手术高风险的视神经管脑膜瘤——这台手术是如何做到既切瘤又保视力?
发布时间:2026-03-20 11:31:02 | 阅读:次| 关键词:手术高风险的视神经管脑膜瘤——这台手术是如何做到既切瘤又保视力?
- [案例]弟弟突发癫痫查出胶质瘤,4年后双胞胎哥哥也查出胶质瘤
- [案例]头痛似乎没必要去医院,可是我还出现了其他症状
- [案例]68岁老人左聋60年后,右耳也“罢工”!内听道听神经瘤急
- [案例]2次脑干大出血后行动障碍,术后成功回归校园
- [案例]反复脑干出血,命垂一线,较大脑海绵状血管瘤如何去除
- [案例]脑袋里查出3个“不速之客”?国际颅底大咖福教授教你如
视觉功能是人类感知外界世界的核心信息通道。视神经作为视觉信号传向中枢的唯一解剖通路,其完整直接决定视觉功能能否正常维持。患上视神经管脑膜瘤后,肿瘤对视神经的持续压迫会导致神经纤维变性和传导功能出现不可逆损伤,严重时会造成永久失明,患者将丧失对视觉信息的感知能力。
视神经管是一个骨性管道,平均长度和宽度都不到1厘米,解剖空间极其有限。管内有视神经及其三层鞘膜、眼动脉、交感神经分支等重要组织。当肿瘤向管内生长时,由于骨壁刚性限制,管内内容物体积扩张空间很小,即使微小病灶也会对视神经产生明显压迫。
有些情况下,颅内脑膜瘤会播散到管内,或者以薄层斑块状沿视神经管延伸。这类病理改变也会导致患者出现明显视觉症状。
视神经管区域的手术操作存在显著技术挑战。管内空间狭窄,手术操作自由度严重受限;周围解剖结构复杂,包括重要功能神经、血管和脑组织。手术过程中,任何微小损伤都可能导致视神经功能进一步损害甚至完全丧失。综合来看,视神经管脑膜瘤手术属于神经外科领域高难度范畴,术后失明风险显著高于常规颅脑手术。

由于视神经管空间非常小,手术操作难度大,容易损伤周边重要功能神经和脑组织,术后失明风险很高。难道患了视神经管脑膜瘤就注定要失明吗?国际大咖是如何做到全切肿瘤保住视力的呢?
这是一个由INC福教授团队发表的案例《通过对侧额下入路内镜辅助切除视神经管脑膜瘤:2D手术视频》。

86岁的法国女士Chloe,很重视生活品质,当今社会提倡的"优雅老去"正是她的人生态度。但2016年,她发现自己左侧视力下降,去医院检查得知患了视神经管脑膜瘤后,内心非常担心以后可能失明,再也看不到这个丰富多彩的世界。
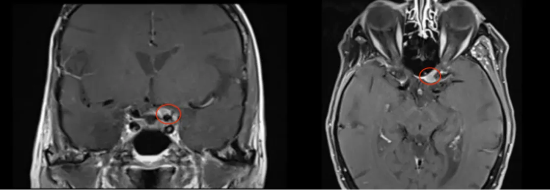
回顾过去,其实在2005年,Chloe就因右侧海绵窦区脑膜瘤做过一次开颅手术。这次就医检查发现左侧视力出现进行性下降,视力检查结果显示左侧视力为4.6(右侧5.0),左侧视神经管内侧病变呈现均匀增强。检查报告还显示翼点空化是由颞肌萎缩引起的,确诊脑膜瘤位于视神经管的中下侧,导致视力严重恶化。
由于肿瘤在持续强化生长,如果迟迟不手术,病变势必会对视神经及周围更多神经功能和脑组织造成压迫损伤,进而出现更严重的视力障碍,而手术造成视神经损伤导致失明的风险也很大。无论如何,Chloe不愿意接受余生在黑暗中度过的可能,她坚持要找到更好的医生手术切除脑瘤,争取更大程度保存原有视力。
最终,她来到福洛里希教授所在医院。先是对其病情做详细分析,根据肿瘤具体位置、大小、形态制定个体化手术入路。术中在内镜辅助下,采用经右额下入路肿瘤全切术,通过钻取蝶缘和内侧视神经管进行视神经减压术,再经额下入路为对侧交叉沟和视神经提供安全手术路径,在保障正常功能神经和脑组织不受损伤前提下,安全切除肿瘤。

手术入路示意图,显示右额下入路的方向

额下开颅术的示意图或照片

术中照片。(A)早期视神经减压术和管内肿瘤的暴露是通过磨除蝶缘和内侧视神经管来完成的。(B)直接切除肿瘤,同时识别和保护眼动脉(黑色箭头)。(C)内镜下直视神经管。(D)使用30度角内镜查看其它潜在的硬膜区域(白色箭头),如果发现,可以电凝处理。标注:ICA(颈内动脉)、Left A1(左大脑前动脉)、Opht.A(眼动脉)、Optic N(视神经)
Chloe术后核磁检查显示肿瘤完全切除,术中无功能神经损伤,无脑脊液渗漏等手术并发症,视神经保留完好,术后患侧视力也得到改善。

