讲台突聋到重返课堂:35岁高校老师的听神经瘤治愈实录
发布时间:2025-11-10 14:14:30 | 阅读:次| 关键词:讲台突聋到重返课堂:35岁高校老师的听神经瘤治愈实录
- [案例]开颅也看不见的脑瘤如何应对?国际专家运用“可视化技
- [案例]脑干开颅手术奇迹:术后不到24小时,患者竟能打游戏
- [案例]大手大脚竟是垂体瘤作祟!人体内的激素分泌“小能手”
- [案例]退休老人遇开颅考验:脑干延髓海绵状血管瘤手术纪实
- [案例]脑部MRI全是密密麻麻小黑点,医生直呼:你有35个海绵状血
- [案例]为何我的低级别胶质瘤术后升级为4级?恶性转化早有信号
35岁高校教师在教学过程中突发听力障碍,经检查发现颅内存在听神经瘤"定时炸弹"。这位教师在大学课堂授课期间,未预料到突发性听力危机竟与颅内听神经瘤存在关联。
突发性耳聋发作:讲台后的隐匿疾病
2021年冬季的一堂专业课程中,高老师突然感觉右耳出现堵塞感(类似棉花塞耳),尖锐耳鸣声掩盖了学生的提问,前排同学的发言变得模糊不清。
"当时认为是讲课疲劳导致上火,未料休息数日后情况加剧。"紧急就医进行听力检查后,结果令全家陷入恐慌:右耳纯音测听阈值达到60-70分贝(正常听阈应<25分贝),属于重度听力损伤范畴。
"工作环境并不嘈杂,为何突发耳聋?"高老师的疑虑并非多余,无明确诱因的突发性耳聋往往提示存在更深层健康问题。
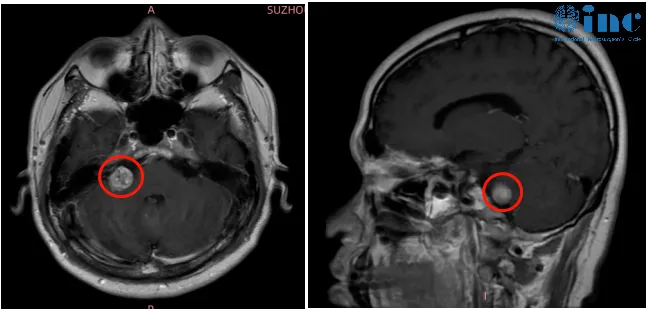
住院接受两周药物治疗后,其听力奇迹般恢复至20-30分贝。正当全家放松之际,头颅增强MRI检查发现新问题:右侧桥小脑角区存在结节,考虑听神经瘤,且肿瘤大部分深嵌于内听道内。

治疗决策困境:保全面神经功能或完全切除肿瘤
"内听道深部听神经瘤的手术难度极高,堪比刀尖操作。"医生的解释让高老师陷入两难抉择:肿瘤与面听神经紧密缠绕,要实现完全切除必须磨除部分骨质,极易损伤神经导致永久性面瘫;若选择保守治疗,肿瘤持续生长会反复诱发突发性耳聋,甚至影响平衡功能。
作为长期站讲台的教师,面瘫对职业和尊严的影响难以接受,最终选择保守观察方案。
然而病情发展未给喘息机会,2022年初(距首次突聋不足四月),高老师再次突发耳聋,新增行走眩晕和平衡失调症状。肿瘤持续进展,手术成为解决问题的必要途径。

突破困境:精准手术治疗方案
"我的治疗优先级为保全面神经功能、完全切除肿瘤、保留听力。"怀着最后希望,高老师联系上专注颅底肿瘤手术的巴教授。令人振奋的是,巴教授不仅拥有丰富的内听道型听神经瘤手术经验,更提出了完全符合患者诉求的治疗目标。
2022年春季,高老师成功接受巴教授主刀的示范手术。手术采用国际公认的"内听道磨除术+膜内切除术+无热伤切瘤法"技术组合,该技术经过40余年临床验证,核心理念为"精准分离、微创切除"——通过磨除内听道骨质暴露深部肿瘤,在神经监测仪实时引导下沿肿瘤包膜内逐步剥离,避免损伤面听神经。
最终,高老师的内听道听神经瘤被顺利切除,面听神经实现功能性与解剖性保留,无即时面瘫发生,右耳残余微弱听力得到保留。

重返讲台:术后康复成效评估
术后第一天,巴教授在ICU查房时,高老师已意识清醒,四肢活动自如,面部表情完全正常,无即时性面瘫表现;
术后第三天,患者可自主下床行走,其爱人欣喜告知医生:"昨日行走数百米,早中晚各一次,状态日益改善";
术后三个月,出现短暂轻度面瘫,但通过规范康复训练,面部功能完全恢复。目前患者已重新站上讲台,继续从事教学科研工作。
临床小结
听神经瘤是起源于听神经鞘的良性肿瘤,早期症状多为单侧耳鸣、听力下降,易被误诊为"中耳炎"或"突发性耳聋"。
若出现无明确诱因的突发性耳聋、持续性耳鸣或平衡失调,建议及时完成头颅MRI检查,避免延误诊治。随着颅底外科技术进步,通过精准手术,多数听神经瘤患者可实现"肿瘤全切+面听神经功能保留",无需过度恐惧手术治疗。
- 所属栏目:听神经瘤
- 如想转载“讲台突聋到重返课堂:35岁高校老师的听神经瘤治愈实录”请务必注明来源和链接。
- 网址:https://www.incsg.com/huanzhegushi/tingshenjingliu/7012.html
- 更新时间:2025-11-10 14:10:18


