5岁男孩接连出现乏力、头痛、恶心、易怒,一查竟是罕见颅底肿瘤!
发布时间:2026-01-11 09:57:48 | 阅读:次| 关键词:5岁男孩接连出现乏力、头痛、恶心、易怒,一查竟是罕见颅底肿瘤!
- [案例]【INC德国巴教授脊髓髓内肿瘤案例】致瘫、致残……脊髓
- [案例]确诊后生存期仅1年的恶性胶质瘤,她分享如何实现18年长
- [案例]脊索瘤预后差、易复发?四位脊索瘤患者的求生实录
- [案例]300+成功案例!让这种脑干肿瘤走出禁区,原来手术才是“
- [案例]一次寻常的电梯乘坐后,我突发脑干出血,经120紧急送医
- [案例]写字困难到急性出血,看INC国际巴教授如何为他安全全切
INC国际儿童脑瘤专家、《Child's Nervous System》现任主编Concezio Di Rocco教授团队于2009年发表研究《5-YEAR-OLD BOY WITH A CLIVAL MASS》,报道首例儿童斜坡区上皮样肉瘤病例。该病例通过详实的临床、影像学和病理学资料,完整呈现了这一罕见病变的特征。此案例扩展了斜坡区及儿童颅底肿瘤的鉴别诊断范围,为该部位上皮样肉瘤的诊疗提供重要参考。


该5岁男童因颅内高压病史1个月,伴随神经功能缺损症状收治入院。初始临床表现包括乏力、头痛、恶心和易激惹。随病情进展出现右眼上睑下垂和眼球外展运动障碍。
影像学检查结果
神经影像学检查显示斜坡区骨质破坏性病变,病灶位于蝶鞍平面以下,伴有巨大软组织成分向颅内扩展。影像学特征包括:病灶呈实性、分叶状,信号均匀,明显强化,T2低信号提示细胞密度高。
平扫CT检查显示斜坡广泛骨质破坏,病灶位于斜坡中心区域,无骨性或软骨样基质。MRI平扫T1加权像呈等信号,T2加权像呈低信号表现。增强扫描后病灶呈现均匀强化。MRI进一步显示分叶状实性肿块取代蝶枕软骨结合周围斜坡脂肪骨髓的正常高信号,向背侧扩展至桥前池,压迫脑桥并侵犯右侧海绵窦,部分包绕颈内动脉。

手术治疗与术后过程
治疗采用内镜下经鼻蝶入路切除病灶。手术操作包括双侧内镜下经鼻后筛窦切开术和蝶窦切开术,以显露斜坡上1/3区域。切除右侧斜坡部分骨质后,显露肿瘤并行分块切除,直至显露基底动脉干和腹侧脑干。
术中发现病灶主要由柔软、有弹性且血供丰富的组织构成,部分区域质地坚硬、血供较差(类似软骨组织)。因手术视野狭小且存在损伤基底动脉风险,最终实现部分切除。术后病程平稳,术前症状迅速消失,神经功能缺损逐渐改善。未出现脑脊液漏并发症。转移性检查未发现颅外原发肿瘤证据。
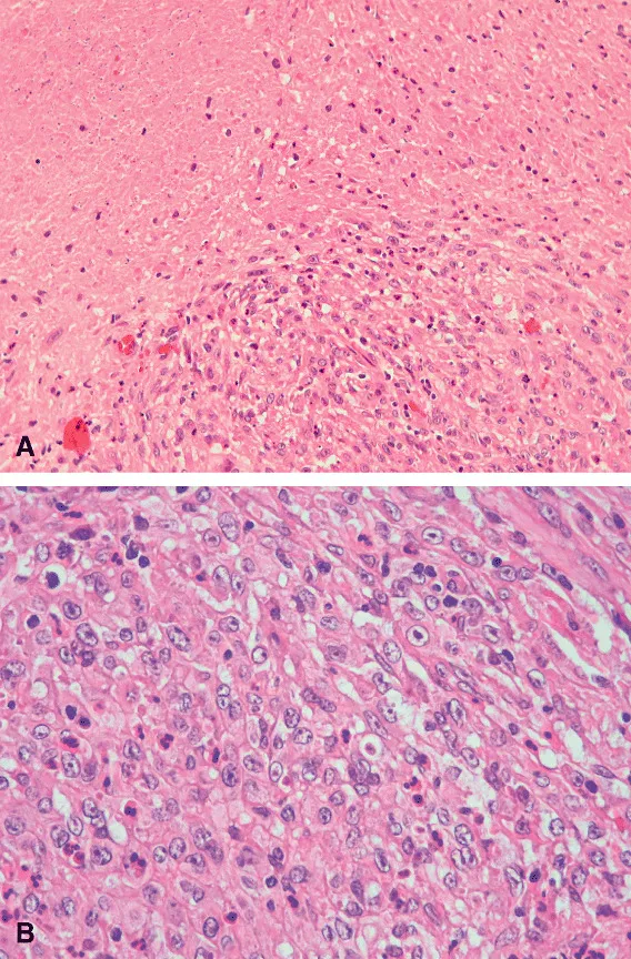
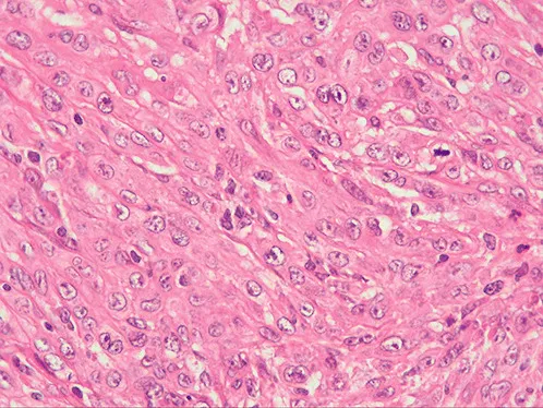
病理学检查特征
组织病理学检查显示肿瘤由梭形细胞和横纹肌样细胞构成,细胞胞浆丰富、嗜酸性,核圆形,核仁明显,可见大量核分裂象。肿瘤细胞形成结节状聚集,由纤维炎性间质分隔。可见多处地图样坏死区域。