早期诊断不易,不起眼的视神经管脑膜瘤引起视力丧失几率大
视神经管脑膜瘤的诊断容易被忽略。视神经管脑膜瘤的诊断有两个特殊问题,一个是临床问题,一个是影像学问题。临床上,这些肿瘤通常表现为单侧视力丧失,与视神经炎临床表现很相似。影像学上,这些肿瘤可能非常小,尽管会引起明显症状,但在常规影像检查中容易被忽略。视神经管脑膜瘤的诊断至关重要,因为该病自然进展中视力恶化是必然结果,晚期手术视神经减压效果不佳。早期手术可以实现全切除并提高视力保存机会。

手术难点:肿瘤切除与改善视力如何兼得?
1.早期视神经减压的重要性
视神经管脑膜瘤的诊断存在明显延迟风险,根本原因是两个维度的特殊挑战:临床误诊与影像学漏诊。在临床表现层面,视神经管脑膜瘤最常见的首发症状为单侧视力进行性减退,该症状与视神经炎临床表现高度相似,二者在早期阶段难以通过常规视力检查鉴别;若缺乏特异性影像学评估支持,临床医师易将肿瘤性病变误判为炎症性疾病,从而延误针对性干预。在影像学评估层面,视神经管脑膜瘤可能呈现为微小病灶,其体积往往远小于常规颅内肿瘤;然而,由于视神经管解剖空间极度狭窄限制,即便微小肿瘤也会对视神经造成明显压迫效应,引发明显视觉症状,此类病灶在常规厚层颅脑CT或MRI扫描中易于被漏诊,影像学检查分辨率不足或扫描层距过大,都可能导致微小病灶被忽略。
视神经管脑膜瘤的早期诊断有关键临床意义。在该疾病自然病程中,视力恶化呈现必然趋势;随着病程进展,肿瘤对视神经的压迫时间延长,神经纤维变性程度加重,功能恢复可能性显著下降。晚期阶段实施视神经减压手术,其解剖性减压难以转化为功能性改善,视力保存概率急剧降低。与晚期干预形成鲜明对比,在疾病早期阶段实施手术干预有显著优势:此时,视神经的变性损伤尚处于可逆阶段,神经鞘膜结构完整性相对维持,血供条件相对良好;早期手术可实现肿瘤全切除,在解除压迫同时,最大程度保存尚未受损的视神经纤维,从而显著提高视力保存概率与视觉质量。
2.视神经手术入路选择:额下入路
额下入路以额叶底面为手术通道,经额叶前部与蝶骨嵴之间解剖间隙进入鞍区。该路径有天然解剖学优势:术者可在直视条件下观察视神经、视交叉及肿瘤解剖毗邻关系,视野角度清晰,操作空间相对宽裕,对视神经的牵拉与干扰程度明显低于其他入路。
视神经管的充分显露是肿瘤全切除的关键技术环节。通过在视交叉沟前肢进行精准磨骨操作,术者可完整显露视神经管内侧面。该磨骨区域的选择,可使术者以垂直于视神经长轴的视角进入管内空间,从而实现对伸入视神经管内肿瘤成分的完整暴露与切除。
需要特别指出的是,额下入路为对侧视交叉沟及对侧视神经提供了极佳手术轨迹。在直视条件下对视神经管内侧壁进行磨骨开窗时,术者可清晰观察视神经下内侧表面解剖结构与走行方向,在此保护条件下,可安全切除伸入视神经管内的肿瘤病灶,最大程度避免对视神经本体的机械性损伤及血供破坏。
"双镜联合"在视神经管脑膜瘤手术中的重要意义
福洛里希教授指出,内镜辅助技术在视神经管脑膜瘤手术中有不可替代的技术价值。内镜可清晰识别视交叉沟及鞍结节区域硬脑膜内微小浸润病灶,在视交叉沟前肢磨骨过程中及早发现蝶窦破损风险;同时,内镜能够有效拓展传统显微手术视野盲区,特别是视神经管深度区域等关键解剖位置。与传统显微手术相比,神经内镜可近距离抵达深部术区,术中视野清晰、立体感强,实现对肿瘤、周边血管、神经、脑组织等结构的精细观察,使解剖定位更加精确。肿瘤切除完成后,内镜可被置入瘤腔内部系统性检查肿瘤残余,从而实现对深部肿瘤切除范围的精细化控制,降低术后复发风险。
显微镜与神经内镜均为神经外科医生核心光学工具,二者在技术定位上呈现互补关系。内镜并非显微手术替代品,而是显微外科技术体系强力补充;在内镜协助下,术者可显著降低对神经血管结构牵拉程度,同时减少需要磨除的颅底骨质范围,最大程度保留解剖结构完整性。目前,神经内镜辅助显微镜已形成明确技术趋势,在岩斜区肿瘤、桥小脑角区肿瘤、鞍结节脑膜瘤等高难度颅底肿瘤手术中广泛应用。随着技术迭代与经验积累,显微镜与神经内镜深度融合将进一步提升神经外科手术精度与安全性,为更多脑肿瘤及神经外科患者带来临床获益。
- 所属栏目:脑膜瘤
- 如想转载“手术高风险的视神经管脑膜瘤——这台手术是如何做到既切瘤又保视力?”请务必注明来源和链接。
- 网址:https://www.incsg.com/naomoliu/7829.html
- 更新时间:2026-03-20 11:09:08


