脑膜瘤MRI影像特征可以判断肿瘤良恶性吗?影像该怎么看?
发布时间:2025-11-21 14:25:44 | 阅读:次| 关键词:脑膜瘤MRI影像特征可以判断肿瘤良恶性吗?影像该怎么看?
- [案例]中脑顶盖脑瘤、累及四脑室,全切后11年没有复发
- [案例]“不定时炸弹”--脑海绵状血管瘤,多次出血怎么办?
- [案例]“拇指大”脑干的27种病变特点及解读
- [案例]30+创业精英突陷“耳鸣噩梦”,听神经瘤疑云背后竟是虚
- [案例]脑膜瘤虽是良性,若它长在蝶眶竟会损伤视力!
- [案例]INC国际颅底大咖福教授联合EANS综述:嗅沟脑膜瘤手术开颅
脑膜瘤属于中枢神经系统肿瘤中具有典型影像学表现的类型。在X线检查和脑室造影技术时期,检查结果仅具提示性价值。当前影像学技术可实现脑膜瘤的无创精准诊断,明确病灶与周围结构的解剖关系。脑膜瘤MRI影像判读要点及良恶性预测价值,以及人工智能技术在脑膜瘤诊断中的应用效果,成为临床关注重点。
脑膜瘤在MRI和CT检查中均呈现特征性表现。典型脑膜瘤在CT平扫中显示边界清晰的轴外肿块,压迫正常脑组织。肿瘤轮廓光滑,邻近硬脑膜结构,部分病例呈分叶状生长,约20%存在钙化灶。因细胞密度较高和/或沙粒体样钙化存在,脑膜瘤密度可能高于脑皮质。近半数颅底脑膜瘤累及邻近骨结构(反应性骨质增生、浸润性生长或骨质侵蚀)。典型脑脑膜瘤在MRI上表现为附着硬脑膜的轴外肿块,T1加权像呈等信号或低信号(与灰质对比),质子密度加权和T2加权像呈等信号或高信号,周围可见薄层脑脊液环绕(等信号带),提示肿瘤未侵犯脑实质,钆对比剂增强后多呈现明显均匀强化。多数脑膜瘤边缘可见硬脑膜增厚、向周围逐渐变细的"脑膜尾征"。
脑膜瘤MRI影像示例分析
案例一:80岁女性患者,精神异常病史1个月。T1加权序列显示右中颅窝底界限清晰、均匀强化的肿块,宽基硬脑膜尾与右侧海绵窦接触。右颞叶受压但未受侵犯。a、b为T2加权像,肿块(箭头指示)呈等灰质信号;c为T1加权像,肿块(箭头指示)呈均匀轻度高信号(与灰质对比)。

案例二:35岁头痛女性患者。增强冠状位T1加权序列显示右中颅窝均匀强化轴外肿块,宽硬脑膜尾(箭头)沿蝶骨翼延伸,包绕右额叶外侧面。肿块导致大脑镰下向左移位7毫米,右侧脑室受压。术后病理证实为脑膜瘤(WHO 1级)。

案例三:83岁男性患者,头晕伴跌倒症状。增强轴位T1加权序列显示左侧桥小脑角区(箭头)均匀强化轴外肿块,宽硬脑膜附着伴硬脑膜尾,向前延伸至左侧内耳道,向后延伸至乙状窦。肿块覆盖左侧内耳道,无管内延伸。影像表现与病理结果符合脑膜瘤(WHO I级)。

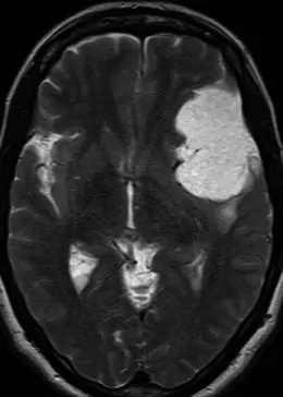
案例四:55岁女性患者,晕厥发作史8年。轴位T2加权序列显示左额叶下外侧和前颞叶巨大轴外肿块,明显高信号,略高于脑脊液信号。肿块后方伴轻度血管源性水肿。病理检查符合微囊性脑膜瘤。

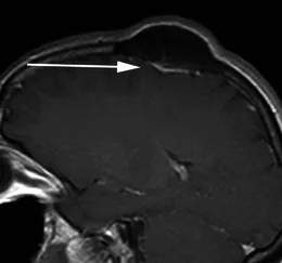
案例五:49岁女性患者,因头皮肿块就诊。矢状位增强T1加权序列显示左侧顶骨明显骨质增生,病灶主体向颅外突出。邻近骨性病变下方可见薄片状、均匀强化轴外软组织影(箭头),符合扁平型脑膜瘤影像特征,经手术病理证实。

