70岁,基底节“脑内炸弹”最新随访!INC国际神外教授仅用一句话评估
发布时间:2025-11-22 23:19:02 | 阅读:次| 关键词:70岁,基底节“脑内炸弹”最新随访!INC国际神外教授仅用一句话评估
- [案例]当脑海绵状血管瘤引发严重癫痫,应该先解决哪个麻烦?
- [案例]30+创业精英突陷“耳鸣噩梦”,听神经瘤疑云背后竟是虚
- [案例]60多岁王先生脑干海绵状血管瘤术后2年随访情况
- [案例]脑膜瘤如“章鱼”盘踞在脑中,视力模糊、嗅觉减退…不
- [案例]女儿用蓬勃的生命力打败了巨大胶质瘤,我们为她骄傲!
- [案例]曾患脑干肿瘤,开颅手术后1个月回归校园,拿下“三好学
"恢复情况不能再好!"这是INC国际神经外科专家巴特朗菲教授在审阅柯女士近期复查核磁共振报告后作出的专业评估。
"巴教授请看,我现在行走、抬臂等活动均无异常!"视频中,年过七十的柯女士精神饱满,动作协调,难以想象她曾因脑深部基底节区海绵状血管瘤而陷入"手术担心瘫痪,不手术担忧出血"的治疗困境。

近日,INC国际神经外科巴特朗菲教授为柯女士完成术后2年随访评估,教授的专业解读为患者后续生活提供了重要参考依据。
随访结果分析
本次随访中,柯女士自述症状变化包括:"舌部和右侧面部麻木感明显改善,但双足、右腿及手术区域偶尔出现麻木胀痛"。同时,她特别询问了核磁共振报告中"右侧额颞交界区斑片状低信号"的临床意义,这种细致关注体现了患者对疾病管理的重视程度。
面对这些疑问,INC神经外科巴特朗菲教授给出专业解答:"值得庆幸的是,对于当初出血量较大的病灶,通常患者会出现更严重症状,您目前的症状表现非常轻微,这是很好的恢复结果。"
针对核磁共振低信号表现,巴教授进一步解释:"这个病灶体积很小,不属于缺血性改变,在您这个年龄阶段属于常见现象,甚至可能是正常生理表现,完全不需要担心。更重要的是,海绵状血管瘤区域的恢复状况良好,不具有临床意义。"
*非临床意义(Non-Clinical Significance, NCS)指在检查或研究中发现的异常指标、现象或数据,对疾病诊断、治疗决策或病情评估没有实质性参考价值。这些异常通常由检测误差、个体差异或正常生理波动引起,而非疾病本身表现。
视频中柯女士灵活的活动能力,与教授的专业评估相互印证,表明这位患者在脑深部脑血管畸形治疗中获得成功。
诊疗历程回顾
初期诊断阶段
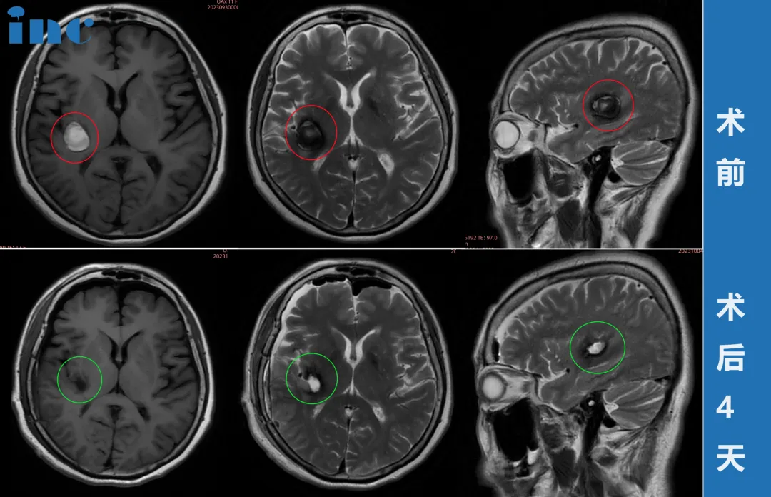
2022年,68岁的柯女士在体检中发现脑部异常,经进一步检查确诊为"右侧基底节区海绵状血管瘤伴出血",病灶尺寸15mm。初期医生建议"定期观察",加之患者本身无明显症状,因此未立即采取治疗措施。
2022年12月开始,柯女士逐渐出现脚底麻木症状,并发展为右侧肢体异常感觉。这种症状变化引起患者警觉,随即前往医院咨询手术方案,但当地医生表示不建议手术:"如果患者58岁可以考虑手术,68岁年龄不建议手术,术后瘫痪风险较高,卧床两年会导致严重并发症。"

