良性脑膜瘤为何会突然恶化?从头痛到昏迷仅30小时,65岁老人遭遇罕见肿瘤危机
发布时间:2026-01-30 14:56:04 | 阅读:次| 关键词:良性脑膜瘤为何会突然恶化?从头痛到昏迷仅30小时,65岁老人遭遇罕见肿瘤危机
- [案例]30+创业精英突陷“耳鸣噩梦”,听神经瘤疑云背后竟是虚
- [案例]当脑海绵状血管瘤引发严重癫痫,应该先解决哪个麻烦?
- [案例]60多岁王先生脑干海绵状血管瘤术后2年随访情况
- [案例]脑膜瘤如“章鱼”盘踞在脑中,视力模糊、嗅觉减退…不
- [案例]女儿用蓬勃的生命力打败了巨大胶质瘤,我们为她骄傲!
- [案例]曾患脑干肿瘤,开颅手术后1个月回归校园,拿下“三好学
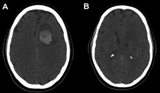
65岁男性患者因持续性头痛、眩晕24小时前往当地医院就诊。患者无慢性疾病史,未服用任何药物,基础血液检查结果正常。增强CT扫描显示左侧额上回区域存在与硬脑膜相连的类圆形病灶,病灶内部可见出血征象。

患者入院约6小时后病情急剧恶化,在转诊至上级神经外科中心途中突发意识丧失。紧急抢救后生命体征趋于稳定,抵达后立即进行CT复查,结果显示原病灶周围出现大量脑实质内出血及脑室内出血,确诊为良性脑膜瘤相关的"两阶段"复发性出血事件。
急诊手术与病理结果
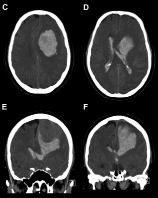
医疗团队实施紧急开颅手术,完整切除实体肿瘤及周围血肿,同时放置脑室外引流管缓解颅内高压。术后患者恢复良好,引流管按计划拔除,未出现脑积水并发症。三个月随访显示右侧偏瘫症状显著改善,MRI确认肿瘤完全切除,颅内无出血迹象。

术后病理检查诊断为过渡型脑膜瘤(WHO I级),肿瘤未侵犯脑实质,但可见急性出血区和含铁血黄素沉积,提示既往存在微出血史。病理学检查未发现病理性血管、梗死、坏死等非典型特征。

脑膜瘤分类与临床特点
根据2021年WHO中枢神经系统肿瘤分类标准,脑膜瘤分为三个级别:
WHO 1级:良性亚型,生长缓慢
WHO 2级:非典型肿瘤,具有中等侵袭性
WHO 3级:恶性类型,呈现侵袭性生物学行为
研究表明,大多数无症状脑膜瘤的年生长速度约为2.4毫米,但个体差异显著。良性脑膜瘤手术全切后预后良好,但恶性类型生长快速且呈浸润性生长,可能引起神经功能障碍。
临床治疗策略与风险管理
对于良性脑膜瘤的治疗需根据肿瘤位置、分级和临床症状制定个体化方案:
小型无症状肿瘤:建议采取积极监测策略,定期进行MRI随访
有症状或生长迅速的肿瘤:手术全切是首选治疗方案
手术难以全切的病例:术后可辅助放射治疗
临床实践表明,即使良性脑膜瘤也可能通过以下机制引起严重并发症:
占位效应导致颅内压升高
压迫重要神经血管结构
瘤周脑水肿加重神经损伤
急性出血引发肿瘤卒中
案例启示与临床建议
本案例由INC国际神经外科医生集团成员Helmut Bertalanffy教授团队报道,为首例经影像学和病理学证实的WHO I级脑膜瘤急性两阶段出血病例。案例提示对于伴有出血征象的脑膜瘤患者,建议早期手术干预实现肿瘤全切,避免复发性出血导致病情恶化。

临床诊疗中需注意,良性脑膜瘤虽然细胞学上恶变风险低,但可能因占位压迫或急性出血引发严重临床后果。任何脑膜瘤病例都需要神经外科专业评估和长期管理,不能因"良性"诊断而忽视潜在风险。
- 所属栏目:脑膜瘤
- 如想转载“良性脑膜瘤为何会突然恶化?从头痛到昏迷仅30小时,65岁老人遭遇罕见肿瘤危机”请务必注明来源和链接。
- 网址:https://www.incsg.com/huanzhegushi/naomoliu/7552.html
- 更新时间:2026-01-30 14:50:58
- 上一篇:38岁那年,医生从我“眉毛”里切出一颗脑瘤
- 下一篇:没有了