硬脑膜转移瘤鉴别诊断
硬脑膜转移瘤可模仿脑膜瘤表现并出现硬膜尾征,但T2加权序列通常呈高信号;常见原发肿瘤包括乳腺癌、肺腺癌、肺鳞癌及肾细胞癌,多发病灶有助于鉴别诊断。继发性中枢神经系统淋巴瘤可表现为硬脑膜占位类似脑膜瘤,经血行播散,T2加权序列典型呈等或低信号,增强后明显强化,可多发并累及软脑膜。
中枢神经系统结节病患病率约5%,可侵犯硬脑膜、软脑膜、血管周围蛛网膜下腔、颅神经及脑实质,病灶可呈局灶性(类似脑膜瘤)或弥漫浸润性,T1加权序列典型低信号,T2加权序列高信号,增强后均匀强化,多数合并肺结节病可辅助诊断。
案例六:70岁头痛女性患者。增强冠状位T1加权序列显示右中央前回受压(箭头),病灶轻度不均匀强化,宽基硬脑膜附着,周围显著血管源性水肿。T2加权序列呈高信号(与灰质对比)。术后病理证实为原发性乳腺癌腺癌转移。

案例七:63岁男性患者,滤泡性淋巴瘤病史。增强冠状位T1加权序列显示右中颅窝轴外占位,宽基硬脑膜附着伴硬脑膜增厚,并向轴内延伸至右颞叶。硬膜成分均匀强化,轴内成分轻度不均匀强化,周围水肿及占位效应明显。影像表现类似伴轴内侵犯的脑膜瘤,但病理确诊为淋巴瘤。

非典型与恶性脑膜瘤影像学特征
仅凭神经影像学鉴别非典型或恶性脑膜瘤与良性脑膜瘤存在困难。以下MRI特征可能提示高级别脑膜瘤:肿瘤边缘无等信号脑脊液包绕,或明显侵犯脑实质;肿瘤内囊变或坏死;肿瘤侵犯颅底;表观弥散系数(ADC)值减低;灌注加权MRI显示脑血容量升高。
案例八:49岁患者,病理证实为WHO 3级(间变性)脑膜瘤。A(平扫CT):右额叶巨大占位,密度不均,周围血管源性水肿,明显占位效应。B(T2加权MRI):肿块信号不均,周边见相对于高信号核心的厚壁低信号环。C(增强MRI):强化肿块内部见中央强化减低区,提示坏死。D(灌注加权MRI):相对脑血容量(rCBV)未见升高。

但上述表现敏感性和特异性均有限。多数脑膜瘤首选手术治疗,具体方案取决于病灶大小、部位、患者全身状况和症状。部分研究发现高级别脑膜瘤在18F-FDG-PET中摄取更高,但诊断价值有限。新型PET示踪剂(如Ga-68 DOTATATE)为诊断和治疗规划带来新希望,尚未临床普及。
MRI和CT应用前,血管造影用于脑膜瘤显像,通过显示脑膜动脉供血和肿瘤染色提示诊断。目前血管造影仅用于需要术前栓塞的病例。
不同WHO分级脑膜瘤影像学特征对照表

需注意:脑膜瘤MRI特征可为良恶性判断提供重要线索,但非唯一诊断依据,最终确诊需依靠病理学检查。
人工智能在脑膜瘤诊断中的应用前景
近年来,智能化诊疗成为医学发展新趋势。基于人工智能(AI)的计算机辅助诊断研究为肿瘤精准化、个体化、全程化治疗提供可能。在脑膜瘤研究中,以机器学习(ML)和深度学习(DL)为代表的AI技术表现优异,基于图像分割网络和目标分类网络完成肿瘤图像分割、术前分级、Ki-67增殖指数预测等临床任务。
与人工判读相比,计算机可更准确识别图像灰度值,有效量化分析医学影像深层特征,在像素水平探索数据间潜在关联。基于此能力,未来AI可突破影像-病理壁垒,建立影像特征与肿瘤异质性、细胞及基因水平间的联系,为精准诊断、治疗方案制定和治疗反应预测提供有价值信息。
- 所属栏目:脑膜瘤
- 如想转载“脑膜瘤MRI影像特征可以判断肿瘤良恶性吗?影像该怎么看?”请务必注明来源和链接。
- 网址:https://www.incsg.com/naomoliu/7095.html
- 更新时间:2025-11-21 14:18:17
- 上一篇:小脑幕脑膜瘤严重吗?当头痛查出,他会选择如何治疗?
- 下一篇:没有了


