为什么说听神经瘤首次手术至关重要?三个真实案例告诉你答案
发布时间:2026-03-18 09:31:58 | 阅读:次| 关键词:为什么说听神经瘤首次手术至关重要?三个真实案例告诉你答案
- [案例]5岁女孩脑干延髓较大肿瘤国内手术成功案例
- [案例]较大脑干海绵状血管瘤全切术后两年没有复发,“运动达
- [案例]儿童脑内潜藏的这个“怪兽”,“卧薪尝胆”只为致命一
- [案例]福洛里希教授突破脑瘤手术瓶颈:双镜联合解决两大脊索
- [案例]CPA小脑桥脑角区肿瘤有哪些?CPA区肿瘤巴教授成功案例交
- [案例]天坛医院脑手术纪实|脑膜瘤紧压脑干,勇敢辣妈的人生转
27岁的阿宇以为是噪音损耳,40岁的李女士被反常的夜间头痛折磨四个月,42岁的高老师站在讲台上突然听不清学生说话——三人素不相识,却殊途同归,最终都被确诊为听神经瘤。
对于听神经瘤患者来说,首次手术方案的取舍,好比人生岔路口的一次关键抉择,将深远影响日后的康复质量与长期预后。
国际主流诊疗规范对理想手术目标的界定是明确的:在彻底切除肿瘤的前提下,尽最大可能保全面神经与听神经的功能。这不只是消除病灶那么简单,更直接关系到患者术后能否免于面瘫、耳聋之苦,重新过上有尊严的生活。要达成这一高难度目标,主刀医生对颅底解剖的深厚功底、对显微操作的极致掌控,以及对神经功能保护的执着追求,三者缺一不可。
以下三例均由世界颅底肿瘤手术权威、INC国际神经外科巴特朗菲教授在华完成,借此探讨这一目标的实现路径。
病例一:27岁小伙被误当噪音性耳聋,查出听神经瘤已压迫脑干
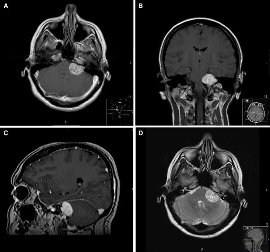
正值壮年的阿宇,右耳突发刺痛并急剧失聪,同时伴有面部与舌部麻木。起初他被误诊为"噪音性耳聋",接受相应治疗却毫无起色,症状反而愈演愈烈。进一步检查后真相大白——他患的是19.8×28mm的大型听神经瘤,肿瘤已重压小脑与脑干,随时可能引发更严重的神经损害。

听神经瘤的危害绝不止于表面症状,除耳鸣、面瘫、表情失控等"面子"困扰外,随着瘤体持续增大,还会压迫脑干,引发头晕呕吐、吞咽困难,乃至危及生命。桥小脑角区神经血管交错密布,手术难度极高,阿宇几经辗转难觅满意方案,最终找到擅长脑干及CPA区复杂手术的巴特朗菲教授。
凭借精湛的显微外科技术,巴教授为阿宇实现了肿瘤完整全切,同时完好保留了面神经与听神经的解剖结构和功能。术后仅出现轻度面瘫,属面神经正常水肿反应,经规范康复训练后半年内基本恢复,听力与面部功能均达到良好状态,彻底摆脱了肿瘤困扰。
病例二:40岁女性被夜间头痛反复惊醒,元凶竟是症状罕见的听神经瘤
这位40岁的女性患者,深受一种特殊头痛的困扰,整整持续四个月:每晚入睡约两小时后便被搏动性头痛痛醒,疼痛蔓延至整个头部,伴随恶心与颈部僵硬。更令人费解的是,起床活动半小时后疼痛便会缓解,再次入睡却又复发,最严重时一周有四天、每晚发作三次,彻底摧毁了她的睡眠与精力。

