68岁老人左聋60年后,右耳也“罢工”!内听道听神经瘤急诊手术后重获听力
发布时间:2026-03-19 10:40:20 | 阅读:次| 关键词:68岁老人左聋60年后,右耳也“罢工”!内听道听神经瘤急诊手术后重获听力
- [案例]随时可能出血!及时治疗,别让颞角脑动静脉畸形折磨孩
- [案例]海绵窦手术为何“劝退”这么多人?INC福教授不开颅全切
- [案例]7岁男孩患颅咽管瘤,1个月精准诊疗实现全切与功能保留
- [案例]体检发现脑瘤是否会误判?无症状脑瘤治不治?
- [案例]“肿瘤切出来了,一整块!”我亲眼看着医生,从我儿子
- [案例]症状好转却等来脑干再出血恶化?在这场求生之战中,他
听神经瘤患者中最为常见的临床表现是感音神经性听力丧失,通常呈隐匿性或渐进性发展。然而,约有26%的患者可能出现突发性听力丧失的情形,这为手术治疗带来了独特的难题。INC国际神经外科医生集团下设的世界神经外科顾问团(WANG)成员、曾任世界神经外科学院院长的William T. Couldwell教授,在2002年报告了这样一例:一位68岁男性患者,左耳从小因麻疹感染导致全聋,之后右耳又突然出现严重的感音神经性听力下降。核磁共振成像提示右侧内听道内存在一个小肿瘤。在接受大剂量皮质类固醇治疗后,听力仅获得轻微改善。随后,这位患者接受了急诊减压及听神经瘤切除手术,听力得以迅速改善和恢复,并保持了面神经的完整功能。尽管单耳听力患者中绝大多数神经耳科病变通常采用保守治疗,但在特殊情况下,对于突发听力损失背景下的微小肿瘤,应考虑手术切除。这一个案提示存在一个治疗时间窗,在此期间由内听道肿瘤引起的突发听力损失具有可逆性。

根据现有的临床证据整理,突发性听力损失从发作到成功手术干预的时间窗,在不同报告的病例中存在差异,从24小时到1个月不等。

显微手术技术的进步以及术中神经电生理监测方法的改进,使得在切除听神经瘤的同时保留现有听力成为可能。在前庭肿瘤切除后,言语接收阈和言语识别率相对于术前有改善的情况时有发生。伴有突发性听力损失的微小听神经瘤患者构成了一个特殊的临床人群,文献报道中仅记载了6例肿瘤切除后听力获得改善的病例。对于单侧耳聋的患者而言,当功能耳因前庭肿瘤发生突发听力损失时,疾病管理面临更大的挑战。关于这一现象的报道相当稀少,仅见一篇包含3例患者的文献,这些患者因仅存功能耳听力快速恶化而接受了内听道中颅窝减压术,但未进行肿瘤切除,其中仅1例在术后12个月内持续显示听力改善。
突发听力丧失病例介绍
患者为一位68岁右利手男性,既往患有高血压,因儿童期麻疹感染遗留左耳全聋。此次因功能性右耳出现急性听力下降就诊。两天前患者出现了持续数秒的眩晕感并伴有恶心,同时注意到听力水平下降。就诊前一天,患者完全丧失了主观听力感受,并出现了运动诱发的身体不稳定,伴持续的恶心症状。
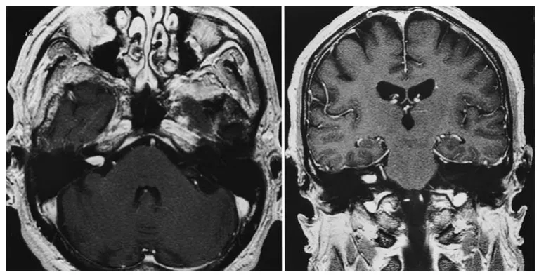
体格检查显示患者只能通过书写进行沟通;双耳听力完全消失,鼓膜检查正常。Romberg试验显示轻微摇晃。面部感觉和运动功能保持正常。急诊增强及平扫磁共振成像显示右侧内听道内有一个直径为1厘米的肿瘤,向右侧桥小脑角池区延伸约3毫米。

听力测试结果显示左耳重度感音神经性听力丧失,右耳在低频呈中度感音神经性听力损失,并随频率升高呈下降趋势至高频重度听力丧失。左耳言语接收阈为0分贝;右耳听力阈值为50分贝,但患者无法识别任何词汇。患者随即接受大剂量皮质类固醇治疗。开始皮质类固醇治疗后约24小时进行的听力测试显示,其纯音反应获得约10-20分贝的改善。

