“早熟”竟是脑瘤信号!7岁女童7年抗瘤路,母亲终在手术室外听到那句“手术很顺利”
发布时间:2026-03-12 10:22:16 | 阅读:次| 关键词:“早熟”竟是脑瘤信号!7岁女童7年抗瘤路,母亲终在手术室外听到那句“手术很顺利”
- [案例]“鼻孔内动刀”不开颅就取出较大脑瘤!单鼻孔神经内镜
- [案例]欢迎脑瘤小勇士归来!6岁男孩脑中钻进一条“大虫子”,
- [案例]五大关键点,助力脊索瘤治疗与控制,迈向“治愈”之路
- [案例]【治疗指南】INC国际福洛里希、Schroeder教授参与欧洲前床
- [案例]功能区海绵状血管瘤出血,导致肢体无力怎么办?
- [案例]脑干血管畸形案例:“脑干出血没有希望,动不了手术”
"太感谢了!太感谢了!"
神经外科手术室外,一位母亲紧握着颤抖的双手,当那个熟悉的身影出现,她几乎是小跑着冲了上去。
"没有问题,手术很顺利。"
短短一句话,让这位7岁脑瘤患儿母亲瞬间热泪盈眶。她紧紧拉住医生的手,深深弯下腰,用最质朴的鞠躬方式,诉说着一个母亲内心深处全部的感激之情。
谁能想到,这一切治疗过程的开始,竟然是因为孩子"早熟"现象的出现——这个被无数父母挂在心头的关键词。过早的身体发育背后,可能的原因复杂多样:或许是日常生活中接触了太多成人信息内容,或许是日常饮食结构存在某些隐患问题,或许是学习环境压力带来的影响……但还有一种更需要引起高度警惕的可能性,正如这个7岁女孩妙妙的临床遭遇所呈现的——下丘脑肿瘤病灶的存在。这颗深藏在大脑内部的"肿瘤种子",通过干扰患者正常的内分泌系统功能,强行拨快了她身体成长发育的生理时钟。
7岁女孩,脑中住着"肿瘤君"
病魔的降临过程并非完全毫无临床征兆。时间倒流回到2016年,当时年仅7岁的女孩妙妙因为怀疑存在早熟问题,父母带着他前往医院进行进一步检查时发现,"导致早熟的罪魁祸首"竟然是她脑子里面存在的肿瘤组织。
虽然肿瘤病灶是可以通过外科手术方式进行切除治疗的,但妙妙的肿瘤位于鞍区位置,手术操作过程存在一定的临床风险。医生当时建议定期进行影像学复查,采取保守观察的治疗策略。
为了孩子的临床安全考虑,妙妙的父母无奈听从了医生的专业建议。而孩子也开始了长达一年的性早熟相关药物临床治疗过程。
从2016年至2019年,整整3年时间,虽然定期复查结果显示肿瘤体积没有明显变大,但是妙妙的体重出现了明显增加趋势,总是表现出吃不饱的临床状态。期间还偶有头痛头晕等神经系统临床症状出现。
令人感到临床欣慰的是,妙妙积极配合着每一次的定期复查过程,和同龄孩子一样,保持着爱笑、爱跳的健康生活状态。
第一次手术:脑室腹腔分流术
2023年5月,妙妙突然出现剧烈头痛症状,伴随呕吐临床表现。在当地医院进行颅脑CT检查后提示存在明显的脑积水情况。由于脑积水的临床表现较为严重,医生需要为妙妙实施排脑脊液的外科手术治疗方案。
脑室腹腔分流术是治疗脑积水临床表现最经典的外科手术方式,通过手术操作将分流管植入患者的脑室和腹腔内部,将脑室内过多的脑脊液引流至腹腔区域,再由腹腔组织进行吸收处理,最终达到有效治疗脑积水的临床目的。
随即妙妙在当地医院进行了脑室腹腔分流术手术,临床症状得到明显缓解改善。
但这个手术方案只能实现治标不治本的临床效果,虽然症状暂时得到缓解,它不会干扰肿瘤本身的生长过程,更不会让肿瘤组织自动消失。
再一次症状加重,还能保守观察吗?
