看漏了核磁上的白点,国外一男孩险些病危,开颅一看众人汗毛倒立!
发布时间:2026-01-16 10:13:53 | 阅读:次| 关键词:看漏了核磁上的白点,国外一男孩险些病危,开颅一看众人汗毛倒立!
- [案例]“这是为你好!”——脑瘤术后,医生为何在我的颈椎内
- [案例]复发难治性脊索瘤5年4次手术,国际教授经鼻内镜+开颅手
- [案例]“头痛得脑子都快移位了”他如何摆脱巨大岩斜区脑膜瘤
- [案例]突发晕厥伴意识丧失?术后4天,她成功脱险高危脑干背侧
- [案例]医生患脑干海绵状血管瘤并出血,于 “脑干禁区” 绝境自
- [案例]年龄小、体重低、肿瘤大怎么办?INC福洛里希教授8mm切口
核磁共振图像上的一个微小白点被疏忽,导致一名国外男童几近病危,开颅手术中所见情形令医疗团队倍感震惊。该白点的临床意义何在?对于患者KK的家人而言,这引发了长达数月的忐忑历程,期间死神多次逼近这名5岁患儿,尽管化疗、外科手术及新型疗法相继应用,其颅内怪异肿瘤不仅未受抑制,反而呈现进行性增大。

01. 白点遗漏与病情急剧恶化
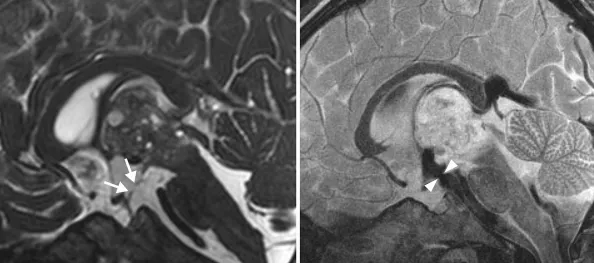
5岁患儿KK作为家庭核心关爱对象,不幸出现健康问题。初始症状包括头痛与癫痫发作,家属携其就医后,头部核磁共振检查仅发现左侧额颞部存在蛛网膜囊肿,而位于第三脑室的一个小白点被漏诊,这成为后续一系列不良事件的起点。10日后,KK症状无改善,因剧烈头痛和呕吐再次入院,但本次未行影像学复查,仅通过腰椎穿刺排除脑膜炎后即出院。不料8天后病情急速加重,复查核磁显示原被忽视的小白点已发展为致命性病变——引发导水管梗阻和脑积水。

02. 多学科治疗与肿瘤持续进展
确诊后立即启动治疗方案。医疗团队尝试放置脑室外引流管,并通过脑脊液检测明确诊断为恶性生殖细胞肿瘤。因当地资源有限,KK被转至上级医疗中心,医生首先移除外引流管,实施内镜下第三脑室造瘘术(ETV)及隔膜造口术,成功控制脑积水。然而,原发肿瘤仍构成严重威胁,故迅速给予两个疗程化疗,但影像监测显示肿瘤持续生长,并阻塞双侧室间孔,经多学科讨论后行脑室腹腔分流术作为抢救措施。更令人担忧的是,后续2个月内即使接受大剂量化疗和干细胞移植,肿瘤体积依然增加。


03. 手术全切与长期康复结局
最终KK转诊至INC施罗德教授所在机构,教授主刀开颅手术。术中发现令人惊愕:肿瘤内包含毛发及牙齿样结构,提示为畸胎瘤。术后影像确认肿瘤全切,患儿恢复良好,无神经功能缺损。7年随访数据显示其健康状况稳定,无复发征象,脑积水完全消退,该5岁男童重获正常生活。



- 所属栏目:脑肿瘤
- 如想转载“看漏了核磁上的白点,国外一男孩险些病危,开颅一看众人汗毛倒立!”请务必注明来源和链接。
- 网址:https://www.incsg.com/huanzhegushi/naozhongliu/7470.html
- 更新时间:2026-01-16 10:01:09


