胼胝体胶质瘤手术:从“不可触及”到“功能保留下的积极切除”
发布时间:2026-01-25 09:37:28 | 阅读:次| 关键词:胼胝体胶质瘤手术:从“不可触及”到“功能保留下的积极切除”
- [案例]15分钟就决定开颅手术:为什么我一定要切除这个“暂时安
- [案例]鞍区肿瘤伴血供丰富与紧密粘连的处理策略解析
- [案例]脑干术后3天就能“小跑” 收到病危通知书的她何以这么快
- [案例]德国脑干肿瘤患者在华成功手术,中外专家共闯"生命禁
- [案例]"家族魔咒?"姐妹、父女同患脑海绵状血管瘤,这种脑
- [案例]别放弃!我女儿曾被医生说要长期插管,结果开颅术后依
胼胝体是位于大脑纵裂底部、连接两侧大脑半球的宽厚神经纤维束,构成大脑白质最重要的组成部分。其解剖结构从前至后可分为嘴部、膝部、体部和压部四个部分,其中膝部连接两侧额叶,体部连接两侧顶叶,压部连接两侧枕叶。作为大脑半球间最主要的连合纤维结构,胼胝体共包含约2亿条神经纤维,主要负责双侧大脑半球皮层区域之间的信息传递、功能整合与协调。

在功能上,胼胝体不仅参与感觉、运动和高级认知功能的双侧整合,还在语言、记忆、注意力等复杂认知过程中发挥关键的半球间协同作用。针对胼胝体的手术,特别是涉及前部或体部切除时,存在显著的神经功能风险。最典型的并发症是胼胝体离断综合征,临床表现为左侧触觉失认、左手失用、左侧视野失读、语言-动作分离等半球间信息传递障碍。
若手术涉及膝部,可能影响双侧前额叶连接,导致执行功能、动机形成和情绪调节障碍,甚至出现无动性缄默。而压部损伤则可能破坏视空间信息整合,引起视觉性共济失调或视觉记忆障碍。因此,手术中需要通过神经导航、术中磁共振、神经电生理监测等技术实现精准定位,并尽可能采用纤维束保留技术,以在肿瘤最大程度切除与神经功能保护之间取得平衡。
临床研究设计与方法
INC国际神经外科医生集团旗下世界神经外科顾问团(WANG)成员Volker Seifert教授发表研究《Benefits of glioma resection in the corpus callosum》。由于预期到术后可能出现的神经心理学后遗症,胼胝体浸润性胶质瘤患者很少接受肿瘤切除术,且多数就诊时已处于较差的神经功能状态。该研究旨在探讨胼胝体胶质瘤切除术的临床获益,并提出假设:神经心理功能障碍主要由肿瘤本身引起。


在2017年1月至2020年1月期间,Seifert教授等前瞻性纳入了21例接受胼胝体胶质瘤切除术的患者。分别在术前、出院前和术后6个月对患者的神经心理功能进行评估。研究结果显示,15例患者实现肿瘤全切除,6例患者实现肿瘤次全切除(切除率达97.7%)。在中位观察时间12.6个月期间,9例胶质母细胞瘤患者于中位17个月后死亡。

神经认知功能评估结果
术前评估显示,高达三分之二的患者在所有认知领域均受影响,其卡氏功能状态评分中位数为100%(范围60%-100%)。术后早期,所有神经认知领域的功能障碍患者比例均有所增加。而最具临床意义的是,术后6个月时,在注意力、执行功能、记忆力和抑郁等对日常功能至关重要的认知领域,出现功能障碍的患者数量显著减少。

将患者在注意力、语言、执行功能和记忆等领域的表现,与已发表的、已校正年龄、性别及教育程度的健康对照组常模数据进行比较。各测试所得分数转换为Z分数,认知功能下降定义为Z分数低于-1.5个标准差(SD)。对于定向力、视觉空间功能、物体识别及双手协调能力,任一测试中每出现一次错误即判定为功能受损。
术后(t2时间点),所有认知领域出现功能障碍的患者比例均有所上升,其中注意力领域呈现显著恶化(p=0.027)。在中位随访期5.3个月后(t3时间点),各认知领域出现神经认知功能障碍的患者数量均明显减少,其中注意力、执行功能和记忆领域的改善均达到统计学显著性(p值分别为0.01、0.034和<0.001)。