2023年12月初,妙妙早上起床后头晕症状出现了明显加重趋势,偶尔会有头疼临床表现,体重增加速度变快。这些临床迹象意味着肿瘤病灶可能已经悄悄发生了一些临床变化。
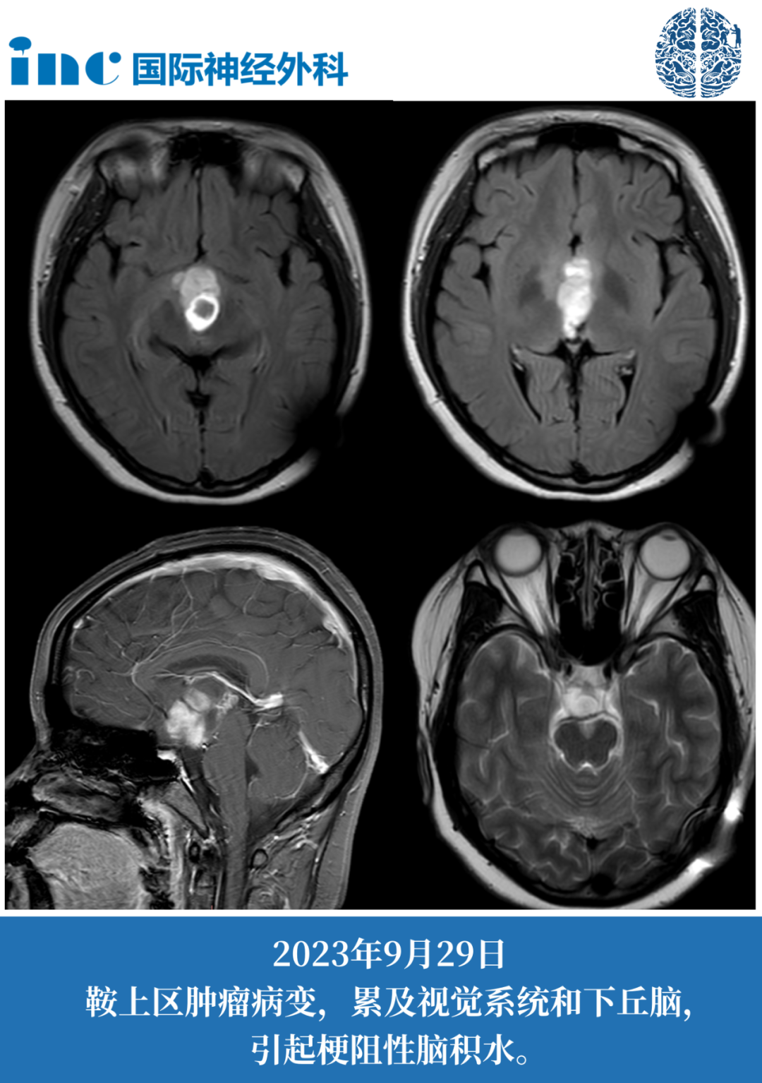
进一步复查检查发现肿瘤组织具有很明显的占位效应表现,已经危及视神经及视交叉的临床功能(两者已经被肿瘤组织所累及),存在明确的外科手术临床指征。
▼激素水平情况


外科手术治疗过程不能再等待下去,肿瘤组织一旦进一步增大体积,妙妙可能面临更加严重的神经系统临床问题。
看着只有14岁的孩子需要进行开颅手术操作,家里人的心情非常痛苦,同时也非常慎重思考,到底去哪里才能得到更好的临床治疗服务?
关关难过,关关过。尽一切努力陪伴孩子进行治疗
对许多患儿家庭来说,儿童肿瘤疾病的诊断结果会让本该平静的家庭生活发生天翻地覆的临床变化。在第一时间,恐惧和茫然无措的情绪占据着家属们的大脑思维过程。
"这到底是怎么回事情况?"
"我现在应该怎么办才好?"
