“我想好好上学,不想再提心吊胆了!”面对脑干手术禁区,这群20岁少年给出了答案
发布时间:2025-10-06 22:18:47 | 阅读:次| 关键词:“我想好好上学,不想再提心吊胆了!”面对脑干手术禁区,这群20岁少年给出了答案
- [案例]60多岁王先生脑干海绵状血管瘤术后2年随访情况
- [案例]30+创业精英突陷“耳鸣噩梦”,听神经瘤疑云背后竟是虚
- [案例]当脑海绵状血管瘤引发严重癫痫,应该先解决哪个麻烦?
- [案例]脑膜瘤如“章鱼”盘踞在脑中,视力模糊、嗅觉减退…不
- [案例]女儿用蓬勃的生命力打败了巨大胶质瘤,我们为她骄傲!
- [案例]曾患脑干肿瘤,开颅手术后1个月回归校园,拿下“三好学
20岁大学生Maritta原本平静快乐的生活被一场突发脑干出血打破。一直健康的她突然出现意识紊乱和左侧肢体偏瘫,经MRI检查发现脑干中脑部位存在海绵状血管瘤。
面对疾病,20岁的Maritta和几位病情相似的青年患者没有退缩,展现出青春应有的勇气。他们勇于做出每一个医疗选择,这份选择手术的坚定勇气为他们换回了重返校园、继续追求梦想的机会。人生赛道很长,而他们已赢得关键一程。
治疗关键:手术全切
由于脑干内密集分布颅神经核团、上下行纤维束及网状纤维,即使较小病变也可导致严重复杂的症状。中脑病变可因出血阻塞中脑导水管而引起头痛、呕吐及意识障碍;脑桥病变可影响三叉神经、外展神经和面神经核团,导致面部感觉障碍、眼球外展障碍及面瘫;延髓病变则可引发呼吸循环障碍、顽固性呃逆及胃肠道出血。
脑干海绵状血管瘤易反复出血,为最大限度挽救生命并提高生活质量,通常采用显微外科手术结合精确影像学诊断进行治疗。治疗过程中需合理选择手术入路,运用显微外科技术安全切除病灶,将再出血风险降至最低,这是治疗成功的关键。脑干海绵状血管瘤手术应以全切病灶、防止出血和再出血,并尽量减少对正常脑干实质的损伤为目标。
脑干病变如何实现顺利全切?
Maritta多方求医,几乎无医生有把握完成该手术,最终她找到巴特朗菲教授。
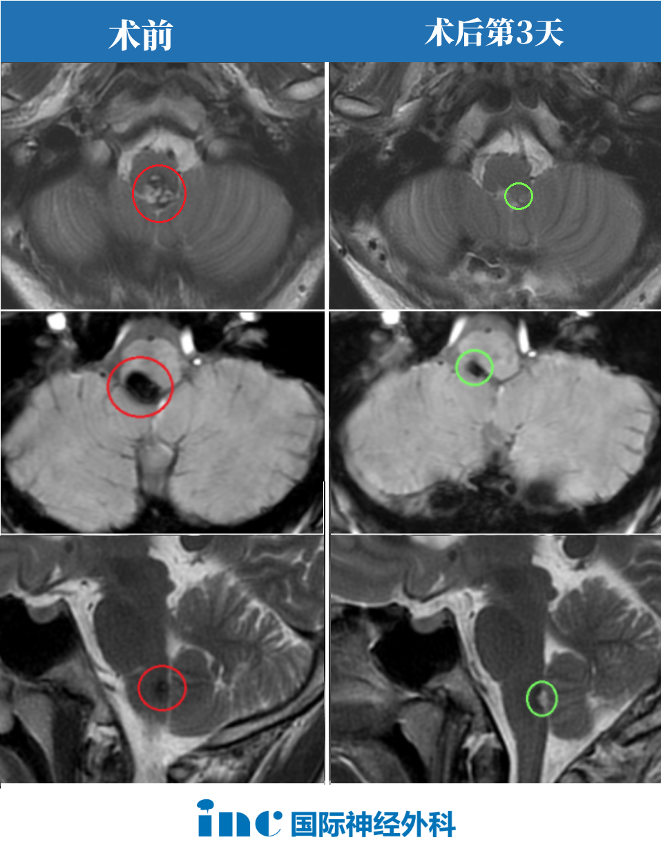
术前情况:20岁大学生,意识紊乱并逐渐恶化,左侧偏瘫,MRI显示脑干中脑出血,急性梗阻性脑积水。病变位于脑干腹侧中脑中线,体积10.7立方毫米,深度42.5毫米,肿瘤侧倾角11.6°(图A、B)。
手术入路:巴特朗菲教授根据患者病情、肿瘤生长及MRI影像特征,先行脑室引流术,随后采用双额骨瓣开颅、经基底纵裂入路完成病变全切。
术后情况:Maritta术后恢复顺利。意识和偏瘫症状迅速改善,脑积水消退。患者步行出院,3个月后随访无任何神经或认知功能障碍。术后MRI显示轴内血肿和血管病变完全切除(图C、D)。