研究结论与临床意义
本研究结果表明,对侵犯胼胝体的大体积肿瘤进行完全或次全切除具有临床获益。患者的总生存期和神经认知功能未出现长期下降,反而显著改善,这为以下观点提供了证据:对于术前神经功能状态相对较好、肿瘤侵犯胼胝体的胶质瘤患者,肿瘤切除术的获益可能超过其所致并发症风险。
研究观察到许多伴有巨大额叶胶质瘤及胼胝体侵犯的患者,在确诊时已表现为意志缺乏、意志缺失或意识障碍,其中多数在肿瘤活检后数月内死亡,即使接受了放化疗亦不例外。这促使研究者提出假设:肿瘤切除术对患者的伤害可能并不比放弃手术更大。同样,切除侵犯胼胝体的肿瘤组织甚至可能改善患者的神经功能状况——通过减轻占位效应及改变周围神经元微环境可转化为更好的神经认知与神经功能。
临床案例展示
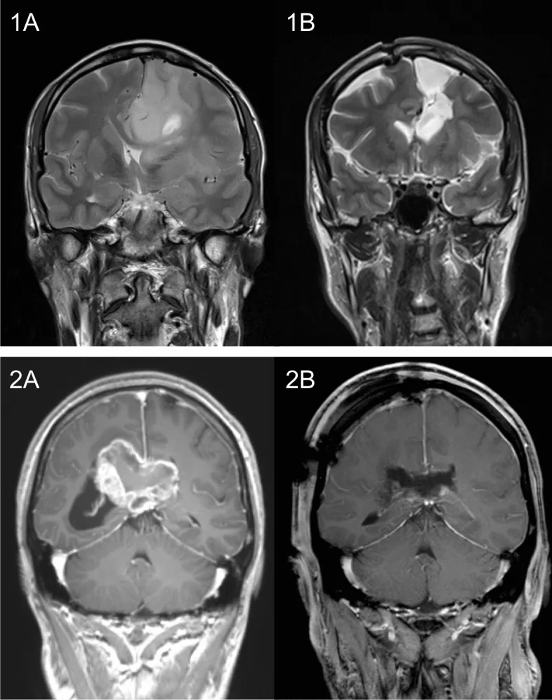
两例胼胝体侵犯性胶质母细胞瘤患者治疗情况:患者1为36岁男性,接受巨大左额叶胶质母细胞瘤次全切除术,后续行同步放化疗。该患者在任一观察时间点均未出现任何严重认知功能障碍。患者2为38岁男性,接受侵犯胼胝体压部主体的巨大胶质母细胞瘤次全切除术。术前存在严重记忆障碍,术后逐渐改善;术后新出现的轻度注意力及语言功能障碍亦随恢复逐步好转。

现有广泛证据表明,除年龄、术前卡氏功能状态评分及辅助放化疗外,肿瘤手术切除范围对患者生存期具有显著影响。胼胝体损伤可能导致多种临床症状,统称为胼胝体离断综合征。其中最常见症状包括左侧触觉失认、左侧视野失读及行为功能障碍。通过神经心理学测试可发现,胼胝体受损患者还存在述情障碍、注意力障碍、言语与工作记忆受损以及学习与协调新双手任务困难等症状。

本研究为首项针对胼胝体脑肿瘤切除术患者神经认知功能的研究,主要发现包括:实施肿瘤切除的患者总生存期与未侵犯胼胝体肿瘤的相关文献报道相比并未缩短;肿瘤切除术后患者神经认知功能仅在术后早期数日内出现下降;术后至少3.1个月后,患者在所有神经认知领域的表现均显著改善。
- 所属栏目:胶质瘤
- 如想转载“胼胝体胶质瘤手术:从“不可触及”到“功能保留下的积极切除””请务必注明来源和链接。
- 网址:https://www.incsg.com/jiaozhiliu/7522.html
- 更新时间:2026-01-25 09:30:17
- 上一篇:功能区胶质瘤术后易偏瘫?二次手术全切后她3年未复发
- 下一篇:没有了


