手术很成功,33岁青年企业家却选择“提前退休”:胶质瘤治疗,他说这4个阶段最关键
发布时间:2026-04-04 09:55:19 | 阅读:次| 关键词:手术很成功,33岁青年企业家却选择“提前退休”:胶质瘤治疗,他说这4个阶段最关键
- [案例]这种脑瘤竟会影响孩子生长发育!一个7岁颅咽管瘤患儿的
- [案例]生长迅速、切不干净、总是复发,INC国际大咖一次手术全
- [案例]脑干胶质瘤放疗后复发:开颅手术全切及术后3天快速康复
- [案例]“小小英雄”打败近6cm巨大颅咽管瘤!家人的爱支撑着他
- [案例]看漏了核磁上的白点,国外一男孩险些病危,开颅一看众
- [案例]远外侧入路重要提出者全切脑干-高位颈髓腹侧病变,避免
一位33岁的青年企业家,正处于事业发展的黄金时期,却做出了提前退休的决定。这一选择背后,有着怎样的故事?
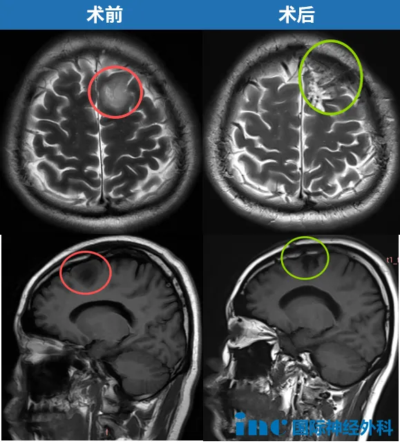
2025年,申先生在例行体检中意外发现胶质瘤。当时他并未出现任何临床症状,但仍果断接受了开颅手术。手术实现了肿瘤的扩大切除,术后病理学检查结果确认为WHO 2级少突胶质细胞瘤。面对深爱的家人,这次劫后余生的经历让他对人生规划产生了新的思考。他决定将更多时间用于陪伴家人,同时迎接新生命的到来,用心享受美好的生活。

这场胜利并非偶然,而是他人生哲学的自然体现:发现问题,直面问题,分析问题,最终解决问题。基于这一理念,他清晰地将自己的治疗过程划分为四个明确阶段:第一阶段为接受现实与消化情绪,第二阶段为多方求医与明确诊断,第三阶段为寻找最佳解决方案,第四阶段为执行手术。在每个阶段都尽力做到极致之后,他联系了INC国际神经外科的巴特朗菲教授,并在首都医科大学附属北京天坛医院国际部顺利接受了手术。术后当日即恢复意识,肢体活动自如,无需进入ICU监护。

对于众多面临脑瘤挑战的家庭而言,他的经历或许能带来一些启示:当疾病来临时,我们应如何一步步为自己赢得生机?从他的故事中,INC为您梳理出那些值得借鉴的关键抉择与心路历程。

第一阶段:面对——检出胶质瘤,首先稳定情绪
刚被诊断出胶质瘤时,患者产生恐惧与焦虑情绪是完全正常的反应。但要战胜疾病,必须具备积极主动、迎难而上的良好态度及坚强意志。
2025年8月,申先生重启了中断数年的体检。出乎意料的是,各项生理指标均显示良好,唯独脑部CT检查发现阴影。进一步的检查结果提示,可能存在脑胶质瘤。当时他的事业正处于高速发展期,家庭生活也幸福美满,这记“晴天霹雳”让他措手不及。

