脑干手术后能恢复正常人吗?现在,我能跑能跳,与常人无异
发布时间:2026-03-10 11:25:34 | 阅读:次| 关键词:脑干手术后能恢复正常人吗?现在,我能跑能跳,与常人无异
- [案例]"幸得及时寻获巴教授救治!松果体瘤安全全切无损伤,
- [案例]“感谢巴教授,真的救了我们,救了大家!”巴教授9月疑
- [案例]“小小英雄”打败近6cm巨大颅咽管瘤!家人的爱支撑着他
- [案例]脑瘤急剧增长伴多次出血及面肌痉挛
- [案例]脊索瘤高治愈患者实例两则
- [案例]跨越千里求医:脑干海绵状血管瘤患者术后重新站立
脑干手术后能否恢复至正常状态?针对这一疑问,32岁的脑干海绵状血管瘤患者冯先生给出了亲身回答:“我于2022年底接受手术,目前一切状况良好,日常生活未受任何影响……”
自2022年末成功实施开颅手术并完整切除病灶后,冯先生回归正常生活已逾三年。往日因不明出血风险而产生的昼夜焦虑已彻底消散,当前他睡眠安稳、精力充沛。近期生活视频显示其状态佳,行走与跑步步态稳健……全然未见曾于“手术禁区”脑干部位接受手术的痕迹。正值三十余岁的人生奋进阶段,他已重新牢牢掌握生活方向。
事实上,开颅手术完成不足24小时,冯先生已能使用手机进行游戏,术后第二天即可下床活动。本次手术的主刀医生——INC巴特朗菲教授在近期复查后提供了安心的评估:“情况不能再好(B-N-G-H),未见复发征象,亦无任何可疑新发病灶或其他异常。在我看来,他完全能够如常人般生活。另外,他未出现瘫痪。尽管延髓属于高度敏感区域,但他非常幸运,没有发生肥大性橄榄核变性。综合临床表现与MRI影像学检查,这确实是一个极为理想的治疗结局。”教授建议其下一次复查可安排在一年半之后。

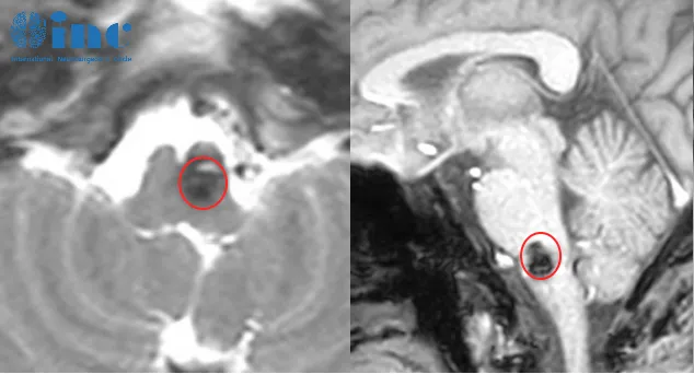
所有故事的起点,仅是一次手部麻木感。手麻在日常生活中极为普遍——可能是午睡时手臂受压,亦或是长时间打字后的短暂不适。很少有人会将其与脑部疾病相关联。然而,转折点出现在2021年。时年三十余岁、处于事业上升期的冯先生,因一次偶然的手部发麻就医检查,竟意外确诊为危险的脑干海绵状血管瘤。更令人担忧的是,这枚“不定时炸弹”恰好位于生命中枢——延髓。该区域负责调控呼吸、心跳等基本生命活动。一旦病灶破裂出血,将产生难以设想的后果。
尽管冯先生当时症状轻微,但“无法预知何时会出血”的恐惧,如同阴云终日笼罩,导致其精神不振、每夜难眠——卧床时头脑异常清醒,无法控制地思索颅内的病灶。轻微声响便易惊醒,伴随心跳骤然加速。长期睡眠不佳,致使白天持续存在隐隐头痛,注意力也难以集中。

一个良性病灶,为何令医生感到棘手?
尽管病灶体积不算巨大,但如此大小的肿瘤却潜藏重重危机!绝大多数医生因畏惧而避免切除此类“小”肿瘤。原因何在?这需从肿瘤所在部位——脑干说起。胶质瘤的主要治疗方式为手术切除。然而,若将神经外科手术比作外科领域的喜马拉雅山脉,脑干肿瘤切除术则堪称珠穆朗玛峰。脑干作为生命中枢,掌管呼吸、心跳、意识、运动及感觉等功能,术中若发生损伤,其后果常令患者及家属难以承受;脑干体积小,神经核团密集,任何细微操作偏差均可能导致损伤。基于这两点,该部位手术风险极高,曾一度被视为手术禁区。近年来,随着显微手术技术、神经电生理监测及神经导航系统的发展,脑干手术已成为可能。但直至今日,能熟练完成脑干肿瘤切除的医生仍为数不多。
脑干自上而下可分为中脑、脑桥与延髓。同属脑干区域的手术,延髓手术的风险尤为突出。延髓解剖结构复杂、位置深在,手术切除肿瘤时,入路需穿过颅骨并避开颅底动脉、静脉窦及颅神经,操作难度极大。术中若稍有疏忽,患者可能出现心跳呼吸异常,术后无法自主呼吸、陷入长期昏迷或植物状态需入住ICU,甚至导致死亡,造成不可挽回的结局。而冯先生的肿瘤,恰好位于延髓!因此,主刀医生的选择至关重要。