医生对手术的担忧源于病灶特殊位置:基底节区是大脑运动调控关键区域。基底神经节位于白质内,参与运动启动和执行,与大脑皮质及小脑共同调节随意运动、肌张力和姿势反射。该区域手术风险极高,稍有不慎可能导致偏瘫、失语等严重并发症。
"68岁就该等待病情恶化吗?我还有家人,还想继续正常生活。"带着这样的想法,柯女士开始寻求更多治疗选择。偶然机会了解到INC国际神经外科巴特朗菲教授的成功案例后,她决定争取治疗机会。
治疗决策转折
在苏州大学附属第四医院,柯女士首次见到巴特朗菲教授。教授详细研究了从初诊到最新的所有影像资料,给出客观评估:"75%支持手术,25%可观察,但如果症状加重需立即治疗。若等到偏瘫再手术,恢复几率将大幅降低。我可以为患者实现病灶全切。"
尽管教授评估带来信心,但考虑到还有25%的观察可能性,柯女士与家人商议是否等待教授下次来华时再手术。

然而疾病发展难以预测。2023年9月,柯女士症状突然加重:脚底麻木蔓延至膝盖,面部、耳部出现麻胀疼痛,复查核磁显示病灶增大。得知情况后,巴教授当晚紧急视频连线,坚定表示:"这次必须立即手术,现在是最佳时机。如果我这样返回德国,会一直放心不下。"(当时正值巴教授结束中国行程准备返回德国)

教授的责任感与担当消除了柯女士和家人的顾虑。9月29日视频咨询,30日患者从东北飞往苏州,10月1日国庆节当天,由巴教授主刀,国内神经外科团队配合,成功完成手术。术后核磁显示海绵状血管瘤完全切除,无新发神经功能损伤。
术前,巴教授告知最坏可能结果是左手无力,因此患者术后醒来第一反应就是活动左手。当发现手指活动灵活时,她彻底放心。令人惊喜的是,教授担忧的高龄患者常见脑萎缩问题并未出现,患者脑部状态优于同龄人,为手术成功提供了有利条件。

*高龄患者常出现脑萎缩,开颅后脑脊液下流压迫岛叶,会增加手术难度。
康复经验与临床启示

目前,摆脱疾病困扰的柯女士恢复正常生活:与家人露营烧烤,坚持阅读学习,生活充实如常。
回顾治疗经历,她深感感慨:"这一年承受的痛苦,麻木感非常难受。夜间焦虑加重,每天都担心出血风险。因为害怕出血,之前连咳嗽都控制,甚至如厕都不敢用力。所以能尽早治疗就尽早解决,有机会一定不要错过。"
对于没有严重基础疾病、身体状况良好的高龄患者,开颅手术完全可行。拖延治疗反而可能因病灶增大、出血风险增加而错失最佳治疗时机。
海绵状血管瘤虽是良性病变,但一旦出血就应考虑手术干预。特别是位于重要功能区的病变,若等到出现严重功能缺损再手术,恢复几率将大幅降低。
从被断言"手术必然瘫痪"到术后活动自如,柯女士的经历证明,面对脑部疑难肿瘤,年龄不是绝对限制因素,专业的医疗选择才是治疗关键。每个寻求希望的患者,都值得获得专业医疗保障。
- 所属栏目:颅内海绵状血管瘤
- 如想转载“70岁,基底节“脑内炸弹”最新随访!INC国际神外教授仅用一句话评估”请务必注明来源和链接。
- 网址:https://www.incsg.com/huanzhegushi/xueguanliu/7099.html
- 更新时间:2025-11-22 23:12:35


