孩子突变暴躁、视力下降、发育慢…一桩儿童脑部“怪病”的追凶之路
发布时间:2026-02-02 18:59:40 | 阅读:次| 关键词:孩子突变暴躁、视力下降、发育慢…一桩儿童脑部“怪病”的追凶之路
- [案例]72岁高龄患者,INC国际施罗德教授为他成功手术
- [案例]失聪女子重获听力!29岁女性迷走神经鞘瘤切除后,出院前
- [案例]令医生直言"棘手"的高级别胶质瘤,两大国际专家协作
- [案例]INC国际Rutka教授团队发表成果助力儿童胶质瘤免疫治疗
- [案例]揭秘嗅沟脑膜瘤手术显微开颅与经鼻入路之争——国际颅
- [案例]脑干延髓-颈髓手术为什么风险大、难度高?INC巴特朗菲交
2011年5月,李先生夫妇迎来了他们的女儿妮妮。从备孕到生产,夫妇二人严格遵循产检要求,注重胎教和营养管理。虽然孕期检查显示胎儿发育正常,但妮妮出生后出现显著的情绪波动问题,从幼儿时期的频繁哭闹到童年阶段的易怒表现,情绪转换极为剧烈。
2020年5月,9岁的妮妮体检发现骨龄仅相当于7岁儿童,存在骨成熟延迟现象,疑似生长激素异常。同年8月初,患儿突发多尿症状,每日排尿次数高达12次,虽经治疗一周后症状缓解,但病因未能明确。

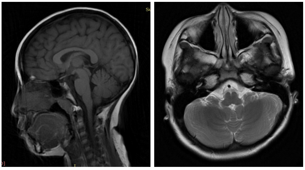
10天后,妮妮夜间突发剧烈头痛伴呕吐,平卧时症状稍缓,急诊检查发现眼底显示瞳孔边缘模糊。腰椎穿刺检测显示脑脊液压力高达320mmH20(儿童正常值为50-100mmH20),确诊为颅内压增高。至8月底,虽然眼压恢复正常,但双眼存在乳头水肿。9月初的眼科检查(包括VEP和OCT)未见明显临床改善,9月11日至17日的头部MRI显示双侧视神经走行迂曲受损,双侧乙状窦变薄,脑室显小。
诊断困境与专家咨询
尽管头痛症状通过药物控制,但生长激素异常、情感发育障碍及视神经损伤等根本问题仍未解决。面对多家医院无法明确病因的困境,患儿父母通过医学界朋友联系到INC国际神经外科医生集团的Concezio Di Rocco教授。

Di Rocco教授对病例进行详细分析后提出诊断假设:特发性颅内高压(Idiopathic Intracranial Hypertension, IIH),也称假性脑瘤综合征(Pseudotumor Cerebri Syndrome)。该疾病定义为神经影像学无结构性损伤或脑室扩大,脑脊液成分正常,但颅内压升高的临床综合征。普通人群发病率为1/10万,儿童为0.63/10万,育龄肥胖女性高达19/10万。
疾病特征与诊断依据
临床表现数据显示:头痛(85.5-96.5%)、恶心呕吐(12.7-52%)、视力模糊伴短暂性视物模糊(68%)、视野缺损(90%)、复视(16-42.3%)。常见体征包括双侧/单侧/不对称性乳头水肿,外展神经麻痹(12%),第三、四颅神经麻痹罕见。相关疾病包括哮喘(16.6%)、注意力缺陷多动障碍(12.8%)、痤疮(10.2%)、糖尿病或前期(9.0%)、肠易激综合征(3.8%)。
治疗策略与预后评估
治疗方案包括:
-
药物治疗
-
手术治疗选项:
-
脑室-腹腔分流术/腰腹腔分流术
-
视神经鞘开窗术
-
血管内治疗(支架植入)
-
颅骨减压术
-
超重患者需结合减重治疗。约50%病例对乙酰唑胺反应良好,25%需联合使用乙酰唑胺和托吡酯,10%对乙酰唑胺和呋塞米有反应,少数病例仅对托吡酯敏感或需联合用药。成功治疗情况下,视乳头水肿数周内消退,但颅内压正常化需数月时间。

专家答疑精要
1. 头痛病因分析
头痛由颅内压升高引起,通过腰椎穿刺和眼底检查(乳头水肿)证实。可能继发于内分泌异常、感染、维生素摄入、生长激素使用、皮质类固醇戒断、重金属中毒、脑静脉血栓等因素。MRI血管成像显示乙状窦狭窄可能是当前唯一可识别的原因。
2. 脑室偏小机制
颅内水分滞留导致脑组织肿胀,限制脑室扩张。
3. 治疗方案选择
首选药物治疗并持续监测颅内压和视力。50%病例通过长期药物治疗可解决问题,疗程需持续至症状缓解后数月(通常约8个月)。药物治疗失败时可考虑脑室-腹腔分流术,或乙状窦狭窄支架植入术。

4. 预后评估
患儿脑组织中度肿胀,药物治疗可改善,现阶段无需颅骨扩张。生长发育预后良好,经规范治疗后可达正常水平。

治疗结局与临床启示
遵循Di Rocco教授的治疗方案,妮妮病情得到有效控制。该病例凸显了特发性颅内高压的诊疗复杂性,强调了个体化治疗方案制定的重要性。对于临床表现复杂的儿科病例,多学科专家协作可为诊断和治疗提供关键支持。
文献来源:Di Rocco C. Pediatric Idiopathic Intracranial Hypertension: Diagnostic and Therapeutic Management. Child's Nervous System. 2023.
- 所属栏目:脑肿瘤
- 如想转载“孩子突变暴躁、视力下降、发育慢…一桩儿童脑部“怪病”的追凶之路”请务必注明来源和链接。
- 网址:https://www.incsg.com/huanzhegushi/naozhongliu/7565.html
- 更新时间:2026-02-02 18:52:30