"我当初如果能够提前知道就好了"。
但是,在妙妙父母身上我们看到了他们身上所具备的优秀品质:时刻保持清醒的思维状态,沉着冷静地面对临床挑战。
对于父母来说,他们的核心临床诉求是尽一切可能性的努力陪伴孩子进行系统性治疗,认真努力地做好这个漫长过程中的每一个临床步骤。
他们竭尽全力打听治疗这个疾病更好的医院和专家医生信息,从网络上全面了解疾病的各种临床知识内容,渴望能够为女儿的治疗过程找到关键性的临床突破点,尽可能为女儿减轻治疗过程中的痛苦体验……
在一次偶然的机会下,他们了解到了INC巴特朗菲教授即将来华进行临床交流的信息,坚定地选择了巴教授的专业指导,一家人的全部希望都寄托于此次的临床机会。
孩子生病期间,除了身体层面的临床治疗外,不可忽视的还有孩子心理层面的临床疗愈过程。家长不应一味地向孩子隐瞒真实病情情况,而要逐步消除孩子内心深处的恐惧情绪,用积极乐观的心理状态、坚定不屈的临床信念,坚持下去就已经实现了一半的临床自愈目标。
这也是每一次和巴教授进行专业咨询交流的过程中,我们都可以看见妙妙亲身在场的身影。她没有表现出明显的畏惧情绪、害怕心理,而是始终以微笑态度面对整个治疗过程。
他们最想知道的核心临床问题就是能否通过外科手术方式完整切除这个伴随孩子长达7年时间的肿瘤临床噩梦。巴教授又会如何进行专业性的临床评估?
"由于肿瘤组织具有很明显的临床占位效应表现,已经危及视神经及视交叉的正常功能(两者已经被肿瘤组织所累及),存在明确的外科手术临床指征要求。在我以前的临床患者中,有很多这类肿瘤疾病的典型临床案例……"
奔赴苏州,只想要尽快进行手术治疗
得到巴教授精确详细的专业临床评估之后,夫妻两人经过认真商量讨论,最终决定这一次的临床示范手术治疗方案。他们带着女儿踏上了前往苏州的专业治疗之行。
求医之路漫漫漫长,但有两件事情最为重要关键,一个是取得家人全体成员的临床支持理解,一个是做出正确科学的临床治疗选择,这次的临床选择让女儿在后续的整个治疗过程中都顺利完成了各项临床环节。
对手术操作者而言,手术室内部并没有所谓的临床奇迹发生。成功的外科手术操作过程是他们精湛医术临床能力的必然结果表现。但对患者及其家庭来说,从临床绝望中走出来,生命得以延续延续,堪称医学层面的临床奇迹表现。
每一次在华进行临床示范教学手术之前,巴教授都会联合中国国内的神经外科医生专业团队进行详细的手术预案制定过程。
而这一次,巴教授也提前抵达了苏州大学附属儿童医院专业机构。夜幕降临时刻,抵达医院后的巴教授立即与中国手术专业团队详细讨论手术整体方案,与患者家属进行术前专业谈话,为第二天即将开展的手术操作过程做好充分全面的临床准备工作。

幸运的是,妙妙目前的临床视力表现、视野范围没有受到明显的临床影响。
巴教授专业解释道:这是一个良好的临床现象表现——术前临床视力状况越差术中操作过程越容易造成神经损伤,因为粘连状态会越为紧密。术前临床视力状况越好就越容易将患者视力功能有效保留下来。
手术成功,妙妙抗击肿瘤治疗路上的"临床里程碑"
"我很相信巴教授的专业能力!"他们深信巴教授一定可以驱除这个伴随孩子长达7年时间的肿瘤临床噩梦。
经过长达7年时间的疾病病程过程,她终于等到了巴教授的专业临床指导。
苏州大学附属儿童医院专业手术室内部,妙妙的外科手术正在进行过程中……
手术室内部光芒四射的专业无影灯设备,如同照进人生至暗时刻的一束临床光明,也将照亮这位年轻女孩的未来成长之路。

最终,这台外科手术顺利完成完成,一家人悬着的心情终于可以落地了,妙妙也赢得了健康成长的临床生机机会。

术后病理检查结果为节细胞胶质瘤临床诊断,虽然由于术前妙妙的下丘脑区域已经被肿瘤组织侵犯了,病史时间太久太长,很难通过外科手术切除方式来彻底改变妙妙的内分泌系统问题。但是我们坚定相信,经过后期科学系统的临床治疗过程,妙妙的临床状态也会恢复得越来越良好。

划重点:关于节细胞胶质瘤的专业小科普
什么是节细胞胶质瘤?
