耳背、走路不稳,以为是“老年病”症状,检查一看竟是听神经瘤!
发布时间:2025-11-03 13:31:14 | 阅读:次| 关键词:耳背、走路不稳,以为是“老年病”症状,检查一看竟是听神经瘤!
- [案例]脑干胶质瘤扩散丘脑,国际神外专家联合术中核磁破解手
 - [案例]跨越千里求医:脑干海绵状血管瘤患者术后重新站立
 - [案例]INC巴教授“禁区”手术图解案例七 | 全切中脑桥脑海绵状
 - [案例]这种脑瘤手术可能变“木头人”? 20岁法学才女仅用23天战
 - [案例]月经紊乱、性功能障碍…可能是垂体瘤在作怪!
 - [案例]“我好期待开学!”胶质瘤女孩开颅后,医生说她有望治
 
2018年,当70多岁的齐奶奶出现右耳听力下降症状时,家人普遍认为属于正常老年性耳背,未予足够重视。
直至三年后,一系列进行性加重的症状逐渐显现,通过系统检查才发现齐奶奶颅内存在听神经瘤。
从听力下降到生命威胁的病情进展
齐奶奶的临床进程呈现听神经瘤典型发展规律。听神经瘤作为桥小脑角区最常见良性肿瘤,占该区域肿瘤的80%-90%。其早期症状通常隐匿,以单侧听力下降、耳鸣或眩晕为主要表现。
2018年出现的右耳听力障碍,实质是肿瘤压迫听神经的早期征兆,但类似齐奶奶的病例常被误判为老年性耳背而延误诊治。
到2020年,症状出现急剧加重:齐奶奶表现为步态不稳、行走偏斜、下肢无力,需他人搀扶才能避免跌倒,更出现日间大小便失禁等严重症状。
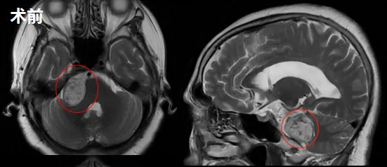
家属遂带其至当地医院就诊,经2021年5月及10月两次MRI检查,最终确诊为右侧听神经瘤(体积20mm×15mm×19mm),并发脑积水。
	
至此明确,三年前的听力障碍实为听神经瘤早期信号,而后续步态不稳与大小便失禁则源于脑积水的影响。
高龄患者治疗面临的多重挑战
确诊后,除听神经瘤与脑积水外,齐奶奶的治疗需克服三大难题:
首先,年龄相关器官功能衰退导致手术耐受性降低;其次,常合并高血压、糖尿病等基础疾病;第三,术后恢复缓慢,易出现感染、肺炎、静脉血栓等并发症。
面对复杂病情,家属选择咨询INC国际脑血管专家巴特朗菲教授,获得明确治疗方案:优先处理风险更高的脑积水问题。
2021年11月,齐奶奶接受脑室-腹腔分流术,术后共济失调、步态不稳及大小便失禁等症状显著改善,生活自理能力得到恢复。
多学科协作实现功能保留手术
脑积水解决后,治疗重点转向听神经瘤本身。
对于高龄患者,临床常倾向选择放射外科治疗而非开颅手术。但巴教授综合评估后指出:鉴于肿瘤体积较大,放疗效果可能欠佳,3-4年后肿瘤继续生长将显著增加手术风险。
正当家属权衡治疗方案时,2022年10月复查显示肿瘤已增大至32mm×22mm×26mm,超过3厘米临界值,手术切除成为必要选择。
	
恰逢巴教授来华进行疑难手术示范,家属及时争取到手术机会。术中采用神经电生理监测技术,巴教授精准完成肿瘤全切手术。
术后恢复超出预期
术后第二天患者即由ICU转至普通病房。查房时齐奶奶精神饱满地表示恢复良好,家属补充说明清晨已能自主坐起休息。
术后第五日,齐奶奶欣喜告知术后未出现预测的脑积水症状。
术后一年随访显示,患者状态显著改善,日常生活能力完全恢复。
	
听神经瘤防治核心要点
本案例警示老年人听力下降不可简单归因于老年性耳背,需警惕潜在器质性疾病。听神经瘤虽多为良性,但若不及时干预,可能压迫关键神经结构,引发面瘫、听力丧失甚至生命危险。
当出现不明原因听力下降、耳鸣、头晕、步态不稳等症状时,应及时至耳鼻喉科与神经外科进行专业检查,实现早期诊断与规范治疗。
                    - 所属栏目:听神经瘤
 - 如想转载“耳背、走路不稳,以为是“老年病”症状,检查一看竟是听神经瘤!”请务必注明来源和链接。
 - 网址:https://www.incsg.com/huanzhegushi/tingshenjingliu/6956.html
 - 更新时间:2025-11-03 13:25:50
 
- 上一篇:面瘫?失聪?听神经瘤真的没法顺利全切吗?
 - 下一篇:没有了
 

    
    
    
    
        