听力测试完成后不久,为尽可能保存患者现有听力,患者接受了急诊枕下/乙状窦后入路开颅听神经瘤切除手术。术中进行了面神经功能、体感诱发电位及听觉脑干反应的监测。然而,听觉脑干反应最初无法记录到。打开硬脑膜后,在手术显微镜的帮助下将小脑外侧向内侧牵拉,清晰暴露第七、第八颅神经复合体。可以看到约3毫米的肿瘤从内听道内突出。切开了覆盖在第七、第八颅神经复合体上的蛛网膜。此时,听觉脑干反应在约9毫秒处显示出V波。
经过仔细研磨扩大内听道,切开硬膜并暴露了起源于上前庭神经的微小内听道内肿瘤。内听道减压完成后,听觉脑干反应的潜伏期改善了0.5毫秒。随后将肿瘤从耳蜗神经上小心分离,保护了面神经和耳蜗神经的完整性。肿瘤完全切除后,听觉脑干反应进一步改善,表现为反应波幅增加和V波潜伏期缩短。手术完成时,面神经对电刺激呈现良好反应。
病理学检查证实肿瘤为听神经瘤,显示典型的Antoni A型与B型细胞形态。
术后第一天,患者右耳听力即出现明显改善,患者自述耳内有轻度回响感,但对日常声音环境的感知已基本回复。术后前庭症状较轻微,第二天开始恢复活动,第三天出院。经规范前庭康复训练后,平衡功能障碍得到完全缓解。
术后一周的听力测试显示:右耳1000赫兹以内的听力恢复至正常水平,2000至8000赫兹频率范围内呈轻至中度感音神经性听力损失;言语接收阈为30分贝,言语识别率达到88%。

术后五个月的随访检查显示:右耳2000赫兹以内的听力恢复至正常,4000至8000赫兹频率范围内呈轻至中度感音神经性听力损失;言语接收阈进一步改善至20分贝,言语识别率上升至92%。患者的家人和朋友均表示他术后的听力水平比患病前更加良好。

突发听力损失的发病机制分析
突发性耳聋作为听神经瘤首发症状的记载,最早出现在1917年Cushing的著作中,1956年由Hallberg进行了正式的临床报告。尽管在突发性听力损失患者中仅有1%至2%最终被诊断为听神经瘤,但听神经瘤患者中以突发性听力损失为首发表现的比例,根据文献报道范围从3%至26%,这一较宽的范围与MRI技术的广泛应用及内听道微小病灶检出率提升密切相关。
目前主流的学说认为,与听神经瘤相关的突发性听力损失的机制指向血管闭塞事件。迷路动脉作为小脑前下动脉分支,沿着耳蜗神经头侧走行于内听道内,为耳蜗及前庭器官提供血液供应。肿瘤体积增长或瘤内出血可能压迫迷路动脉,引发耳蜗组织缺血及柯蒂氏器结构退变,导致突发性听力丧失。皮质类固醇治疗后听力的短暂恢复,推测与肿瘤体积短暂减小及瘤内液体的吸收有关。然而,长期缺血将造成不可逆的耳聋,这正是治疗时间窗有限的根本原因。
另一种学说支持耳蜗神经动作电位出现机械性传导阻滞。由于耳蜗神经按音调拓扑结构分布排列,神经受压将优先导致高频及中频听力丧失;而低频纤维位于耳蜗的顶转,该区域处于耳蜗血流的远端分水岭区,血管事件更易导致低频听力丧失。两种机制可能同时并存。
根据现有临床证据,突发性听力损失从发作至手术干预成功的时间窗存在变异,在不同病例中从24小时至1个月不等。当前尚无充分的临床依据确定皮质类固醇治疗的最优等待周期,也缺乏明确的预测指标来区分哪一类患者更适合及早接受手术干预。这一患者在皮质类固醇治疗收效有限的情况下,在24小时内接受了急诊手术,听力获得了明显且持久的恢复。
术后听力改善的临床证据与启示
在听神经瘤切除术后听力改善的病例报道非常稀有。Shelton与House将术后听力改善定义为言语识别率相比术前提升至少20%,或言语接收阈相对术前改善15分贝以上。在106例经中颅窝入路行听力保留手术的系列研究中,9例出现了术后听力改善,其中言语识别率的改变幅度最为显著。
Telian等人及Brackmann也分别报告了伴有突发性听力损失的微小听神经瘤患者,经手术切除后听力得到明显恢复的病例。本例患者的表现与上述报告高度相符:言语接收阈由术前50分贝改善至20分贝,言语识别率由0%上升至92%。
根据现有文献综合分析,由听神经瘤导致的突发性严重听力损失存在一个有限的可逆时间窗。在此时间窗内,积极的手术减压与肿瘤切除,不仅可能实现听力的保留或改善,更能同时达到长期肿瘤控制的目标。
对于伴有突发性听力损失的微小听神经瘤患者,特别是单侧耳聋这类高危特殊人群,应在充分评估手术风险与功能保护可能的基础上,谨慎但及时地考虑急诊手术干预。显微外科技术的持续进步及术中神经电生理监测的精准应用,已为在切除肿瘤同时最大程度保留听觉功能提供了坚实的技术支撑。
- 所属栏目:听神经瘤
- 如想转载“68岁老人左聋60年后,右耳也“罢工”!内听道听神经瘤急诊手术后重获听力”请务必注明来源和链接。
- 网址:https://www.incsg.com/huanzhegushi/tingshenjingliu/7818.html
- 更新时间:2026-03-19 10:27:23


