听神经瘤遇上颈静脉球高位?INC川岛教授如何破解手术困局
发布时间:2025-11-23 10:15:33 | 阅读:次| 关键词:听神经瘤遇上颈静脉球高位?INC川岛教授如何破解手术困局
- [案例]8岁男孩车祸昏迷后动脉瘤破裂出血,INC川岛教授用“妙计
- [案例]脑干胶质瘤患者赴德手术治疗之路,绝处逢生
- [案例]巨大脑瘤无法单次全切?眉弓切口联合鼻腔入路"双路夹
- [案例]7岁胶质瘤孩子赴德成功手术案例
- [案例]这个颅底脑膜瘤为什么不建议手术?背后原因是……
- [案例]33岁孕妈头痛难忍竟查出巨大脑室胶质瘤!顺利分娩+肿瘤
面神经麻痹、听力丧失、脑积水、颅内感染等并发症风险,成为听神经瘤患者手术决策过程中的主要担忧因素。若放任肿瘤生长,将持续压迫周围神经结构,甚至侵犯脑干生命中枢;而手术治疗则因病情复杂性常面临两难抉择。当听神经瘤合并其他复杂情况时,手术方案需特殊考量。
病程发展详情
本例为51岁男性患者,一年前确诊听神经瘤。虽未出现面神经麻痹症状,但左耳听力严重受损至105dB,生活陷入半静默状态。MRI检查显示肿瘤直径达24mm,并已侵入内耳道。
更为复杂的是,术前血管造影(CTA)检查意外发现合并颈静脉球高位——颈静脉球异常膨大紧贴内耳道后壁,犹如置于手术路径上的"解剖地雷",使得常规手术路径可能引发致命性大出血。

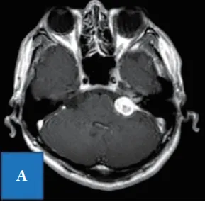
入院时T1加权磁共振成像显示,延伸至内耳道的桥脑角区存在均匀强化病灶。
影像学检查结果

B:计算机断层扫描血管造影(CTA)显示,左上前象限存在肿瘤病灶(绿色区域为强化部位)
C:B图所示内耳道壁骨质缺损,显示高位颈静脉球极度贴近内耳道及肿瘤区域
基础病理说明
听神经瘤属良性肿瘤,起源于听神经,在面神经、脑干与小脑间的狭窄间隙中生长。早期典型临床表现包括听力下降、耳鸣,随着肿瘤增大,可能压迫面神经、三叉神经甚至脑干。
颈静脉球高位发生率达25%,多数患者无明显症状,但可能引发搏动性耳鸣或听力下降。颈静脉球位于岩骨下颈静脉窝内,"高位"特指颈静脉球异常膨大导致与耳蜗间距缩短,增加手术损伤风险,而非术后位置升高。
手术方案决策
面对狭小颅底空间内的病灶切除与风险规避难题,INC国际神经外科医生集团旗下世界神经外科专家团成员、日本圣路加国际医院神经外科主任川岛明次教授主刀此例复杂手术。

针对伴有颈静脉球高位的听神经瘤患者,川岛教授采用经岩前入路,为此类复杂病例提供新的治疗思路。
听神经瘤手术中,肿瘤全切除是预防复发的关键目标。但本例患者若采用常规乙状窦后入路,需钻磨内耳道后壁,而颈静脉球高位使得该操作风险极高,可能导致血管损伤等严重并发症。
经全面评估后,川岛教授决定采用经岩前入路,通过内耳道前上壁钻孔,避开颈静脉球区域,降低血管损伤风险。
手术操作细节
手术采用U形皮肤切口,环绕耳廓获取大面积带蒂筋膜骨膜瓣,为后续修复做准备。从中颅底分离颞叶硬脑膜过程中,精确识别并电凝、离断脑膜中动脉。
随后从小脑幕方向切开颅中窝硬脑膜,夹闭上岩窦近远端,创建安全操作空间。显微镜下清晰辨识肿瘤前方面神经,在保护颈静脉球和面神经前提下,逐步完整切除肿瘤。
功能预后评估
术后患者出现面神经麻痹症状,经一年恢复期后明显改善。复查影像显示内耳道前壁与上壁切除范围精确,颈静脉球保护完整,肿瘤全切无复发迹象。

A&B:术前轴位与冠位CT图像,显示岩骨水平内耳道。巨大高位颈静脉球突入后颅窝
C&D:术后图像显示内耳道前壁与上壁切除范围
临床管理策略启示
本例为伴有颈静脉球高位的听神经瘤患者手术管理提供有效策略。对确诊听神经瘤患者,增强MRI为诊断金标准,术前CTA有助于评估颅底血管结构,为手术方案制定提供关键信息。

当出现听力下降、耳鸣等症状,特别是单侧性或进行性加重时,应引起重视,及早行影像学检查明确诊断。听神经瘤的早期发现与治疗,对保留面神经功能和残余听力具有关键意义。
参考文献
Kawashima A. et al. Management of Acoustic Neuroma with High Jugular Bulb: Anterior Transpetrosal Approach. [J]. Neurosurgery, 2023.
- 所属栏目:听神经瘤
- 如想转载“听神经瘤遇上颈静脉球高位?INC川岛教授如何破解手术困局”请务必注明来源和链接。
- 网址:https://www.incsg.com/huanzhegushi/tingshenjingliu/7101.html
- 更新时间:2025-11-23 10:10:00
- 上一篇:失聪女子重获听力!29岁女性迷走神经鞘瘤切除后,出院前听力恢复!
- 下一篇:没有了


