4岁女孩脑干长瘤,能手术吗?这场“不敢想”的手术,让她重拾古灵精怪
发布时间:2025-12-15 09:26:00 | 阅读:次| 关键词:4岁女孩脑干长瘤,能手术吗?这场“不敢想”的手术,让她重拾古灵精怪
- [案例]女儿用蓬勃的生命力打败了巨大胶质瘤,我们为她骄傲!
- [案例]30+创业精英突陷“耳鸣噩梦”,听神经瘤疑云背后竟是虚
- [案例]60多岁王先生脑干海绵状血管瘤术后2年随访情况
- [案例]脑膜瘤如“章鱼”盘踞在脑中,视力模糊、嗅觉减退…不
- [案例]曾患脑干肿瘤,开颅手术后1个月回归校园,拿下“三好学
- [案例]当脑海绵状血管瘤引发严重癫痫,应该先解决哪个麻烦?
每个孩子都深深牵动着父母的心弦。活泼可爱的小女孩,可能前几日还活力四射,却在短时间内因脑内病变突发晕倒,使父母瞬间陷入恐惧与痛苦。儿童手术面临特殊挑战——器官体积小、发育未完善,手术耐受性及麻醉管理难度远高于成人,使得整个手术过程需格外谨慎,对主刀医师的技术功底、临床经验以及医疗团队的综合能力都构成严峻考验。
当病灶位于脑干区域时,手术难度进一步提升至新的维度。脑干作为调节呼吸、心跳、意识及全身感觉运动功能的核心中枢,长期被视为"手术禁区",任何细微操作失误都可能引发严重后果。
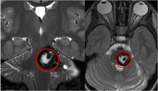
四岁的莉亚是父母的掌上明珠,天性活泼。然而一向健康的她突然出现精神萎靡,间歇性诉说头痛、恶心等症状,家长初时误判为普通感冒。随着头痛发作频率增加,父母意识到事态严重,立即送往当地医院检查,发现脑干占位性病变,初步诊断为海绵状血管瘤。接诊医生告知,影像显示患儿可能已发生多次脑干出血,所幸未造成严重神经功能损伤。医院建议住院观察并采取保守治疗,但明确表示病变位置风险极高,无法实施手术。脑干海绵状血管瘤属于血管畸形病变,具有反复出血风险,而位于生命中枢的病灶切除手术极易危及生命。

图示:莉亚颅脑MR显示中脑占位,信号混杂,符合海绵状血管瘤特征。
这一诊断结果对莉亚父母造成巨大打击。经当地医生推荐,他们了解到德国巴特朗菲教授在该领域拥有30余年丰富经验及大量成功案例。联系教授进行咨询后,获得可实施全切手术的明确答复,随即安排行程寻求手术治疗,期望为孩子争取健康童年和美好未来。
手术实施者为INC巴特朗菲教授,诊断为中脑脑干延髓海绵状血管瘤。采用颞下入路显微镜下全切病变,术中配合神经电生理监测,手术过程顺利。
术后恢复情况如下:
术后第1天:在ICU进行监护治疗,次日即拔除气管插管,恢复自主呼吸。
术后第2天:复查CT显示结果正常,病变完全切除,转至普通病房。患儿偶有头痛,四肢活动良好,感觉功能及视力正常。
术后第3-11天:可在床上进行有限活动,5天后在康复师指导下开始功能锻炼。头痛、恶心呕吐症状明显改善,未出现新发肢体无力、感觉麻木、视力损害等并发症,无呼吸抑制等手术相关不良反应。
术后第12天:顺利拆线出院,头痛消失,肢体功能与视力恢复正常,无任何不适表现。
术后MR复查显示病变完全切除,无脑水肿、出血等异常,未见神经功能损伤。

图示:术后MR复查证实病变全切,瘤腔内高信号为止血材料(红色标示术前,绿色标示术后)。
术后莉亚除头发遮盖的小切口外,几乎无手术痕迹。可正常参与生活学习,未出现任何肢体功能或视力损伤。照片中重现的灿烂笑容,展现出劫后余生的明媚与属于这个年龄的灵动活力。

幼儿开颅手术风险解析
许多家长对颅脑手术存在顾虑,最常见担忧是手术后是否影响智力发育。实际上,多数神经外科手术在保护神经功能的前提下进行,并不会影响儿童认知发展。儿童对颅脑手术的恢复能力往往优于成人。脑部不同功能区主管特定功能,若病变位于功能区,可能影响运动、语言、视力等功能,但通过手术解除病灶压迫后,多数患者功能可获得恢复。
家长对脑干手术的担忧主要源于该区域被视为手术禁区。巴特朗菲教授从事脑干手术研究30余年,累计完成上千例成功手术。在2020年出版的《脑干外科学》、《脑干肿瘤》两部权威著作中,系统阐述了脑干手术策略,为全球神经外科医生提供重要参考。手术过程中,教授基于精准的解剖学理解,结合细腻的操作技术,已为众多类似莉亚的患儿成功实施手术,其中不乏年龄更小、病情更复杂的病例。
典型病例展示
一岁半患儿聪聪:确诊脑干海绵状血管瘤,巴教授成功切除20mm病灶。术后10天出院,术前症状基本消失。随访4年无复发,生长发育正常,现可参与学校各项活动,表现活跃。

三岁男童杰瑞:突发剧烈头痛、左侧肢体瘫痪伴右眼外转受限,诊断为脑干海绵状血管瘤破裂出血。术后功能明显改善,重现笑容,可完成简单家务劳动。



三岁半女童安妮:巨大血肿病例,教授通过颞下入路抵达桥脑侧面,完全清除血肿的同时完好保留桥脑后部结构。

三岁患儿米娜:外院术后残留病灶,出现外展神经麻痹和面瘫。经巴教授再次手术全切病灶,预后良好。

手术时机选择要点
关于脑海绵状血管瘤的手术时机,巴教授指出:"急性出血期更利于手术,主要原因有二:一是此阶段出血呈液态,便于清除,有利于手术入路设计和病变全切;液态血肿有助于术中减压,提供更佳操作空间和界面判断。二是延期手术可能导致血肿机化、钙化,病变周围胶质瘢痕增生,致使病变组织质硬且与脑干组织粘连紧密,增加切除难度。"
- 所属栏目:颅内海绵状血管瘤
- 如想转载“4岁女孩脑干长瘤,能手术吗?这场“不敢想”的手术,让她重拾古灵精怪”请务必注明来源和链接。
- 网址:https://www.incsg.com/huanzhegushi/xueguanliu/7235.html
- 更新时间:2025-12-15 09:16:13