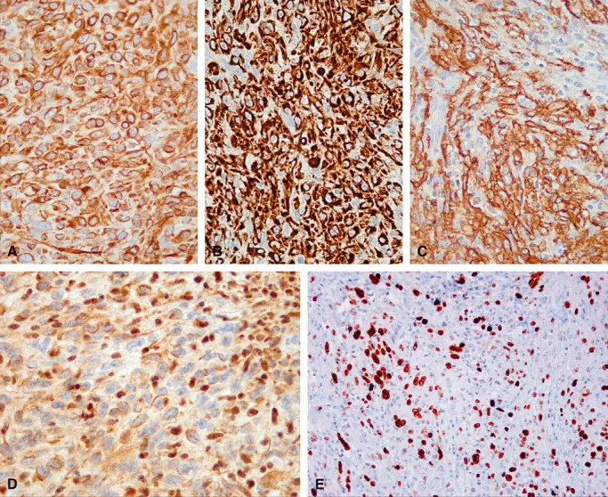
免疫组织化学染色结果显示:肿瘤细胞表达波形蛋白、细胞角蛋白8/18、细胞角蛋白AE1/AE3和上皮膜抗原(EMA)。胶质纤维酸性蛋白(GFAP)、S-100、胎盘碱性磷酸酶、甲胎蛋白、CD-117、CD-34和CD-31均未表达。BAF-47抗体(INI1失活)免疫组化染色显示肿瘤细胞核不表达,而炎性细胞和成纤维细胞核正常表达。Ki67抗体评估的增殖指数超过40%。

疾病讨论与分析
上皮样肉瘤于1970年首次描述,占软组织肉瘤不足1%。该肿瘤起源于可表达上皮和间叶免疫表型的多潜能间叶细胞,通常表现为缓慢生长模式。上皮样肉瘤更常见于上肢,好发于青中年男性四肢(手和腕部)。这种"经典型"上皮样肉瘤由梭形至圆形和上皮样细胞组成,伴坏死区域。
近期报道的"近端型"变异型具有更高侵袭性,好发于近端中轴和深部区域。研究显示在近端型变异型中存在INI1基因的频繁缺失。本病例因病灶位于脑外和硬膜外,排除非典型畸胎样/横纹肌样瘤(AT/RT)。基于细胞形态学和广泛地图样坏死存在,上皮样肉瘤的可能性大于肾外横纹肌样瘤。
尽管生长缓慢,上皮样肉瘤倾向于局部播散,浸润区域淋巴结,可表现为多结节性和/或转移性疾病。报道复发率高达70%。治疗主要采用广泛局部切除联合辅助放疗,但生存优势较差。
病例总结与临床意义
据文献检索,此为首例累及斜坡的儿童上皮样肉瘤报道。该部位肿瘤需与多种疾病进行鉴别诊断,且与成人病例存在差异。本病例中,神经影像学表现提示需与脊索瘤、颅咽管瘤或横纹肌肉瘤进行鉴别诊断。软骨肉瘤、淋巴瘤、侵袭性脑膜瘤、浆细胞瘤和转移瘤在该年龄组中可能性较小。
病灶的神经影像学特征未能提供明确初步诊断。虽然发病部位和年龄与脊索瘤相符,但影像学未显示此类肿瘤常见其他表现。颅咽管瘤虽为儿童典型肿瘤,但基于斜坡受累、缺乏典型信号异质性和无囊性成分,在影像学上可排除。横纹肌肉瘤难以排除,因其常表现为低T2信号和局部侵袭性,与本病例相似。
组织学评估显示肿瘤和免疫组化结果支持上皮样肉瘤诊断。本报告将上皮样肉瘤纳入斜坡肿瘤和儿童颅底肿瘤的鉴别诊断范围。上皮样肉瘤作为罕见间叶细胞起源肿瘤,通常累及青少年四肢,头颈部区域偶有发现。此为第二例累及中枢神经系统病例报道,扩展了该疾病的临床谱系。
本病例报道具有重要临床意义,为儿童斜坡区肿瘤的鉴别诊断提供了新视角,强调综合运用影像学、病理学和免疫组化手段进行准确诊断的必要性。
- 所属栏目:脑肿瘤
- 如想转载“5岁男孩接连出现乏力、头痛、恶心、易怒,一查竟是罕见颅底肿瘤!”请务必注明来源和链接。
- 网址:https://www.incsg.com/huanzhegushi/naozhongliu/7435.html
- 更新时间:2026-01-11 09:51:25


