明明儿子的胶质瘤全切了,为何复查还会出现多个“小疙瘩”?
发布时间:2026-01-28 17:02:12 | 阅读:次| 关键词:明明儿子的胶质瘤全切了,为何复查还会出现多个“小疙瘩”?
- [案例]INC巴教授“禁区”手术图解案例六 | 全切巨大桥脑海绵状
- [案例]为避免终身依赖呼吸机,我选择接受高难度脑干手术
- [案例]良性又令人害怕?垂体瘤侵袭视神经、压迫脑室,一次全
- [案例][脑干胶质瘤案例]5岁宝宝脑干延髓区占位病变案例
- [案例]“我的天,我做过手术吗?!”海绵窦区肿瘤术后当天,
- [案例]暴胖40斤、日尿5升!病理报告两度反转——35岁壮年遭遇颅
2025年6月,10岁男性患儿安格因呕吐症状就诊,影像学检查发现后颅窝区域存在3.1cm×3.6cm×5.0cm大小肿瘤病灶,肿瘤占据第四脑室并引发脑积水。患儿首先接受内镜下第三脑室造瘘术(ETV),4天后后续行后颅窝开颅肿瘤切除术。手术实现肿瘤全切,术后恢复情况良好,仅存右侧眼球内收受限,目前可正常参与学校学习和体育活动。
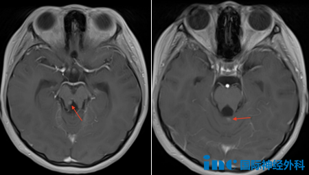
术后6个月随访复查时,影像学检查发现颅内出现多个小结节样病灶,位于小脑蚓部、右侧大脑脚及双侧脑室室管膜下区域。这些新发病灶引发肿瘤复发或转移的担忧,尽管初次手术已达到全切标准。
基因检测与病理分析
术后病理检查确诊为低级别胶质瘤,但甲基化亚型分析显示特殊表现:肿瘤甲基化分型与现有数据库中的肿瘤亚型均不匹配。基因检测发现CDKN2A基因纯合缺失具有明确临床意义,同时存在两个临床意义未明的变异:NTRK2-QKI融合突变。这些基因特征表明该肿瘤属于罕见亚型,可能影响后续治疗方案选择。


复发机制与扩散特性
加拿大Rutka教授分析认为,右侧脑室周围和小脑蚓部的肿瘤结节可能为原发肿瘤残留病灶。若双侧侧脑室结节确实存在,则提示肿瘤转移可能性。目前这些小结节体积较小,部分在影像学上难以清晰显示,建议进行脊髓MRI检查以明确是否存在播散转移。

低级别胶质瘤(PLGG)虽是儿童最常见的中枢神经系统肿瘤,但部分病例可出现全中枢神经系统播散现象。Rutka教授团队通过大型国际队列研究(n=269)发现,根据弥漫扩散的时空分布特征可将患者分为三个亚组。其中,无原发肿瘤的弥漫性脑膜下肿瘤和婴儿期发病的肿瘤预后最差。基因特征分析显示,弥漫性低级别胶质瘤与未扩散肿瘤存在高度重叠,提示非遗传机制在肿瘤扩散过程中起重要作用。
治疗策略与药物选择
针对安格的基因检测结果,Rutka教授指出CDKN2A/B突变与NTRK2-QKI融合变异共存可能增加肿瘤向高级别转化的风险。治疗建议包括:
2-3个月内进行早期MRI监测,密切跟踪病灶变化
若确认肿瘤进展,可考虑使用NTRK抑制剂进行靶向治疗
标准化疗和放疗作为后续备选方案
目前可用于NTRK融合变异的靶向药物包括:
Larotrectinib(Vitrakvi)
Entrectinib(Rozlytrek)
Repotrectinib(Augtyro)
其中Larotrectinib在多项临床研究中证实对TRK融合变异患儿具有良好疾病控制率和安全性。

临床管理与随访建议
对于此类罕见病例,建议采取以下管理策略:
定期影像学随访,监测病灶变化
根据基因检测结果制定个体化治疗方案
优先考虑靶向治疗,保留放化疗作为后续选择
加强多学科团队协作,优化治疗决策
案例来源:Rutka教授咨询案例
- 所属栏目:胶质瘤
- 如想转载“明明儿子的胶质瘤全切了,为何复查还会出现多个“小疙瘩”?”请务必注明来源和链接。
- 网址:https://www.incsg.com/jiaozhiliu/7542.html
- 更新时间:2026-01-28 16:56:19


