“我的天,我做过手术吗?!”海绵窦区肿瘤术后当天,状态好到让自己惊叹
发布时间:2025-11-09 09:00:15 | 阅读:次| 关键词:“我的天,我做过手术吗?!”海绵窦区肿瘤术后当天,状态好到让自己惊叹
- [案例]INC巴教授“禁区”手术图解案例八 | 毫厘之间全切脊髓髓
- [案例](脑胶质瘤系列)INC德国巴教授与中国患者的故事
- [案例]脑干海绵状血管瘤赴德二次咨询,脑干肿瘤全切后奇迹“
- [案例]仅仅舌部发麻,为何被诊断为基底节区存在高风险病变?
- [案例]中脑脑干海绵状血管瘤怎么治疗?中年男士海绵状血管瘤
- [案例]致命脑瘤两年内增长三倍,高龄患者手术方案如何制定?
巴教授手术纪实:从脑瘤治疗中重获新生
2025年8月底,陈女士被诊断出4cm巨大海绵窦区占位性病变。经过10月22日顺利实施手术,术后第9天实现出院,在短短两个月时间内,凭借全家人的全力支持,陈女士成功度过了这段充满挑战的求医过程。再次回顾这段经历时,她展现出如获新生的精神状态,言语中充满轻快感,整个人散发着蓬勃朝气。
只有经历黑暗时刻才能体会康复的来之不易。充满爱心且收获关爱的陈女士希望通过自身经历带给更多人信心:"人生总会面临各种坎坷,无需过度忧虑。患病就积极治疗,解决问题后继续前行。如同电影《哪吒》的台词'我命由我不由天',保持良好心态最为关键。"

手术难度与风险分析
该手术的复杂程度远超常人想象。海绵窦区因解剖结构复杂且神经血管密集,长期被视为手术禁区。该区域不仅包绕颈内动脉,还有动眼神经、滑车神经、三叉神经和外展神经等重要颅神经穿行。手术过程中若损伤神经或血管,可能导致复视、眼球运动障碍、面部麻木等神经功能缺损;若伤及颈内动脉,则可引发严重出血或脑梗死,导致偏瘫甚至生命危险。
虽然手术风险高且情况紧急需尽快干预,但治疗抉择仍让家庭陷入两难境地。直到获悉巴特朗菲教授来华交流的消息,他们才在迷茫中看到明确希望。
手术治疗与病理结果
最终在巴教授与国内神经外科团队精密配合下,血供丰富的肿瘤被成功切除。手术室外,陈女士家人反复鞠躬致谢。辗转多地求医的所有努力,在听到巴教授"手术顺利、肿瘤疑似良性"的汇报时,化为激动的泪水。术后病理诊断为孤立性纤维性肿瘤,CNS WHO 2级,属于硬脑膜来源的成纤维细胞性肿瘤。巴教授术后指导建议:暂无需放化疗,定期随访即可。


术后恢复过程
陈女士的术后恢复情况令人惊喜。手术苏醒后她立即发现眼睛能够正常睁开且视物清晰,术前担忧的眼睑上抬障碍并未发生。ICU完全清醒后,她几乎难以置信自己刚经历手术。除头部轻微胀感外,整体状态良好。
术后第1天,陈女士声音洪亮地向巴教授问候,自称感觉"特别良好,如同未经历手术"。巴教授体格检查确认动眼神经功能完整。
术后第2天,陈女士精神状态积极乐观。巴教授查房时她赠送鲜花与感谢卡,用英文表达深切谢意。合影时她自信地做出胜利手势,脸上洋溢喜悦之情。
疾病发现历程
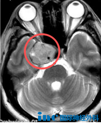
去年8月感冒后出现眼眶胀痛,眼科检查排除眼部病变,鼻科医生建议鼻窦CT排查。意外的是CT扫描显示颅内肿瘤,后续MRI确诊海绵窦区占位,尺寸约2.6 * 3.0 * 4.1cm。此后全家开启求医之路,辗转北京、上海多地仍未能明确肿瘤性质。

手术决策过程
初期全家紧张担忧恶性肿瘤可能,但国内多位专家会诊认为90%几率为良性,缓解了部分焦虑。然而医生均强调手术区域风险高,易导致眼动障碍等后遗症。鉴于患者年轻无法接受此类风险,决心寻求更优手术方案。
通过网络资料发现巴教授信息后,尽管术前评估提示可能出现暂时性并发症,陈女士始终保持信任与乐观。巴教授明确手术指征,表示可近期实施手术。
面对颅内较大肿瘤,全家一致认为应积极治疗而非等待。虽有医生建议观察,但他们坚信必须及时解决问题。

术后即刻反应
苏醒后陈女士首先测试睁眼功能,惊喜发现视力完好。当晚ICU清醒期间精神兴奋,直至凌晨才入睡,仅感头部轻微胀痛无疼痛,整体状态良好甚至出现饥饿感。
术后6小时禁食禁水期后,ICU护士协助获得饮水许可并细心喂水。次日拔除尿管后即可下床活动,仅短暂头晕后迅速恢复。
医患关系体验
从巴教授到整个医疗团队,陈女士感受到温暖关怀。团队成员的笑容带来积极影响,巴教授临别时表示"虽非神灵但会尽力保护患者",这句话被患者永久铭记。她对巴教授的专业评估与手术结果高度认可,治疗效果完全达到预期。
人生感悟分享
陈女士认为人生坎坷无需过度顾虑,应勇敢面对挑战。引用"我命由我不由天"强调心态重要性,表示将保持积极乐观,及时解决健康问题后继续前行。目前已成功度过难关,相信未来会更加美好。
人生总会遇到各种坎坷,无需过度思虑,应勇往直前面对挑战。如同电影《哪吒》台词"我命由我不由天",保持良好心态至关重要。陈女士表示将开心度过每一天,生病就积极治疗,解决问题后继续前进。目前这道坎已成功跨越,相信未来会更加光明。
- 所属栏目:脑肿瘤
- 如想转载““我的天,我做过手术吗?!”海绵窦区肿瘤术后当天,状态好到让自己惊叹”请务必注明来源和链接。
- 网址:https://www.incsg.com/huanzhegushi/naozhongliu/7006.html
- 更新时间:2025-11-09 08:54:04
- 上一篇:巨大丘脑肿瘤不能手术?女儿的治疗之路,我们只有向前,没有退路!
- 下一篇:没有了


