开颅后,朋友问我怎么头发还在!脑膜瘤手术究竟是微创还是开颅?
发布时间:2025-10-01 09:35:19 | 阅读:次| 关键词:开颅后,朋友问我怎么头发还在!脑膜瘤手术究竟是微创还是开颅?
- [案例]女儿用蓬勃的生命力打败了巨大胶质瘤,我们为她骄傲!
- [案例]当脑海绵状血管瘤引发严重癫痫,应该先解决哪个麻烦?
- [案例]曾患脑干肿瘤,开颅手术后1个月回归校园,拿下“三好学
- [案例]60多岁王先生脑干海绵状血管瘤术后2年随访情况
- [案例]30+创业精英突陷“耳鸣噩梦”,听神经瘤疑云背后竟是虚
- [案例]脑膜瘤如“章鱼”盘踞在脑中,视力模糊、嗅觉减退…不
"你是否并未接受手术?"
工作、旅行、健身、育儿——视频中的小宛(化名)以积极的生活态度填满了日常的每个角落。观察她精致的面容与乌黑飘逸的长发,几乎无人能想象她刚刚经历了一场高风险的岩斜区脑膜瘤开颅手术。

"接受开颅手术后,我仅在ICU观察4个多小时即转出,术后第2天即可下床活动,第8天顺利出院。由于未剃除全部头发,目前连伤口区域也已长出新生毛发,完全看不到手术痕迹……"面对病友的疑问,她微笑着分享自己的手术经历。实际上,手术仅剔除了极少量的头发,即使她自己仔细照镜也难以察觉。
▼ 小宛与主刀福教授术后合影

实际上,经历过INC国际教授手术的患者均了解,他们无需剃光全部头发,通常仅根据手术切口位置剔除周边少量头发。
为何无需剃除全部头发?
主要原因在于,手术过程中头发不会对术野造成干扰或增加感染风险。此外,若剃除全部头发,可能需要半年至两年时间才能恢复理想发量与发型,这无疑会影响许多患者的日常生活与工作。而对技术要求极高的教授们而言,他们不愿让此类情况发生。
当然,剃发仅是脑瘤手术中的一个细节。更多患者关心的是:脑膜瘤手术究竟属于微创还是开颅?
切口小即代表微创?
"医生,我母亲的脑膜瘤是否可以采用微创手术?目前是否还能通过鼻腔进行手术?"
我们首先需明确"微创"这一概念:其核心在于尽可能减少对正常脑组织的干扰,实现肿瘤的精准切除,而不仅仅是关注切口大小。
"您的意思是……仍然需要开颅是吗?我听说开颅手术非常可怕。"
举例来说,脑膜瘤如同生长在房间角落的"蘑菇"。这个房间即是坚硬的颅骨,保护着内部娇嫩如豆腐的大脑组织。所谓"微创手术",其目标是在不损坏房间内任何珍贵"家具"(即正常脑组织)的前提下,精准移除那个"蘑菇"。为实现这一目标,我们首先需找到一扇通往该角落的"门"。
"那么这扇'门'是……"
这扇"门"可以是在头皮和颅骨上开设的窗口,也可以是鼻腔路径。具体选择取决于"蘑菇"的位置、大小及其与周围重要神经血管的关系。
因此,"微创"更应被视为一种理念与技术,而非仅指切口大小。只要能够实现对脑组织的最小损伤,即使需要通过颅骨开口达成这一目标,也属于微创手术。
手术的最终追求是"脑组织"的微创,而非仅仅是"颅骨"的微创。
脑膜瘤治疗:开颅与经鼻手术的案例比较
从小宛的案例中我们了解到,她的岩斜区脑膜瘤通过开颅手术(采用改良版Kawase入路)成功切除。岩斜区是颅底解剖结构最复杂的区域之一,由颞骨岩骨尖端、蝶骨表面后下部以及枕骨斜坡部共同构成。该区域肿瘤常涉及重要血管神经,压迫颅神经、后循环重要血管,推挤脑干和小脑,这些因素均增加了手术难度与风险。手术入路选择多样且各具局限性,不同病变的形态与生长特点决定了手术入路的设计,这对肿瘤切除程度及减少并发症至关重要。