节细胞胶质瘤和节细胞瘤通常出现在儿童和年轻成人患者群体中;大部分专业研究中的患者平均年龄约为20岁左右。这些肿瘤组织可出现在整个中枢神经系统的任何解剖位置,但大多是幕上肿瘤结构且位于颞叶区域。癫痫发作是最常见的临床主诉症状表现,并且频发长时间的癫痫临床表现。节细胞胶质瘤可为行颞叶切除术治疗癫痫疾病时的临床偶然发现结果。
节细胞胶质瘤怎么进行临床治疗?预后情况如何?
初始阶段的临床治疗是外科手术切除操作。作为Ⅰ级肿瘤组织类型,节细胞胶质瘤患者在肉眼下完全切除术后长期生存率表现很高,临床复发率表现较低。一篇专业文献综述纳入了1978-2007年间报道的400多例节细胞胶质瘤患者,发现对于188例在诊断时仅进行了肉眼下完全切除术的患者,10年局部控制率和OS分别为89%和95%临床数据。
进行次全切除术操作的患者局部控制率和OS表现较低,但临床预后情况仍然表现良好。该综述研究显示,在193例进行次全切除术操作的患者中,10年局部控制率为52%-65%,10年OS为62%-74%临床数据。亚组分析显示,次全切除术后接受放射治疗可改善局部控制率(10年时:65% vs 52%临床数据),但不能明显改善OS临床表现。除了次全切除术操作外,与复发/进展临床风险增加相关的因素包括:患者年龄较大(例如,>30或40岁临床阶段),肿瘤位置不是位于颞叶区域,并且至少在既往专业研究中还包括高级别/间变性病理学特征表现。
术后第2天普通病房查房:妙妙临床意识状态表现清醒,能够正常打招呼交流。术后第4天普通病房查房:妙妙可以下地进行独立行走活动,临床状态表现逐渐好转恢复,巴教授专业告知术后核磁检查结果很好,肿瘤组织已经实现临床完全切除目标。
妙妙术后恢复情况表现良好,顺利完成了出院临床过程,虽然术前阶段的内分泌系统紊乱临床表现仍然存在,但也在慢慢康复临床过程中。虽然这是一个漫长而艰苦的专业治疗过程,我们坚定相信可以战胜病魔的临床挑战。
案例后记
生活有时会偏离正常的临床轨道过程,厄运的降临过程毫无临床预兆表现。在那些本该恣意生长、憧憬未来美好生活的年岁阶段里,病痛临床过程却为鲜活的生命状态蒙上一层临床阴影表现。然而,在这条艰难的专业治疗之路上,像妙妙一样的孩子患者,用他们未曾放弃的专业脚步,给我们留下了深刻的临床感动体验。无论前路多少临床难关挑战,他们始终向前专业迈进,一步一步专业步伐,走得坚定而专业。
在这场与疾病过程的无声临床较量过程中,所有坚持与守候的专业态度,都只为一个最简单纯粹的临床心愿目标——健康成长过程。而这份临床心愿状态,也正迎来新的临床希望曙光:INC巴特朗菲教授即将于下周来华进行专业交流,为更多复杂神经外科疾病患者提供面对面专业咨询与高难度手术示范操作,点亮更多家庭的专业未来之路。
- 所属栏目:胶质瘤
- 如想转载““早熟”竟是脑瘤信号!7岁女童7年抗瘤路,母亲终在手术室外听到那句“手术很顺利””请务必注明来源和链接。
- 网址:https://www.incsg.com/huanzhegushi/jiaozhiliu/7756.html
- 更新时间:2026-03-12 10:11:59


