访视频显示,文文已能自如地抬举双手、完成上下蹲起动作,并与巴特朗菲教授亲切打招呼,脸上重新绽放出爽朗的笑容;
术后四个月,她已然行走自如,运动功能与语言功能与常人无异,那个充满活力的文文终于回归。
对每一位颅内深部肿瘤患者而言,患病后的惶恐、迷茫与无助均是必经的心理历程。文文经历了从忽视症状、确诊恐惧、保守观察的煎熬,到主动寻求手术、最终成功清除病灶的全过程。她的经历提示我们:
第一,反复出血的深部海绵状血管瘤需要积极干预。
首次出血后,再次出血的风险将增加,而每一次出血均可能造成不可逆的神经功能损伤。等待有时并非最佳选择。
第二,“手术禁区”不等于“绝对不可手术”。
丘脑、基底节、脑干这些区域确实风险极高,但并非所有医生均不敢触碰。关键在于找到真正具备深部病变丰富手术经验的专家团队,并选择正确的手术入路与术中监测方案。
INC国际脑血管专家 Prof.Helmut Bertalanffy 巴特朗菲教授
INC国际神经外科医生集团旗下世界神经外科顾问团(WANG)成员、世界神经外科联合会(WFNS)教育与技术委员会前主席巴特朗菲教授,作为德国汉诺威国际神经外科研究院血管神经外科主任,擅长大脑半球病变、脑干病变、脑血管疾病、脑内深层区胶质瘤、颅颈交界处的病变等的肿瘤切除术、神经吻合术以及各种椎管内肿瘤等。同时,巴特朗菲教授收到过来自欧洲、中东、北非以及日本、中国、韩国、新西兰、南非和智利的40个国家的学术邀请,应邀出席了400多场世界各地的学术会议或在神经外科大会作为特邀发言人,对世界神经外科学科做出重大贡献,特别是颅底外科和显微外科血管病变的脑和脊髓治疗。

- 所属栏目:颅内海绵状血管瘤
- 如想转载“只是有点眩晕,没想到竟要开颅手术……”请务必注明来源和链接。
- 网址:https://www.incsg.com/huanzhegushi/xueguanliu/7719.html
- 更新时间:2026-03-06 09:54:25