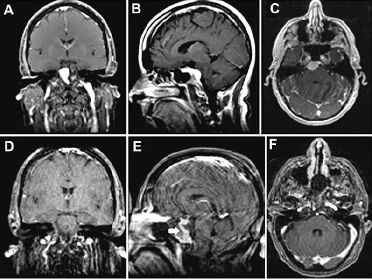
案例1:开颅手术切除岩斜区脑脑膜瘤
53岁女性患者,表现为搏动性头痛,并发现左眼视力急剧下降。MRI显示岩斜上交界处存在一均匀强化的肿块,广泛附着于上斜坡和天幕(图A和B)。采用Kawase入路进行手术。在滑车神经入幕附近行小脑幕切口后,可见三叉神经向双侧下移位,部分被肿瘤包裹,与上斜坡相连,且部分钙化。外展神经在肿瘤切除后观察到向下移位。术后MRI(图C和图D)显示肿瘤完全切除,无脑组织损伤。患者术后出现部分侧视麻痹,1个月后完全消失,功能恢复正常。

图示:术前图像(A和B)提示岩斜区均匀强化肿瘤,起源于岩尖,附着于小脑幕。肿瘤推挤脑干,侵犯海绵窦。术后(C和D)显示肿瘤全切。
案例2:经鼻内镜切除岩斜区脑膜瘤
52岁女性患者,表现为复视及间歇性头痛。体检发现右眼外展功能受损。MRI显示右岩斜交界处肿块均匀强化,伴广泛斜坡附着,提示脑膜瘤(图A-C)。行部分岩尖切除术。术后MRI证实肿瘤全切(图D-E),无脑组织损伤。注:采用增强鼻中隔皮瓣进行重建。患者术后第7天出现脑脊液漏,手术检查发现由鼻中隔皮瓣右上角移位引起,但移位已成功永久矫正。患者术后恢复良好,复视消失,外展功能恢复正常。

图示:术前图像显示起源于上斜坡的岩斜脑膜瘤。肿瘤均匀强化,脑干受压,无海绵窦侵犯。术后图像显示肿瘤完全切除。E:图中白色箭头示血供保留的增强重建鼻中隔。
岩斜区脑膜瘤两种手术方式的应用比较
INC旗下世界神经外科顾问团成员、世界神经外科联合会终身荣誉主席、高难度手术入路Kawase入路创始人Takeshi Kawase(河瀬斌)教授曾发表研究《Comparative analysis of the anterior transpetrosal approach with the endoscopic endonasal approach to the petroclival region》,比较了岩骨前入路(ATPA)与经鼻内镜入路(EEA)的解剖特点,并结合岩斜区脑膜瘤手术案例分析了不同入路的适应症及优缺点。
Kawase入路是一种通过中颅窝底进入岩斜区的成熟技术。此外,对于经过筛选的合适患者,由经验丰富的颅底外科医生实施经鼻内镜岩斜区手术是可行、安全且有效的。每种入路的关键解剖标志包括中线、岩段颈内动脉水平面、斜坡旁段颈内动脉以及外展神经。
岩骨部颈内动脉的水平段、斜坡旁段以及外展神经均为该区域的重要解剖标志;当肿瘤位于岩斜区中部及外展神经尾侧时,EEA入路优于Kawase入路;当病变位于颈内动脉岩旁段后方或侧方,以及病变累及中颅窝或颞下区时,Kawase入路优于EEA入路。这两种入路优势互补,对于复杂病变可联合两种或更多入路以实现肿瘤切除目的。
- 所属栏目:脑膜瘤
- 如想转载“开颅后,朋友问我怎么头发还在!脑膜瘤手术究竟是微创还是开颅?”请务必注明来源和链接。
- 网址:https://www.incsg.com/huanzhegushi/naomoliu/6756.html
- 更新时间:2025-10-01 09:27:15


