儿童难治性癫痫如何精准找到致痫灶?这种技术与脑电图联合更有效
发布时间:2026-04-16 17:46:10 | 阅读:次| 关键词:儿童难治性癫痫如何精准找到致痫灶?这种技术与脑电图联合更有效
- [案例]INC巴教授手术成果揭秘:真实病友体验交流!
- [案例]年纪大了,听力下降很正常?小心脑干被听神经瘤挤压变
- [案例]脑干手术后能恢复正常人吗?现在,我能跑能跳,与常人
- [案例]救护车紧急运送脑干出血少女,核磁影像揭示惊人病变
- [案例]颈内动脉上的"致命水泡":一位年轻女性动脉瘤的两次
- [案例]15岁少女凌晨突发头痛呕吐,检查发现脑内血管破裂出血!
癫痫患儿中约三分之一属于药物难以控制类型,对这部分群体而言,外科干预往往是最立竿见影的出路。但手术效果取决于一个前提:能否精确锁定异常放电区域。为此,术前需要接受神经影像、电生理和功能评估等一系列检查,其中脑磁图(MEG)是核心环节之一,能直接影响术前规划和术中操作。

01.什么是脑磁图 Magnetoencephalography
这项技术的中文名称很长,简写MEG。它的工作逻辑是捕捉大脑皮层神经元活动时产生的微弱磁场信号——这种信号比地球磁场弱上亿倍,必须依靠超导量子干涉仪才能探测到。临床操作中,MEG通常与磁共振成像(MRI)联合使用,生成一种叫磁源成像(MSI)的三维图像,将捕捉到的电活动叠加到患者的脑部解剖结构上,实现"所见即所在"的精准定位。

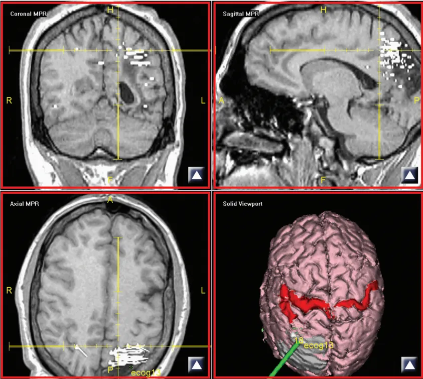
举个例子:左侧顶叶如果存在局灶性皮质发育不良,磁源成像中会以黄色点带橙色轮廓标注棘波源簇的位置;结合弥散张量成像(DTI)序列,蓝紫色的皮质脊髓束清晰可见,而最终手术切除的区域则用橙色区域标注。两者对照,外科医生在进入手术室前就已经有了完整的"作战地图"。
Rutka教授所在的儿童医院在MEG应用方面已有超过二十年的积累,主要用于术前勾勒致痫范围、辨别重要功能区。这项检查能为大多数患者提供高精度的定位数据,已成为癫痫外科评估中不可或缺的辅助手段。

追溯历史,这项技术的起点是1968年——David Cohen首次探测到大脑α节律电流产生的颅外磁场,随后利用超导磁力计和磁屏蔽室加以完善。MEG真正进入癫痫领域是在1977年,此后相关研究开始快速增长,并在二十年左右的时间内逐步从实验室走向临床。
02.MEG与脑电图:各有所长 MEG&EEG
两者名字听起来相似,底层逻辑也基本一致——都是无创记录大脑神经元放电活动的手段,时间分辨率都在毫秒级别。但相似仅限于此,细节层面的差异决定了它们各自的适用场景。
第一,MEG不需要参考电极,而脑电图依赖参考点记录;第二,大脑产生的磁场几乎不受头皮、颅骨或颅内病变(软化灶、穿通畸形囊肿、肿瘤等)的干扰,脑电图则容易因这些组织导电性的差异产生信号畸变;第三,脑电图可以同时捕捉径向和切向的皮层放电,MEG的"敏感范围"集中在脑沟和脑裂内的切向信号源——这恰恰是局灶性皮质发育不良和岛盖-岛叶癫痫最常见的放电模式;第四,MEG要求患者头部完全不动,这在长时间记录或捕捉发作期活动时是一大限制。
基于这些差异,Rutka教授在临床实践中更倾向于将两者联合使用——术前同步采集MEG和脑电图数据,能对致痫区的定位提供更可靠的分析结论。
03.MEG在癫痫外科的四大应用场景 Clinical applications in epilepsy
难治性癫痫持续状态
这是癫痫最凶险的形式之一,患者可能长时间陷入持续发作状态,死亡率接近四成。这部分患者往往合并全脑水肿和多器官损害,有创脑电图耐受性差,无创手段成为首选。MEG能够在这种高风险人群中提供有价值的定位信息。
多发病灶或常规脑电图无法定侧的情况
结节性硬化、Rasmussen脑炎等疾病往往在脑内留下多个可疑区域,单凭影像学或常规脑电图难以判断哪个才是真正的"元凶"。MEG的高空间分辨率在这里发挥了关键作用,帮助外科团队找到真正的致痫灶,从而尽早制定手术方案。
手术后癫痫再次发作
即便手术顺利,仍有相当比例的患者在术后出现癫痫复发或持续。术后脑电图可靠性下降——颅骨缺损、切除腔道、解剖结构改变都会干扰信号采集。MEG的磁场信号不受这些因素制约,能够独立完成残余或新增致痫灶的定位。
功能区皮质的定位
癫痫外科追求的不只是止住发作,还要尽可能保护语言、运动、感觉等关键功能。对于长期受癫痫困扰的儿童,这些功能区的位置可能已经发生了功能重组,不再遵循教科书上标注的典型解剖位置。MEG能够直接探测神经元的即时活动,定位精度优于依赖神经血管耦合的fMRI——虽然fMRI应用更广,但MEG在时间分辨率和儿童耐受性方面具有明显优势。
04.MEG的局限性与未来方向 Expert opinion
技术本身的局限性不可忽视:设备成本高、需要磁屏蔽环境、对患者配合度要求严格,这些因素决定了MEG目前并非所有医疗中心都能配置。
可喜的是,近年来出现了一些有望打破这一瓶颈的新方案。传统MEG依赖超低温冷却的 SQUID 传感器,而新一代光泵磁力计(OPM)无需低温环境,可以做成便携式设备。Rutka教授团队基于二十余年的MEG使用经验认为,尽管存在上述限制,MEG仍是目前无创定位手段中空间和时间分辨率最优的选择,仅次于有创脑电图记录。随着OPM等技术的成熟,这项检查的普及门槛有望进一步降低。
- 所属栏目:癫痫
- 如想转载“儿童难治性癫痫如何精准找到致痫灶?这种技术与脑电图联合更有效”请务必注明来源和链接。
- 网址:https://www.incsg.com/dianxian/8054.html
- 更新时间:2026-04-16 17:29:31