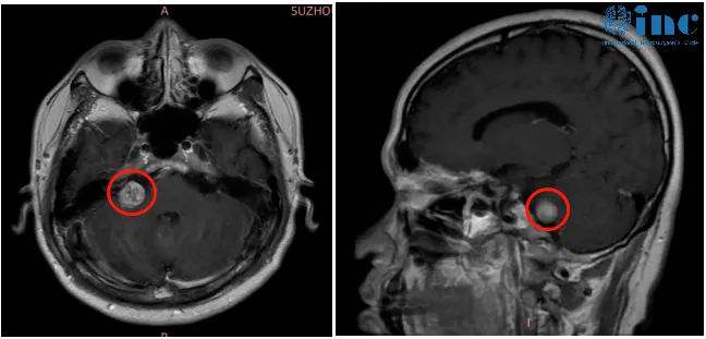
患者虽有偏头痛病史,但此次头痛与既往截然不同,夜间痛醒的情况从未有过。多次就医均无明确结论后,她接受了头部MRI检查,结果令人震惊:左侧桥小脑角区发现31×27×23mm的听神经瘤。回溯病史才想起,自己其实有四年轻度双侧耳鸣史,只因症状轻微一直未加留意,而这枚良性肿瘤,正是那阵反常夜间头痛的真正元凶。
以头痛为首发表现的听神经瘤极为罕见,发生率仅约2%,该患者的症状表现更符合催眠性头痛特征。究其机制,肿瘤位于空间局促的后颅窝,体积增大后压迫周围结构并干扰颅内压调节;夜间平卧时颅内静脉回流减少,进而诱发头痛;肿瘤牵拉硬脑膜、干扰睡眠相关脑区,也进一步加剧了症状。

明确病因后,患者接受了巴教授的精准手术治疗,术后夜间头痛逐渐减轻,六个月后彻底消失。这一病例也提醒公众,听神经瘤症状隐匿易漏诊,若存在耳鸣、听力变化,并伴有顽固性特殊头痛,务必及早排查颅内病变。
病例三:高老师的两难困境——要手术,却更怕失去站上讲台的能力
2021年深冬,正在上课的高老师突然觉得右耳像被棉花堵住,刺耳的耳鸣盖过了学生的声音,听力骤然下降。起初以为是疲劳上火,休息后却持续恶化,听力检测显示右耳纯音测听阈值已达60至70分贝,属重度听力损伤,无明显诱因的突发性耳聋背后往往另有隐情。

经过两周药物治疗,听力暂时回升至20至30分贝,但头颅增强MRI的结果更为严峻:右侧桥小脑角区存在听神经瘤,且大部分深嵌在内听道内。这让高老师陷入两难——内听道型听神经瘤与面听神经紧密缠绕,手术须磨除骨质,极易造成永久性面瘫,对于长期站讲台的教师而言是难以承受的代价;而保守观察又会使肿瘤持续生长,反复引发突聋、破坏平衡功能。
犹豫之际,肿瘤再度发难,2022年初高老师再次突聋,并出现眩晕与平衡失调,手术已成唯一出路。怀揣"保面、全切、保听"的最后期许,他找到了巴教授。教授凭借丰富的内听道型听神经瘤手术经验,为其量身制定手术方案,采用内听道磨除术联合膜内切除术与无热伤切瘤法,在神经电生理全程监测下精准剥离肿瘤。

最终,肿瘤获得顺利全切,面听神经解剖与功能完整保留,术后即刻无面瘫,原有的微弱残余听力也得以保存。恢复过程顺利,仅出现短暂轻度面瘫,经康复训练后完全复原。如今高老师已重返讲台,回归了正常的教书生活。
上述三例,分别对应大型肿瘤压迫脑干、症状不典型易漏诊、内听道型手术难度极高三种不同挑战,共同指向同一个核心原则:选择经验丰富、技术过硬的手术团队进行首次手术,至关重要。
一台高质量的首选手术,意味着更高的肿瘤全切率、更低的神经损伤风险、更少的术后并发症以及更短的康复周期。从长远来看,这不仅为患者争取到更好的生活质量与预后结果,实际上也大幅降低了整体治疗成本——既规避了二次手术的风险,又节省了因并发症引发的长期康复与护理费用。在首次治疗时追求更高的手术质量,是对患者生命健康与经济效益的双重负责。
- 所属栏目:听神经瘤
- 如想转载“为什么说听神经瘤首次手术至关重要?三个真实案例告诉你答案”请务必注明来源和链接。
- 网址:https://www.incsg.com/huanzhegushi/tingshenjingliu/7806.html
- 更新时间:2026-03-18 09:23:48


