夜间头痛总痛醒?40岁女白领头痛史背后,竟查出听神经瘤!
发布时间:2026-01-07 11:17:37 | 阅读:次| 关键词:夜间头痛总痛醒?40岁女白领头痛史背后,竟查出听神经瘤!
- [案例]脑干反复出血致残8载,今朝终复行走如常!
- [案例]4岁女孩脑干长瘤,能手术吗?这场“不敢想”的手术,让
- [案例]同为听神经瘤,神外大咖的回复为何截然不同?一文看懂
- [案例]这个位置手术易瘫痪?18岁少年高位颈髓手术顺利完成
- [案例]曾患脑干肿瘤,开颅手术后1个月回归校园,拿下“三好学
- [案例]5岁视神经胶质瘤如何重获光明
40岁女性患者持续四个月出现特殊类型头痛症状,特征为入睡后约2小时规律性痛醒,头部呈搏动性疼痛,范围波及整个头部,伴随轻度恶心和颈部僵硬表现。
该头痛具有独特临床表现:起床活动后30分钟内症状可缓解,但重新入睡后头痛会再次发作。症状最高峰时每周发作4天,每晚可达3次,严重影响睡眠质量和日间功能状态。
患者虽有偏头痛病史,但此次发作模式与既往完全不同。既往偏头痛从未出现夜间唤醒现象,而本次发作呈现夜间规律性。经多次就诊后,最终进行头部MRI检查。

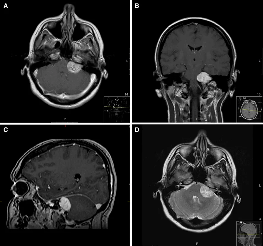
检查结果提示:左侧桥小脑角区存在31×27×23mm的听神经瘤。回顾病史发现,患者实际已有4年轻度双侧耳鸣史,因症状轻微未予重视。
该位于内听道区域的良性肿瘤,正是长期被误诊为普通偏头痛的夜间头痛的根本病因。
听神经瘤引发特殊头痛模式的病理机制
听神经瘤属于良性肿瘤,通常生长缓慢,起源于前庭神经鞘膜。该肿瘤占桥小脑角区肿瘤的80%,但以头痛为主要表现的情况较为罕见,仅约2%的听神经瘤患者出现头痛症状。
此病例的特殊性在于头痛表现为催眠性头痛特征。其发生机制存在几种医学解释:
肿瘤位于后颅窝,该区域空间相对有限。肿瘤增大会对周围结构产生压迫,可能影响颅内压调节机制。夜间平卧位时颅内静脉回流减少,可能导致颅内压轻度升高,诱发或加重头痛。
另一种可能机制是肿瘤直接或间接影响睡眠-觉醒调节中枢(如脑干或下丘脑),干扰正常睡眠节律,在特定睡眠阶段引发头痛。
肿瘤也可能通过牵拉硬脑膜或影响局部血流而产生疼痛。硬脑膜具有丰富痛觉神经末梢,对牵拉和压力刺激敏感。

听神经瘤的易混淆临床症状
本例患者经治疗后,夜间头痛症状逐渐减轻,6个月后完全消失。该病例揭示重要临床现象:听神经瘤症状可能表现隐匿,易被误诊为其他常见疾病。
听神经瘤症状源于对周围关键结构的压迫效应:
早期表现:同侧感音神经性听力下降(常见)、单侧耳鸣、头晕/眩晕、行走不稳、面神经麻痹。
中晚期表现(压迫加重):面部麻木/疼痛(三叉神经受压)、声音嘶哑/饮水呛咳(后组颅神经损伤)、肢体无力甚至瘫痪(脑干/小脑受压)、严重头痛呕吐(脑积水)。
临床诊疗建议
该病例表明顽固性头痛可能存在器质性病因。虽然大多数头痛属于良性功能性,但对于治疗反应不佳的特殊模式头痛,需进行进一步评估。
听神经瘤作为良性肿瘤,早期发现和处理通常预后良好。长期头痛患者,特别是伴随耳鸣、听力变化等症状时,建议及时就医并进行全面评估,避免延误诊断。
参考文献:
Bryan Ceronie et al. Acoustic neuroma presenting as a hypnic headache, Ceronie B, et al. BMJ Case Rep 2021;14:e235830. doi:10.1136/bcr-2020-235830
Goldbrunner R, et al. EANO guideline on the diagnosis and treatment of vestibular schwannoma. Neuro Oncol. 2020.
中华医学会神经外科学分会相关共识与临床指南。
- 所属栏目:听神经瘤
- 如想转载“夜间头痛总痛醒?40岁女白领头痛史背后,竟查出听神经瘤!”请务必注明来源和链接。
- 网址:https://www.incsg.com/huanzhegushi/tingshenjingliu/7406.html
- 更新时间:2026-01-07 11:12:35
- 上一篇:听神经瘤遇上颈静脉球高位?INC川岛教授如何破解手术困局
- 下一篇:没有了


