脑干开颅术后多次跑马拉松,被指对身体不负责,医生:术后恢复好可以跑!
发布时间:2025-11-20 10:38:05 | 阅读:次| 关键词:脑干开颅术后多次跑马拉松,被指对身体不负责,医生:术后恢复好可以跑!
- [案例]儿子因脑干出血病危,两次120转运,为何医生说法截然不
- [案例]15岁少女突发脑出血伴意识障碍,病因竟为颅内动静脉畸形
- [案例]视力突然下降!是脑垂体瘤压迫视神经所致吗?
- [案例]“生命禁区”险上加急——INC巴教授脑干血管瘤出血急性
- [案例]栓塞 or 夹闭?动脉瘤还未破裂,INC国际动脉瘤大师将出血
- [案例]33岁孕妈头痛难忍竟查出巨大脑室胶质瘤!顺利分娩+肿瘤
经历过"生命禁区"脑干开颅手术的患者,多次站上马拉松赛道起点。马拉松并非随意可参与的运动:高负荷、大强度、长距离竞技运动对参赛者身体状况有较高要求。开颅手术后能否承受这种负荷?
在马拉松赛道起点,一个熟悉身影再次出现——20岁出头的她,目光坚定,步伐轻盈。难以想象的是,这位赛场上英姿飒爽的女性,曾在19岁时因脑干海绵状血管瘤两次出血,经历惊心动魄的开颅手术。当所有人认为她会就此沉寂时,她用"我回来了!"的宣言宣告重生。

患者临床概况与康复过程
"坚持、坚持、再坚持……"面对高风险手术,她咬牙挺过。术后,她不仅重新站立,更以惊人毅力投入康复训练,逐步跑回喜爱的马拉松赛道。
部分人为她的坚韧点赞,认为身体经历重大手术后还能完成马拉松实属不易;也有人担忧:这种"逞强"是否在透支生命?大众普遍认知中,马拉松属于对身体要求极高的运动,接受开颅手术的患者相对普通人身体状态可能更差,此类人群是否完全不适合参加马拉松运动?

她的主刀医生给出不同回复:脑干手术后能否参加马拉松,需要个体化评估。如果恢复良好,"我建议患者过不受限制的正常生活,包括运动。"
手术前呈现病态表现,行走不稳,手术后迅速恢复正常活动,回归原本鲜活生命状态。如此鲜明对比让患者家属多次感叹及时选择手术决策。脑干海绵状血管瘤并非绝症,她用行动证明:只要保持乐观,积极治疗,掌握自身命运,每个人都能绝处逢生,活出更灿烂人生。
PART01 脑干手术临床挑战解析
两次脑干出血保守治疗决策分析
19岁患者爱丽丝原本活力充沛,被突发头痛、复视和右侧肢体无力打乱生活节奏。在家庭医生建议下,她前往神经外科就诊,检查结果令人担忧:脑干中脑被盖区发现海绵状血管瘤。
由于脑干属于神经外科高难度手术区域,手术难度大且风险高,强行手术易导致残疾。经医生建议,爱丽丝选择保守观察,等待下次出血时对症治疗。
脑干手术禁区难度因素解析
脑干素有"生命禁区"之称,密集排列颅神经核团和肢体与大脑联系的上下传导束,主要功能分区包括:心血管中枢和呼吸中枢;维持清醒状态的脑干上行激活系统;同时作为大脑与脊髓联络必经通道,包括四肢感觉与运动功能。一旦受损,后果严重。

被盖部包含运动、感觉、自主神经功能系统以及三叉神经、面神经、前庭神经等多条颅神经(CN III和IV核位于中脑被盖部分,CN V~VIII细胞核位于脑桥水平被盖上,CN IX、X和XII核位于髓质核内)等四大关键系统。

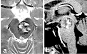
未料观察期间的爱丽丝再次遭遇打击。一年后,爱丽丝再次出现头痛、复视和轻微运动无力。担忧之事终究发生。与之前不同的是,此次她整个右侧身体开始无力。入院检查发现脑干再次出血,MRI显示脑干中脑海绵状血管瘤尺寸达20mm(图a和b)。

图a和b:术前轴向(a)和矢状(b)MRI
此次医生不再建议保守治疗,但仍表示脑干位置手术风险极高,稍有不慎可能导致瘫痪,除非有充分把握,否则不轻易手术。
PART02 手术成功与功能恢复
病灶全切除手术过程
脑干海绵状血管瘤易反复出血,为最大限度挽救生命提高生活质量,治疗关键在于安全手术全切。治疗之路无捷径可走。最终,经多方查询,他们找到INC巴特朗菲教授。巴教授仅剔除部分头发,为她保留长发。最终顺利全切海绵状血管瘤,矢状(f)MRI证实病灶完全切除。

尽管出现暂时性动眼神经麻痹,但几周内逐渐恢复,未遗留任何神经功能缺损。更令人鼓舞的是,爱丽丝不仅重获健康,更重新踏上马拉松赛道,用奔跑诠释生命韧性。
- 所属栏目:颅内海绵状血管瘤
- 如想转载“脑干开颅术后多次跑马拉松,被指对身体不负责,医生:术后恢复好可以跑!”请务必注明来源和链接。
- 网址:https://www.incsg.com/huanzhegushi/xueguanliu/7083.html
- 更新时间:2025-11-20 10:30:47


