不同医生不同治疗方案,75岁查出巨大枕骨大孔区脑膜瘤怎么办?
发布时间:2025-09-30 10:31:08 | 阅读:次| 关键词:不同医生不同治疗方案,75岁查出巨大枕骨大孔区脑膜瘤怎么办?
- [案例]脑膜瘤如“章鱼”盘踞在脑中,视力模糊、嗅觉减退…不
- [案例]60多岁王先生脑干海绵状血管瘤术后2年随访情况
- [案例]30+创业精英突陷“耳鸣噩梦”,听神经瘤疑云背后竟是虚
- [案例]当脑海绵状血管瘤引发严重癫痫,应该先解决哪个麻烦?
- [案例]女儿用蓬勃的生命力打败了巨大胶质瘤,我们为她骄傲!
- [案例]曾患脑干肿瘤,开颅手术后1个月回归校园,拿下“三好学
75岁的汉娜是一位性格开朗的女性。随着年龄增长,她发现自己的健康状况开始出现衰退,起初汉娜以为这只是正常的衰老现象,并未过多关注。然而随着时间的推移,汉娜逐渐出现行走不稳、步态障碍,并伴有显著颈部疼痛。意识到情况异常后,汉娜前往医院就诊。检查结果显示,其症状并非正常衰老所致,而是由颅内巨大肿瘤引起——枕骨大孔区脑膜瘤,肿瘤已将延髓压迫至近乎不可见的状态,并包绕左侧椎动脉。
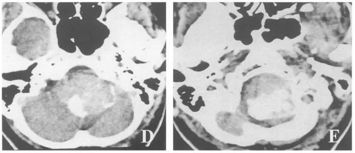
术前MRI与CT评估


多数人都了解脑膜瘤多为良性且生长缓慢,但当高龄患者遇上脑膜瘤,是否还有手术必要?
"部分医生建议先行放疗,认为高龄患者手术风险较大!"
"另有医生认为肿瘤体积过大,放疗效果有限,仍建议手术,尽管存在一定风险..."
针对这一脑膜瘤,医生意见存在分歧。
汉娜面临两难抉择:
不进行手术,期待脑膜瘤不会快速生长,但根据目前肿瘤情况并不乐观,继续生长可能导致症状进一步加重;

接受手术,但因年龄较大,难以保证手术过程中不会出现突发状况。
该手术主要存在两方面风险:一是手术本身的风险,包括麻醉、开颅操作以及肿瘤体积过大等因素。患者年龄已达75岁,各脏器功能、全身状况及抵抗力相对较差。
二是枕骨大孔区脑膜瘤开颅手术风险极高,主要原因在于该区域毗邻生命中枢脑干、重要神经血管及延髓结构,手术操作空间极为有限,易引发呼吸心跳骤停、后组颅神经损伤(导致吞咽困难、声音嘶哑)及肢体瘫痪等严重并发症。
经过深思熟虑和充分的思想准备,汉娜最终决定接受手术。
巴教授枕骨大孔区脑膜瘤手术技术分享

在本例手术中,巴教授首先实施C1左侧半椎板切除术,清除椎动脉周围软组织,充分显露椎动脉;脑膜瘤全切后,可见受挤压移位的延髓、双侧椎动脉、左侧小脑后下动脉(PICA)近端及椎动脉汇合部;脑干表面及软膜血管丛保持完整。术后未出现新增神经功能障碍。

枕骨大孔区脑膜瘤易误诊、漏诊原因分析
枕骨大孔区脑膜瘤患者初始症状常不明显,多表现为颈枕部疼痛,颈部活动或咳嗽等用力动作时可诱发或加重症状,临床上易与颈椎病等疾病混淆。且其症状表现多样,多数患者直到肿瘤体积较大时才出现明显临床表现,故早期常被误诊或漏诊。
单纯依靠临床表现诊断枕骨大孔区脑膜瘤是不够的,加之其早期临床表现不典型,需依赖影像学技术进行疾病诊断和定位。临床常用检查方法包括CT、MRI、DSA等。

MRI是目前确诊枕骨大孔区脑膜瘤的重要手段。T1加权像多呈等信号或略低信号,T2加权像为等信号或高信号,部分病例可见囊变坏死、出血征象,肿瘤边界大多清晰。静脉注射钆造影剂增强扫描后,肿瘤呈现显著均匀强化,大部分病例可见典型"脑膜尾征"。
同时,MRI矢状位和冠状位图像可直接显示延髓、颈髓受压情况。当肿瘤侵犯脑干软脑膜时,T2加权像可见脑干区域高信号改变,FLAIR像表现更为明显,这常提示脑水肿存在,肿瘤压迫脑干导致水肿往往影响肿瘤切除程度及术后并发症发生。增强结果可反映肿瘤血供情况,轴位及冠状位图像也有助于判断肿瘤与同侧椎动脉及周边硬脑膜的关系。MRI也是鉴别枕骨大孔区肿瘤与颈椎病、寰枕畸形等重要手段。