以往在商海搏击中磨练出的坚韧品质,此刻成为对抗病魔的有力武器。他首先着手稳定自己的情绪。“我花费了一周时间来消化自己的情绪。”申先生回忆道。他并未立即将焦虑情绪扩散给家人,而是选择先稳定自己的内心,随后安抚配偶,最后再告知父母,让情绪像涟漪一样自然扩散。
关于这一问题,我们在往期报道中也有分享,可以点击阅读:【与你同行】家人查出脑瘤,到底该不该让他们知道真相?
第二阶段:接受——多地求医,明确诊断
与脑瘤抗争绝非易事,实质上是患者将知识储备、判断能力与坚持意志都发挥到极致的过程。因此面对疾病时,保持清醒的头脑远比盲目前进更为重要,即不应急于求快,首先要确保选对方向。
消化情绪后,治疗进入关键阶段。申先生迅速展开多方求医,以明确诊断。他没有偏听一家之言,而是以近乎市场调研的严谨态度,奔赴上海、北京等国内多家医院,寻求多位专家的明确诊断。
“大多数医生基本都认为大概率是胶质瘤,需要手术,存在风险,让我回去考虑。”医生已经指明了大致方向,但显然未能充分回答申先生关于病情细节、手术方案、预后风险等诸多具体问题的切实诉求,因此他需要更清楚地了解“敌情”。
第三阶段:决策——寻找最佳解决方案
当明确了“是什么”之后,下一步需要解决的是“怎么办”。
出于对手术质量的追求,申先生的目标极其清晰:“要让全球技术拔尖的医生为我手术。”在广泛搜寻信息的过程中,一位“好像没有做过开颅手术的”脑瘤术后患者小宛引起了他的注意。
由于视频中的她行动自如、坚持健身、精神焕发,因而颠覆了他以往对脑部手术的种种成见,也正好符合他所追求的术后结果。他由此找到了INC,并进一步了解到了巴特朗菲教授。

9月上旬,他与巴教授进行了线上面对面咨询。正是这次沟通,让他确信找到了理想的主刀医生。“巴教授详细分析了手术切除范围以及并发症风险等所有细节。我能感受到他的那种匠心精神和精益求精,以及充分的人文关怀。”巴教授判断这是低级别胶质瘤,他有信心实现全切甚至扩大切除,且大概率避免并发症。
“原本也考虑去国外治疗,刚好INC能把巴教授请到国内手术,我就觉得这是一个非常幸运的机会。”他毫不犹豫地抓住了这个难得的机会。
第四阶段:拿下——成功手术后开启“新人生”
决策既定,便迅速执行。2025年9月,申先生在首都医科大学附属北京天坛医院国际部由巴特朗菲教授亲自主刀接受了手术。手术结果十分理想:肿瘤得以扩大全切(扩大3-5毫米),病理诊断为WHO 2级少突胶质细胞瘤,预后极佳。更让家属欣慰的是,术后申先生无需进入ICU,当天即恢复意识,肢体活动、语言功能都保持正常。

术后当天查房时,申先生表示:“从发现到手术切除胶质瘤,大约经历了一个半月,我当时完全没有症状。但是,我的人生哲学就是主动出击,积极面对,幸福的人生需要自己去争取和守护。”这种在无症状期的主动出击、精准解决的信念,也是他成功的关键。
此外,他相信科学与专业判断,因为“所有专家都建议手术,反之就像在等待一颗地雷爆炸。”
后记:重新定义成功,享受“人生小满”
成功手术后,他做出了一个大胆决定:从事业一线“退休”,将公司交给合伙人打理。“这场病对我来说像一份‘礼物’,让我提前从追求事业和财富的状态中暂时停下来。”他将更加注重饮食、睡眠、心情和运动。他还给新养的猫取名为“Balance”(小满),寓意“人生小满,身得自在”,每天带着它去公园晒太阳、散步。申先生的爱好也从激烈的足球转为网球、散步,还计划学习高尔夫。
关于未来,他制定了新的“五年计划”:第一,让自己的身体更健康;第二,多陪伴家人,添一两个孩子;第三,好好享受生活,把以前因忙于事业而错过的旅行、聚会都补上。既然已经提前“退休”,就要在年轻、能动、能享受的时候,好好珍惜当下。
由于脑瘤治疗是一条不可逆转的生命单行道,因此清晰的思路、充分的知识都是可靠的导航工具。临床预后良好的患者有一个十分明确、值得重视的共通特点:他们主动学习,对各治疗节点都作出审慎、有根据的决策,又根据自身情况主动征求领域内“高人”的多角度意见,由此确定合适方案。
- 所属栏目:胶质瘤
- 如想转载“手术很成功,33岁青年企业家却选择“提前退休”:胶质瘤治疗,他说这4个阶段最关键”请务必注明来源和链接。
- 网址:https://www.incsg.com/huanzhegushi/jiaozhiliu/7957.html
- 更新时间:2026-04-04 09:45:07


