订完婚查出巨大鞍区肿瘤,平安夜开颅后,她的状态超出预期!
发布时间:2026-01-09 09:45:41 | 阅读:次| 关键词:订完婚查出巨大鞍区肿瘤,平安夜开颅后,她的状态超出预期!
- [案例]60多岁王先生脑干海绵状血管瘤术后2年随访情况
- [案例]当脑海绵状血管瘤引发严重癫痫,应该先解决哪个麻烦?
- [案例]脑膜瘤如“章鱼”盘踞在脑中,视力模糊、嗅觉减退…不
- [案例]30+创业精英突陷“耳鸣噩梦”,听神经瘤疑云背后竟是虚
- [案例]曾患脑干肿瘤,开颅手术后1个月回归校园,拿下“三好学
- [案例]女儿用蓬勃的生命力打败了巨大胶质瘤,我们为她骄傲!
27岁女性患者武女士在订婚不久后检出鞍区巨大占位性病变,正常生活被迫中断。患者与配偶共同面对这一重大健康挑战。在家人全力支持和配偶不懈努力下,武女士最终决定接受巴特朗菲教授手术治疗。
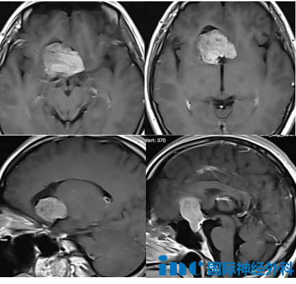
2025年平安夜,武女士接受开颅手术,手术结果令人满意:肿瘤完全切除,垂体柄成功保留,术后第一天即从ICU转至普通病房。巴特朗菲教授在术后查房时确认患者视野和视力无新发损伤,术后第三天患者可下床活动,恢复速度超出预期,伤口愈合良好。术后第四天MRI检查证实肿瘤全切,患者整体状况良好。

疾病发现与诊断经过
武女士与配偶感情稳定,在确诊脑瘤前刚完成订婚。2025年10月,患者出现幻嗅症状(突发性闻到异常气味),随后发生头痛和癫痫发作。尽管住院期间使用安定类药物治疗,仍出现多次轻微抽搐。MRI检查显示鞍区存在3.3cm×4.2cm×4.1cm巨大占位,已导致双侧大脑前动脉受压移位。

至2025年底,患者出现右侧视野缺损和记忆力减退症状。心理压力成为主要困扰,患者表示:"原本健康活跃的人突然确诊大肿瘤,特别是有次夜间癫痫发作用药后出现麻木感,更加重了焦虑。"幸运的是,家人的支持帮助克服了恐惧,随着癫痫症状被药物控制,患者心态转为积极:"相信一定能治愈,问题不大。"

诊疗决策与手术准备
为寻求最佳治疗方案,武女士和配偶咨询多位专家。有医生告知肿瘤情况严重需立即手术,否则可能导致瘫痪;另有专家指出肿瘤血供丰富且与动眼神经关系密切,完全切除困难,手术存在大出血风险,甚至可能需二次手术。
转机出现在配偶找到巴特朗菲教授资料后。患者表示:"配偶认为必须考虑周全,在有条件的情况下降低风险。我才20多岁,如果出现视力问题将终身遗憾。"12月初通过INC安排视频咨询,巴特朗菲教授明确表示:"肿瘤可手术切除,全切可能性高,预后良好。虽肿瘤侵犯大脑前动脉,但我在此类手术中从未发生过血管损伤。"
这番专业评估消除了患者和家属的顾虑,从咨询到手术仅用半个月时间。手术关键点在于鞍内部分处理——肿瘤起源区域,需谨慎操作保护垂体功能,同时注意保护受侵犯的血管。

手术结果与康复情况
平安夜当天手术顺利实施,肿瘤完全切除的同时成功保留垂体柄。患者术后恢复迅速,第一天即确认无并发症发生,第三天可下床活动,第四天MRI确认肿瘤全切。患者表示:"术后感觉良好,与正常人无异,可能需短期激素调整,但垂体柄未受影响则问题不大。"
术后第六天接受采访时,患者精神状态良好,对手术效果满意,计划先休息调整一年。整个治疗过程中,患者始终保持乐观心态,甚至玩笑称头部切口像"阿哥",这种积极态度成为康复的重要助力。

专家团队与治疗建议
巴特朗菲教授作为INC国际神经外科医生集团旗下世界神经外科顾问团成员,在颅底肿瘤手术领域具有丰富经验。该病例成功表明,对于复杂鞍区肿瘤,经验丰富的手术团队结合先进技术设备,可实现良好治疗效果。
针对类似病例,建议患者:
及时就诊:出现幻嗅、头痛、视力视野改变等症状时应及早检查
全面评估:寻求多学科专家意见,制定个体化治疗方案
心态调整:保持积极乐观心态有助于治疗效果和康复进程
专业选择:选择具有丰富类似病例经验的医疗团队
本案例显示,即使面临鞍区巨大肿瘤的严峻挑战,通过精准手术和综合管理,患者仍可获得良好预后,恢复正常生活。
- 所属栏目:脑肿瘤
- 如想转载“订完婚查出巨大鞍区肿瘤,平安夜开颅后,她的状态超出预期!”请务必注明来源和链接。
- 网址:https://www.incsg.com/huanzhegushi/naozhongliu/7423.html
- 更新时间:2026-01-09 09:39:06