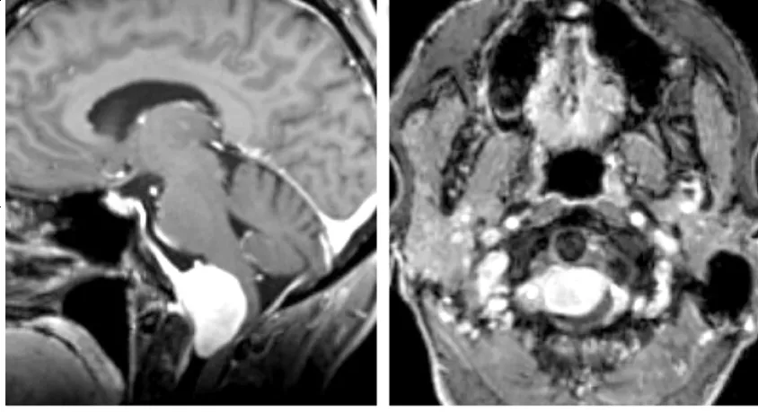
图示:典型枕骨大孔腹侧脑膜瘤,伴沿斜坡走行的鼠尾征(上图),肿瘤常侵犯颈静脉孔增加手术难度,需采用远外侧入路切除肿瘤。

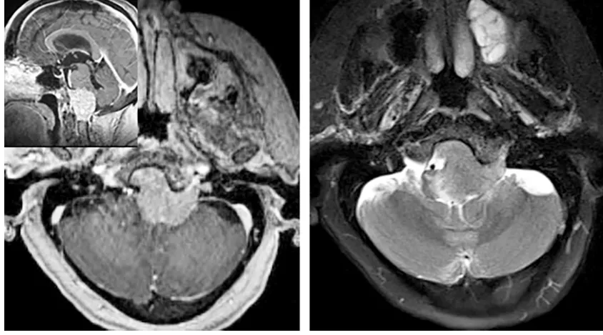
图示:枕骨大孔脑膜瘤伴脑干水肿提示软脑膜受累,此时应考虑次全切除以保护神经功能。
CT在显示骨质结构方面较MRI更具优势,部分肿瘤对骨性结构具有侵袭性和破坏性。CT三维成像技术的发展使颅颈交界区骨质结构及血管三维重建成为可能,能够立体直观地显示患者枕骨大孔、寰椎、枢椎等颅底骨质结构及肿瘤与重要血管间的关系,呈现肿瘤周围重要血管、神经、骨质结构的立体空间关系。肿瘤强化明显,呈现典型"瘤染色"特征,有助于指导手术入路选择、骨质移除以及术中肿瘤暴露和保护重要血管神经。
DSA虽属有创检查,但是血管检查的金标准,能够清晰显示重要脑血管与肿瘤的位置关系,包括肿瘤的供血动脉及引流静脉。造影检查发现枕骨大孔区脑膜瘤的血供通常来自椎动脉、咽升动脉、枕动脉。在造影过程中,部分肿瘤可出现"肿瘤染色"表现。通过造影找到主要供血动脉,若介入导管能进入责任血管,可术前进行血管内栓塞,从而减少术中出血。
虽然大多数脑膜瘤属"良性"且生长缓慢,但若位于"交通要塞"枕骨大孔区,就必须高度重视。该区域位置关键,一旦确诊,通常建议采取积极治疗策略,不可掉以轻心。
应对此类肿瘤,应力争打好"闪电战",即早发现、早诊断、早治疗。目前,显微外科手术是主要治疗手段,医生会以高度精细的操作,在错综复杂的神经和血管网络中,争取完全切除肿瘤,同时最大限度保护重要组织结构。
若肿瘤复发,医生们可能有不同见解:部分"主动派"认为应趁肿瘤未进一步发展时再次手术清扫,通常效果较好;也有"观察派"认为,既然肿瘤生长缓慢,只要未出现新症状,可定期复查监测,待有变化时再处理。
至于放疗或伽马刀等方法,主要作为"辅助治疗手段",适用于那些手术未完全切除、复发或身体条件无法耐受大手术的患者,用于控制病情发展。
- 所属栏目:脑膜瘤
- 如想转载“不同医生不同治疗方案,75岁查出巨大枕骨大孔区脑膜瘤怎么办?”请务必注明来源和链接。
- 网址:https://www.incsg.com/huanzhegushi/naomoliu/6751.html
- 更新时间:2025-09-30 10:14:40