图A、B显示术前MRI影像,确诊出血性中脑海绵状血管瘤。黄色虚线标示肿瘤深度(42.5毫米)。图C、D显示血管病变完全切除后的术后MRI,病灶全切,压迫占位效应解除,脑组织复位,未见手术损伤如脑出血或脑水肿。
勇敢的20岁:他们的故事
18岁桥臂海绵状血管瘤保守观察后突发紧急情况
鹏鹏暑假期间突发头晕、耳鸣、面部麻木等症状,检查发现脑干及右侧桥臂区异常信号,疑似海绵状血管瘤。在医生建议下采取保守治疗,但仅10天后头晕加重,出现行走不稳和视物重影,经急诊120转至北京。医生告知需要手术,但风险高且术后可能出现并发症。此时鹏鹏右耳听力几乎丧失,这个年轻生命该如何绽放青春光彩?“我们全程通过120医疗转运,症状特别重。手术很顺利,选择是正确的。巴教授手术后第二天头晕消失,症状逐渐减轻,一天比一天好转。”

19岁延髓海绵状血管瘤患者:“希望事情尽快有定论”
19岁少年阿朔因头痛头昏检查发现脑干延髓海绵状血管瘤。“一个人难以接受这个事实,刚确诊时非常痛苦煎熬,书读不进去,饭也吃不下……”这个阳光爱笑的大男孩陷入人生低谷:“那一刻觉得时间过得很慢,希望要么尽快手术,要么事情尽快有定论。”勇敢抗争的少年和全力支持的父母在多方求医后找到INC巴特朗菲教授。巴教授在国内示范手术中全程直播完成病灶全切。术后一个月,阿朔重返大学校园,恢复正常学习和生活。

患者自述:“我还活着!我选择手术”在命运分岔口的决定
这位高大健壮的青年看起来充满活力,但2年前突然出现站立不稳、恶心呕吐,随后持续数日头晕、乏力、睡眠质量下降,检查怀疑脑干海绵状血管瘤。“我这么年轻,保守治疗不可能持续太久,整个人都会抑郁,整天提心吊胆。与巴教授面对面咨询后,他说手术不会损伤脑干功能,我才最终坚定选择手术。家人支持我的决定。确定手术后,现在已恢复如常人。我可以回归想要的生活,不再提心吊胆,也能去实现未完成的梦想。”

参考文献:Helmut Bertalanffy. Predicting the necessity of anterior communicating artery division in the bifrontal basal interhemispheric approach. Acta Neurochir (2016)
- 所属栏目:脑肿瘤
- 如想转载““我想好好上学,不想再提心吊胆了!”面对脑干手术禁区,这群20岁少年给出了答案”请务必注明来源和链接。
- 网址:https://www.incsg.com/huanzhegushi/naozhongliu/6774.html
- 更新时间:2025-10-06 22:12:05


