以为伽马刀能搞定,没想到两年后更糟了
发布时间:2026-04-03 10:14:49 | 阅读:次| 关键词:以为伽马刀能搞定,没想到两年后更糟了
- [案例]“好好的孩子怎么就走不动路、吃不下饭了…”查出脑干
- [案例]2489例桥小脑角CPA区肿瘤手术:神经内镜能否取代显微镜手
- [案例]远外侧入路重要提出者全切脑干-高位颈髓腹侧病变,避免
- [案例]70岁,基底节“脑内炸弹”最新随访!INC国际神外教授仅用
- [案例]4岁患儿脑干海海绵状血管瘤手术分析
- [案例]脑袋里查出3个“不速之客”?国际颅底大咖福教授教你如
01 一场运动后的人生转折
2020年,林女士在如常进行运动锻炼时,突然感到一阵天旋地转,左腿出现如同被电流击中般的剧烈疼痛。急诊行颅脑MRI检查,结果提示:脑干海绵状血管瘤合并卒中出血。
脑干,作为人体的"生命中枢",掌控着呼吸、心跳、意识等关键生理功能。医生告知她,这个部位的肿瘤手术风险极高,稍有差池便可能导致瘫痪,甚至无法活着下手术台。

"那就不开刀。"林女士和家人商量后,选择了听起来更为安全的伽马刀治疗方案。不用开颅、无创、恢复快……她曾以为这是最稳妥的治疗路径。
然而,预期中的病情控制并未到来。她的右腿开始出现不听使唤的情况,走路姿态扭曲,甚至出现不自主的抖动。从步履蹒跚到几乎无法独立行走,身体的失控感日夜折磨着她。更为残酷的是复查结果:病灶非但没有缩小,反而比之前更大了。

02 "为什么治疗了反而更严重?"
"为什么治疗了反而更严重?"她拿着检查报告,内心既无助又困惑。
很多人误以为伽马刀是"不用开刀的手术刀",其实它是放射治疗的一种——利用伽马射线聚焦照射病灶,试图摧毁病变组织。但伽马刀治疗有严格的适应症。对于脑干海绵状血管瘤,伽马刀不仅无效,还可能损伤正常脑组织,给后续治疗"雪上加霜"。更为危险的是,放疗还可能诱发新的海绵状血管瘤(即RICH,放疗后出现的脑海绵状血管瘤),这种并发症常在放疗数年后突然引发脑出血,危及生命。
03 当脑干病灶遇上放疗后遗症
怀着最后的一线希望,林女士咨询了专攻脑深部病变的INC巴特朗菲教授。评估后,巴教授直言不讳地表示:"如果最初来问我,我不会建议做伽马刀。"

情况比想象中更为棘手:病灶本身位于手术"禁区"脑干,手术难度已是极高;而之前的放疗,很可能已对周边健康的神经组织造成了附加损伤。"这意味着,即使手术成功全切病灶,神经功能也很难恢复到以前的状态。"
教授的话很坦诚,手术的首要目标,是彻底"拆除"再出血这个最危险的炸弹,为后续功能康复赢得安全基础。
一边是位于脑干的凶险病灶,一边是放疗留下的"烂摊子",手术的难度和风险,不言而喻。
放疗后的手术为何如此困难?其一,组织粘连如"钢筋混凝土":放疗导致局部组织纤维化,病灶与正常脑组织、血管紧密粘连,分离过程中极易发生大出血。其二,血管"一碰就破":放疗损伤使血管壁变脆弱,术中止血极其困难。其三,脑损伤"迷雾":放疗后的水肿和坏死可能掩盖病灶边界,增加术中判断的难度。
04 在更复杂的废墟上挑战生命中枢
但巴教授也给了她希望:"现在还不算晚。全切病灶,依然是控制病情的关键。"经过艰难的抉择,林女士决定接受手术治疗。术中,巴教授凭借极致精准的解剖知识和显微外科技术,在错综复杂的神经与血管网络中,将病灶完整切除。
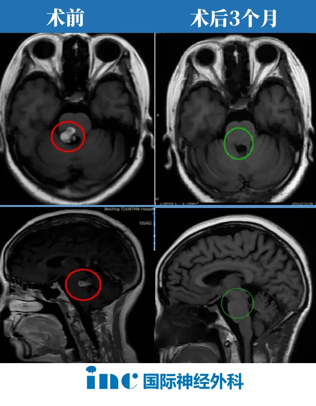
术后三个月,复查MRI的结果带来了期盼已久的好消息:病灶实现全切,无残留。虽然右腿功能仍需漫长的康复过程,但"随时可能再出血"的致命威胁终于解除。生活,重新有了安稳的盼头。

当脑海绵状血管瘤引起明显症状(例如药物难治性癫痫、进行性神经功能障碍)或已经发生出血时,进行外科手术完全切除,是目前唯一的治愈性手段。核心在于,在最大程度保护正常神经功能的前提下,实现病灶的完全切除。经验丰富的医生能够根据病灶位置,选择最合适的手术入路(例如经幕下入路、经岩骨入路等),即使是"禁区"病变,也有望获得良好的治疗效果。
- 所属栏目:颅内海绵状血管瘤
- 如想转载“以为伽马刀能搞定,没想到两年后更糟了”请务必注明来源和链接。
- 网址:https://www.incsg.com/huanzhegushi/xueguanliu/7950.html
- 更新时间:2026-04-03 10:08:13