然而,没有医生对手术有充分把握,下一步该如何?冯先生多方求医均未获得期望的结果。由于延髓位置极其疑难,多数医生建议保守观察或伽马刀治疗。“倘若能确保四五十年不出血,我们必然选择保守,问题在于再出血无法保证。”“我的想法是趁现在年轻且无症状,可行手术便进行,结果他们给我泼了冷水……”除非出血严重,方可考虑手术……换言之,必须持续等待,直至某天可能“爆发”,才能获得治疗“资格”。待到那时,严重症状还能恢复吗?这种被动等待的煎熬,比疼痛更令人折磨。
困境中的曙光:截然不同的手术建议。
冯先生不甘心年轻的生命终日受疾病威胁,通过多方查询与病友推荐,获悉一位国际脑干领域顶尖专家即将来华手术的消息。这位专家的回复,点燃了他的希望。可以手术,为避免此类血管畸形未来再出血及引发其他神经功能障碍,手术是必要的。伽玛刀治疗对患者而言是糟糕的选择!因其存在一定副作用,且伽玛刀绝对无法预防未来再出血,我在众多患者身上拥有相关经验,相关科学文献亦有记载。因此,我可以明确告知该患者,不应考虑伽玛刀治疗;他应选择手术治疗,因为手术能消除脑干血管畸形,并可预防未来问题。——INC巴特朗菲教授

脑干延髓海绵状血管瘤的手术入路需依据肿瘤具体形态特征选择,可选方案包括经髓帆入路、远外侧入路等,具体入路需根据患者个体情况及主刀医生的医学知识与经验制定。脑干延髓本身布满神经核团与传导束,而冯先生的血管瘤位置尤为刁钻,位于面听神经前下方与后组颅神经腹侧之间。

• 前方:支配面部表情与听觉的神经(任何损伤可致面瘫或耳聋)
• 背侧:控制吞咽与发声的颅神经群(误伤可能导致丧失进食功能)
• 深层:呼吸与心跳中枢(毫米级误差即关乎生死)
冯先生的手术方案确定为:1、乙状窦后入路延髓占位切除术;2、术中电生理监测(MEP+SEP)。2022年11月30日,该手术于苏州大学附属第四医院(苏州市独墅湖医院)如期实施,由巴特朗菲教授主刀。脑干海绵状血管瘤被顺利完整切除,未出现任何新发神经功能缺损。

术后第二天,他已能下床行走。术后首日ICU查房时,冯先生意识清晰,对答流畅,肢体活动灵活。面对巴教授询问感受,冯先生回答称手术刚结束清醒时左耳略有疼痛,但现已恢复,无其他不适。“今日已从ICU转入普通病房,目前状态很好,毕竟手术结束还不到24小时。四肢活动均无问题,仅有些许头痛,现通过打游戏、看手机转移注意力……”术后,冯先生妻子表示其恢复良好并致谢。术后第二天,巴教授查房时,冯先生精神状态极佳,无任何新发神经损伤。“没有任何不舒服的地方,”冯先生说道。巴教授听后甚感欣慰,冯先生也非常感谢巴教授成功为他实施手术。

手握方向盘,他重归生活正轨。从一次不经意的手麻到确诊脑干海绵状血管瘤,从夜夜难眠的恐惧到遍寻医生的彷徨,冯先生历经了一段身心俱疲的旅程。然而,绝境之中总有转机,一次主动选择的手术助他重返正常生活。值得注意的是,为冯先生主刀的INC巴特朗菲教授将于下周再度来华。这为更多面临类似困境的脑干等复杂位置神经外科疾病患者带来了希望。若您也有希望分享的经历或存在未解的疑惑,欢迎留言或于公众号主页发送消息……
- 所属栏目:颅内海绵状血管瘤
- 如想转载“脑干手术后能恢复正常人吗?现在,我能跑能跳,与常人无异”请务必注明来源和链接。
- 网址:https://www.incsg.com/huanzhegushi/xueguanliu/7744.html
- 更新时间:2026-03-10 11:08:59


