脑瘤导致梗阻性脑积水后,医生在他脑中放了一个支架,症状完全消失
发布时间:2026-04-11 22:26:50 | 阅读:次| 关键词:脑瘤导致梗阻性脑积水后,医生在他脑中放了一个支架,症状完全消失
- [案例]“我想活下去!”3天后,脑干胶质瘤女孩的生日愿望实现
- [案例]28岁男子坐电梯时突然晕倒,紧急送医后查出脑干出血。医
- [案例]三大常见鞍区肿瘤——垂体瘤、脑膜瘤、颅咽管瘤,国际
- [案例]脑干胶质瘤一路长至胸髓,术前无法走路的他,最终摆脱
- [案例]影像“疑似高级别”的脑瘤,本以为孩子没得治,术后却
- [案例]头痛、呕吐、复视……他们的松果体囊肿治好了吗?
颅内肿瘤的占位性压迫可导致中脑导水管发生狭窄,进而引发梗阻性脑积水。当梗阻性脑积水进展至严重阶段时,脑室内部压力会急剧升高,甚至可能诱发脑疝形成。这一病症不仅病情紧急,而且临床处理极具挑战性。与立即实施内镜下第三脑室造瘘术不同,INC施罗德教授在其研究中提出了一种替代性治疗方案——内镜下经导水管支架置入术。该术式或许能为一部分符合手术适应症、但又不适宜接受其他治疗方案的患儿提供新的选择。


8岁男孩梗阻性脑积水病例解析
施罗德教授在研究中提及了一名8岁男性患儿。由于颅内压升高症状持续加重,该男孩在急诊入院时已表现出严重的头痛、呕吐及恶心等临床表现。
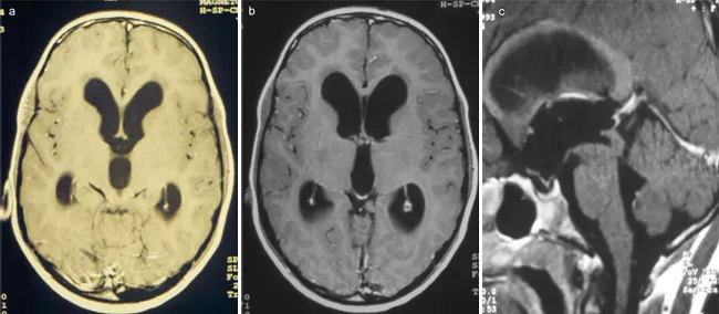
初始磁共振成像检查显示为三脑室梗阻性脑积水,导水管周围肿瘤压迫导致导水管管腔狭窄(图1)。

图1:术前磁共振图像显示,因病变压迫导水管,导致三脑室梗阻性脑积水,疑为低级别肿瘤。
施罗德教授迅速决定为该男孩实施内镜下第三脑室造瘘术、肿瘤活检术以及经导水管支架置入术(图2)。

图2:术中内镜视角,位于后连合上方被闭塞的导水管(a、b)。在内镜活检后(c),通过导水管将导水管支架置入第四脑室(d)。
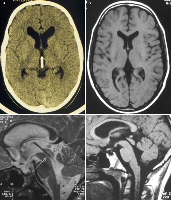
术后首日的计算机断层扫描及磁共振图像(图3)确认了经导水管支架已被精准放置于最佳位置。侧脑室与第三脑室的体积呈现明显回缩。
术后,男孩的临床症状获得完全缓解。
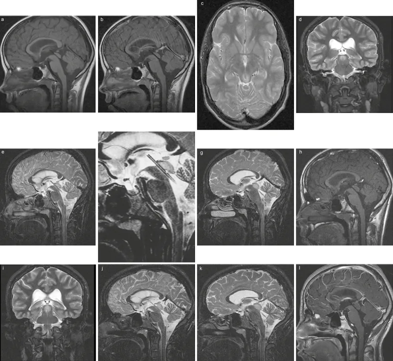
直至术后108个月(即9年)的长期随访,导水管支架功能依旧保持完好,患儿持续处于无症状状态,随访影像学结果令人满意(图4)。

图3:术后CT(a)、磁共振图像(b、c、d)均显示导水管支架的定位情况。此外,侧脑室及第三脑室体积的明显减小,表明支架功能完好。

图4:术后随访影像,分别显示在术后2年(a、b)、6年(c、d、e、f、g、h)以及9年(i、j、k、I)时的情况,均表明支架功能和位置完好。
经导水管支架置入术技术解析
为治疗因中脑导水管狭窄所引发的梗阻性脑积水,目前主要存在三种内镜技术,分别为导水管成形术、经导水管支架置入术以及侧脑室开窗术。其中,内镜下经导水管支架置入术已成为一小部分患儿的有效治疗选择,其临床与影像学结果均表现良好。
内镜下经导水管支架置入术亦可作为内镜下第三脑室造瘘术治疗失败后的二级备选治疗方案。
在施罗德教授的研究中,共有5名患者成功接受了内镜下经导水管支架置入术,平均随访周期为25.2个月(范围1-108个月)。
在术后早期阶段,所有患者的临床症状均获得改善,其中80%的患者在影像学上呈现改善,脑室体积显著缩小。研究期间未出现手术相关死亡率,无永久性致残病例,亦未观察到支架移位或脱位现象。
随访期间,所有患者的经导水管支架功能均保持完好。

尽管内镜下第三脑室造瘘术被广泛认为是治疗许多由脑瘤导致的中脑导水管狭窄患者的首选方案,其安全性与有效性已得到证实,但该术式仍存在一些潜在并发症。由于肿瘤、隔膜或炎症等因素导致的第三脑室底及导水管入口的解剖结构变异与变形,可能致使内镜下第三脑室造瘘术无法成功实施。
然而,大多数临床医生仍更倾向于选择内镜下第三脑室造瘘术,因为该技术避免了植入异物材料,从而降低了感染或器械功能障碍的相关风险。
因此,对于肿瘤导致的中脑导水管狭窄患者,内镜下经导水管支架置入术是一种技术上可行的治疗选择,适用于一小部分经过严格筛选的特定人群,例如孤立性第四脑室患儿及部分年轻患者。
由经验丰富的医生实施该手术,其相关风险是可控的。然而,内镜下第三脑室造瘘术仍然是治疗第三脑室肿瘤所引发的梗阻性脑积水的金标准,在一般情况下应作为优先考虑的治疗选择。
- 所属栏目:脑积水
- 如想转载“脑瘤导致梗阻性脑积水后,医生在他脑中放了一个支架,症状完全消失”请务必注明来源和链接。
- 网址:https://www.incsg.com/naojishui/8009.html
- 更新时间:2026-04-11 22:17:03


